Светлана Прекрасная oierpo Опубликовано 27 октября, 2020 Поделиться Опубликовано 27 октября, 2020 (изменено) При перелечивании каналов мне сломали инструмент в канале. Можно ли его извлечь через канал, не прибегая к резекции? