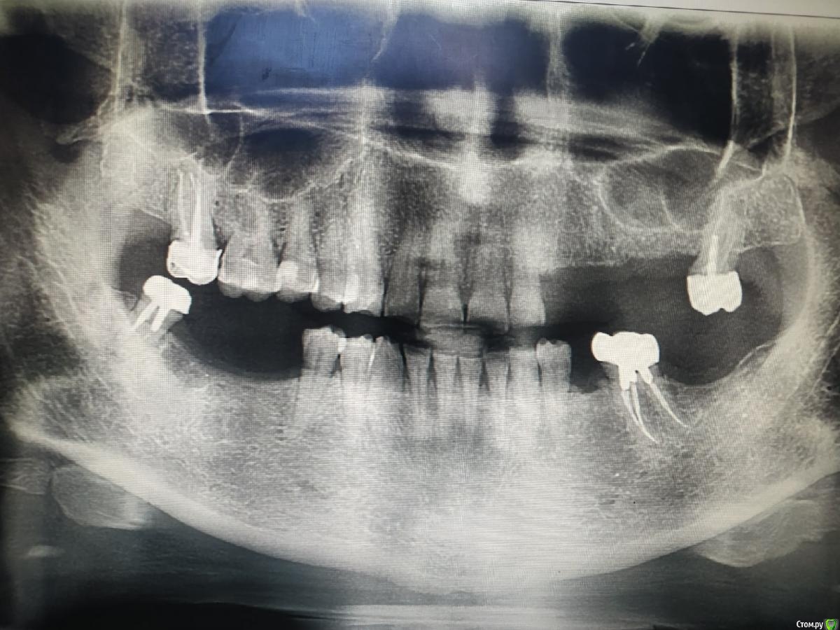
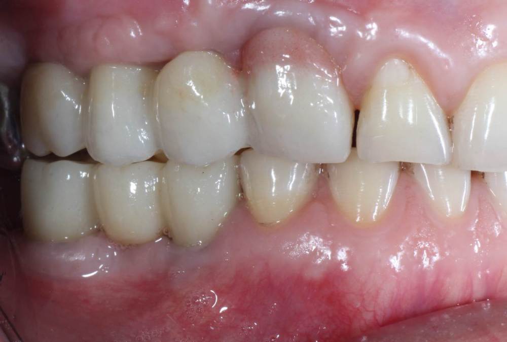
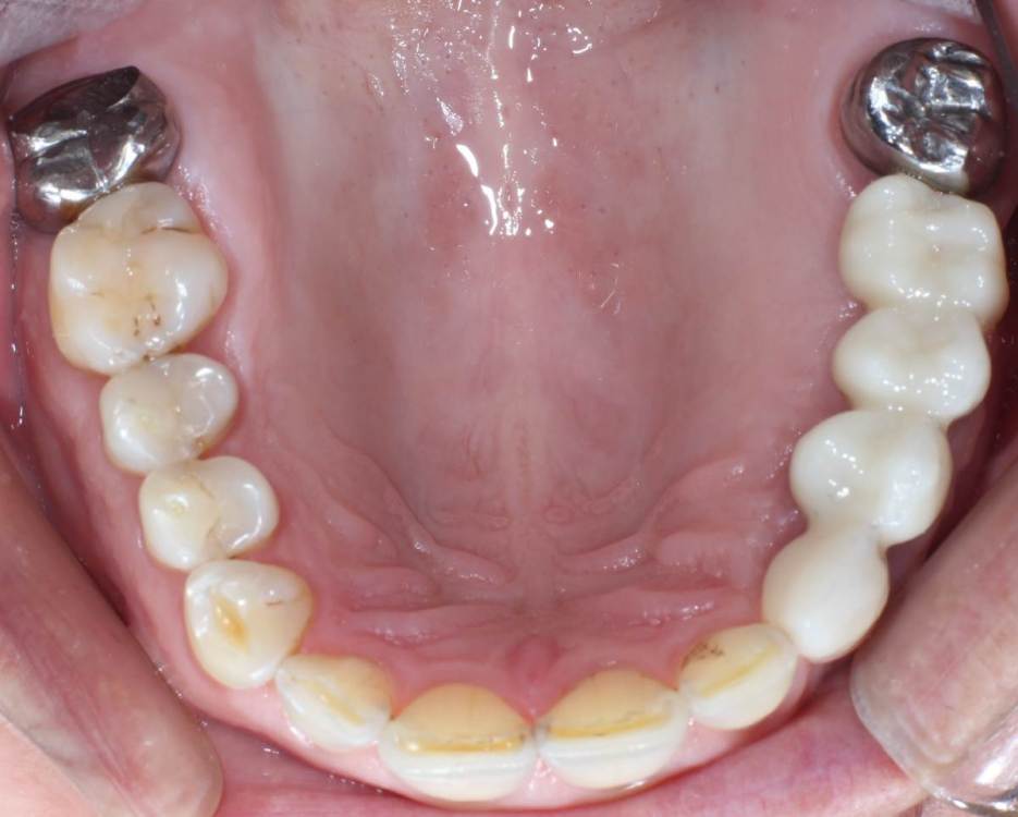
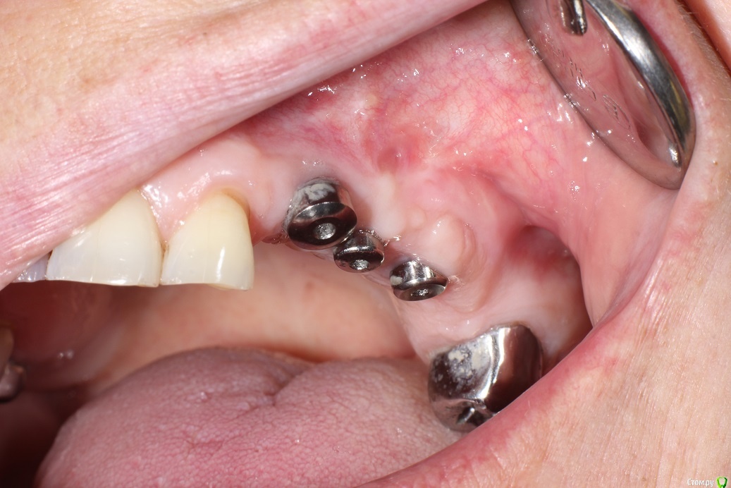
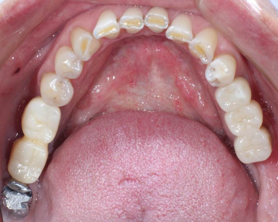
kuziy12 Опубликовано 2 ноября, 2020 Поделиться Опубликовано 2 ноября, 2020 Имплантация с синус лифтингом. Беда с позицией 2.3. Коронки на cad\cam, наносил розовую керамику и красил все сам. Сваливать не на кого) До: После имплантации: Формики: Десна: Постоянная конструкция: Улыбка: 3 Ссылка на комментарий
red_butler Опубликовано 2 ноября, 2020 Поделиться Опубликовано 2 ноября, 2020 клык по хорошему переставить ну или ушить - заглушить. 1 Ссылка на комментарий
kuziy12 Опубликовано 2 ноября, 2020 Автор Поделиться Опубликовано 2 ноября, 2020 клык по хорошему переставить ну или ушить - заглушить. Решено было оставить так. Пациентка переставлять желания не изъявила. Пингвином проверил стабильность имплантов - в норме, но делать консоль побоялся\не захотел. Ссылка на комментарий
Дмитрий Л. Опубликовано 2 ноября, 2020 Поделиться Опубликовано 2 ноября, 2020 Шаблончики делайте) 1 Ссылка на комментарий
It'sGeorgy Опубликовано 2 ноября, 2020 Поделиться Опубликовано 2 ноября, 2020 2.6 консольный получился? Ссылка на комментарий
Марья Моревна Опубликовано 2 ноября, 2020 Поделиться Опубликовано 2 ноября, 2020 Это Вы уже импланты ставите? Умничка!А что за система, небось Ирис? Ссылка на комментарий
kuziy12 Опубликовано 3 ноября, 2020 Автор Поделиться Опубликовано 3 ноября, 2020 Шаблончики делайте)Начальству говорю - покупайте КТ. Не хотят гады. 2.6 консольный получился?да Это Вы уже импланты ставите? Умничка!А что за система, небось Ирис? MIS SEVEN Ссылка на комментарий
