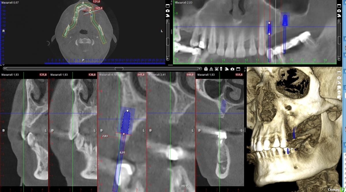
zumanok Опубликовано 28 октября, 2020 Поделиться Опубликовано 28 октября, 2020 Здравствуйте коллеги, обратился пациент с потерей зубов в результате пародонтита. В ходе лечения терапевту удалось улучшить гигиену пациента и на данный момент изменений нет два года. Пациент обратился с вопросом о имплантации. Планирую сделать мост 14-16 Возник вопрос, в области 16 есть возможность установить импл. 4.5 на 10, но от платформы до антагониста получается 14мм. стали бы Вы делать имплантацию без НКР ( что я и хочу сделать) или все таки делать НКР ПТФе мембраной? Благодарю за ответы. Ссылка на комментарий
Большой Зеленый Опубликовано 28 октября, 2020 Поделиться Опубликовано 28 октября, 2020 Ставьте так 1 Ссылка на комментарий
red_butler Опубликовано 28 октября, 2020 Поделиться Опубликовано 28 октября, 2020 Без нкр Ссылка на комментарий
Дмитрий М Опубликовано 28 октября, 2020 Поделиться Опубликовано 28 октября, 2020 подскажите какая система? Ссылка на комментарий
zumanok Опубликовано 28 октября, 2020 Автор Поделиться Опубликовано 28 октября, 2020 подскажите какая система?Здравствуйте, Необиотек Ссылка на комментарий
zumanok Опубликовано 28 октября, 2020 Автор Поделиться Опубликовано 28 октября, 2020 Ставьте так Без нкрБлагодарю Вас за ответ Ссылка на комментарий
Рекомендуемые сообщения
Для публикации сообщений создайте учётную запись или авторизуйтесь
Вы должны быть пользователем, чтобы оставить комментарий
Создать аккаунт
Зарегистрируйте новый аккаунт в нашем сообществе. Это очень просто!
Регистрация нового пользователяВойти
Уже есть аккаунт? Войти в систему.
Войти