Джастина Опубликовано 1 ноября, 2020 Поделиться Опубликовано 1 ноября, 2020 Здравствуйте! Узнала про наращивание зубов адгезивной системой, в частности, изучила статью про систему GC-America. В статье описывался способ наращивания зуба этой системой. Помониторив инет, нашла только компанию Эль-Дент, которая продаёт материалы для этого. Но нигде не нашла стоматологий или врачей, которые бы использовали данный способ. Здесь на этом форуме нашла несколько тем, в которых обсуждался данный способ. Подскажите, где в Москве этой системой можно отреставрировать зуб? Зуб жевательный 46. Заранее спасибо. Ссылка на комментарий
red_butler Опубликовано 1 ноября, 2020 Поделиться Опубликовано 1 ноября, 2020 http://forum.stom.ru/topic/20613-sovety-patcientam-obiazatelno-k-prochteniiu/ Ссылка на комментарий
St. Опубликовано 1 ноября, 2020 Поделиться Опубликовано 1 ноября, 2020 Это реклама.. Ищите доктора по рекомендациям, а не материал Ссылка на комментарий
Джастина Опубликовано 2 ноября, 2020 Автор Поделиться Опубликовано 2 ноября, 2020 Это реклама.. Ищите доктора по рекомендациям, а не материал Вот в этом-то и проблема, что никто из знакомых не знает врача, кто бы это делал. Никто не сталкивался. Сейчас этот зуб под временной пломбой, а вчера уже кусочек зуба отвалился. Вот фото: Ссылка на комментарий
St. Опубликовано 2 ноября, 2020 Поделиться Опубликовано 2 ноября, 2020 Зуб разрушен уже достаточно сильно и любая пломба будет стоять на нем не надежно, потому что любой композит в большом объеме плохо выдерживает нагрузку. Соответственно высокий риск повторных сколов пломбы или зуба, плюс в таком объеме очень сложно правильно восстановить анатомическую форму и гладкие выпуклые боковые стенки между зубами чтобы ничего не застревало и было удобно чистить.Лучше рассмотрите вариант керамической накладки\коронки на этот зуб, это дороже но намного долговечнее 3 Ссылка на комментарий
red_butler Опубликовано 2 ноября, 2020 Поделиться Опубликовано 2 ноября, 2020 Пока все выглядит, как вирусная реклама. Покажите рентген Ссылка на комментарий
Джастина Опубликовано 2 ноября, 2020 Автор Поделиться Опубликовано 2 ноября, 2020 Пока все выглядит, как вирусная реклама. Покажите рентгенЗуб разрушен уже достаточно сильно и любая пломба будет стоять на нем не надежно, потому что любой композит в большом объеме плохо выдерживает нагрузку. Соответственно высокий риск повторных сколов пломбы или зуба, плюс в таком объеме очень сложно правильно восстановить анатомическую форму и гладкие выпуклые боковые стенки между зубами чтобы ничего не застревало и было удобно чистить.Лучше рассмотрите вариант керамической накладки\коронки на этот зуб, это дороже но намного долговечнееТак именно коронки я и хочу избежать. У меня в этом зубе стояла пломба около трети поверхности зуба, не больше. Но стоматолог, к которой я пришла сказала, что только под коронку. Пришлось согласиться, так как, в ожидании второй волны короновируса, не хотелось терять время. Я думала, что она мне светоотверждающую пломбу поставит, а дальше я решу ставить коронку или нет. Сейчас очень жалею, что согласилась, так как под коронку нужно было удалять все нервы из 3-х каналов, а у меня больной канал был только один. В результате она мне очень сильно всё рассверлила,так как каналы оказались искривлёнными. И поставила временную пломбу, так как оказывается, что под коронку пломбу ставить не надо, что странно. А анатомическую форму мне и надо восстанавливать, так как у меня неправильный прикус и после установки пломбы, врач всегда очень сильно стачивает поверхность, иначе мешает.Значит Вы считаете, я не смогу найти врача, который возьмётся восстановить мой зуб? Ссылка на комментарий
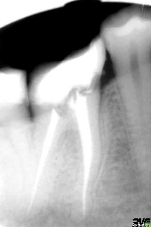
Джастина Опубликовано 2 ноября, 2020 Автор Поделиться Опубликовано 2 ноября, 2020 Пока все выглядит, как вирусная реклама. Покажите рентгенНе поняла, что Вы имеете ввиду, но сейчас выложу. У меня даже 2 снимка есть: до заделки каналов и после. Ссылка на комментарий
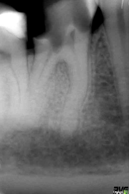
Джастина Опубликовано 2 ноября, 2020 Автор Поделиться Опубликовано 2 ноября, 2020 Вот рентген до заделки каналов: Вот после: Ссылка на комментарий
Evikrol Опубликовано 2 ноября, 2020 Поделиться Опубликовано 2 ноября, 2020 Ваш доктор все правильно сделал, по рентгену до видно что зуб был сильно разрушен, коронка обязательна. Хотите самым современным материалом, то ищите доктора кто сделает керамическую реставрацию с адгезивной фиксацией. Удалить один нерв была бы ошибка, так делать нельзя. Каналы вам шикарно запломбировали. 2 Ссылка на комментарий
Марья Моревна Опубликовано 2 ноября, 2020 Поделиться Опубликовано 2 ноября, 2020 Вы попали к хорошему врачу, держитесь ее.Видимо, она планирует сделать вкладку и коронку. Так и делайте.Не тратьте время на забивание головы фигней из интернета! Ссылка на комментарий
Джастина Опубликовано 4 ноября, 2020 Автор Поделиться Опубликовано 4 ноября, 2020 Ваш доктор все правильно сделал, по рентгену до видно что зуб был сильно разрушен, коронка обязательна. Хотите самым современным материалом, то ищите доктора кто сделает керамическую реставрацию с адгезивной фиксацией. Удалить один нерв была бы ошибка, так делать нельзя. Каналы вам шикарно запломбировали. Спасибо за отклик! Поясню: рентген был сделан после того, как уже зуб рассверлили, он не сам разрушился. Врач никак не мог найти каналы, поэтому сделали снимок. Но, как я поняла, из-за моего глупого согласия, мне теперь без коронки не обойтись. Поясните, пожалуйста, а под керамической реставрацией Вы имеете в виду коронку? А адгезивная фиксация подразумевает, что можно обойтись без металлической культевой вкладки или нет? Ссылка на комментарий
Джастина Опубликовано 4 ноября, 2020 Автор Поделиться Опубликовано 4 ноября, 2020 Вы попали к хорошему врачу, держитесь ее.Видимо, она планирует сделать вкладку и коронку. Так и делайте.Не тратьте время на забивание головы фигней из интернета!Она действительно советует сделать культевую вкладку и коронку, но не сама. Она этим не занимается, так что мне придётся искать ортопеда отдельно. Тот ортопед, что она предложила, делает металлокерамику или цирконий, но на кобальто-хромовой вкладке, а я не вижу смысла ставить керамику или цирконий, если всё равно металл будет присутствовать. Тогда уж лучше полностью металлическую коронку ставить, тем более что зуб не видно, даже при улыбке. Ссылка на комментарий
Рекомендуемые сообщения
Для публикации сообщений создайте учётную запись или авторизуйтесь
Вы должны быть пользователем, чтобы оставить комментарий
Создать аккаунт
Зарегистрируйте новый аккаунт в нашем сообществе. Это очень просто!
Регистрация нового пользователяВойти
Уже есть аккаунт? Войти в систему.
Войти