red_butler Опубликовано 3 ноября, 2020 Поделиться Опубликовано 3 ноября, 2020 Начальству говорю - покупайте КТ. Не хотят гады. старые добрые не цифровые шаблоны никто не отменял 1 Ссылка на комментарий
Женька Опубликовано 3 ноября, 2020 Поделиться Опубликовано 3 ноября, 2020 старые добрые не цифровые шаблоны никто не отменял Расскажите пожалуйста как сделать? или где посмотреть ? Ссылка на комментарий
red_butler Опубликовано 3 ноября, 2020 Поделиться Опубликовано 3 ноября, 2020 Расскажите пожалуйста как сделать? или где посмотреть ?техник моделирует из воска и варит из прозрачной пластмассы или отжимает по типу каппы и сверлит отверстия под пилотную фрезу. такой шаблон задает только точку входа и вектор. понятно что при полной потере не подойдет. Но в случае с работой топикстартера, помог бы 2 Ссылка на комментарий
It'sGeorgy Опубликовано 3 ноября, 2020 Поделиться Опубликовано 3 ноября, 2020 даОбратите внимание, что там на 2.7 с гигиеной беда совсем. Думаю, что пища оттуда плавно может перекочевать под консоль. 2 Ссылка на комментарий
Марья Моревна Опубликовано 3 ноября, 2020 Поделиться Опубликовано 3 ноября, 2020 Делается вокс-ап, сами продублируйте гипсом,отжать каппу и сверлите сами дырки удобного размера. Сверло чтоб выходило торцом на середину жевательных поверхностей антагонистов. Слева ася обученная смотрит, чтоб ничего никуда не отклонялось, справа Вы ( визуальный 3д контроль)) Ссылка на комментарий
Большой Зеленый Опубликовано 4 ноября, 2020 Поделиться Опубликовано 4 ноября, 2020 Не самый злой случай. 1 Ссылка на комментарий
kuziy12 Опубликовано 4 ноября, 2020 Автор Поделиться Опубликовано 4 ноября, 2020 Не самый злой случай.Будут и хуже) 1 Ссылка на комментарий
kuziy12 Опубликовано 9 октября, 2021 Автор Поделиться Опубликовано 9 октября, 2021 Дабы не плодить темы, выложу тут. Докрутил пациента полностью)) Ортопедия тоже моя. От переустановки импланта в области клыка отказалась. Ссылка на комментарий
Большой Зеленый Опубликовано 11 октября, 2021 Поделиться Опубликовано 11 октября, 2021 Проблемы будут обязательно... 1 Ссылка на комментарий
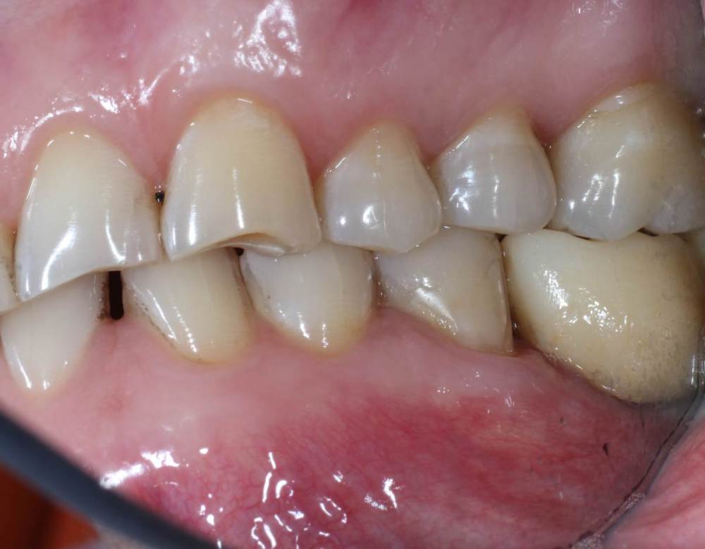
Карен Аванесов Опубликовано 11 октября, 2021 Поделиться Опубликовано 11 октября, 2021 Ну вот, поздравляю Вас, получили благословение от Большого Зеленого, таперча работе служить 10 лет не меньше. 16 часов назад, Большой Зеленый сказал: Проблемы будут обязательно... а меня стертый клык насторожил, а работа жить будет, во рту чисто. 1 Ссылка на комментарий
kuziy12 Опубликовано 12 октября, 2021 Автор Поделиться Опубликовано 12 октября, 2021 11.10.2021 в 05:28, Большой Зеленый сказал: Проблемы будут обязательно... Спасибо за подсказку, а я думал вы уже потерялись где-то, давно вас на форуме не видно 22 часа назад, Карен Аванесов сказал: Ну вот, поздравляю Вас, получили благословение от Большого Зеленого, таперча работе служить 10 лет не меньше. а меня стертый клык насторожил, а работа жить будет, во рту чисто. с суставом проблемы, пац заниматься не хочет Ссылка на комментарий
Карен Аванесов Опубликовано 12 октября, 2021 Поделиться Опубликовано 12 октября, 2021 7 часов назад, kuziy12 сказал: с суставом проблемы, пац заниматься не хочет Это уже другой уровень. Ссылка на комментарий
Рекомендуемые сообщения
Для публикации сообщений создайте учётную запись или авторизуйтесь
Вы должны быть пользователем, чтобы оставить комментарий
Создать аккаунт
Зарегистрируйте новый аккаунт в нашем сообществе. Это очень просто!
Регистрация нового пользователяВойти
Уже есть аккаунт? Войти в систему.
Войти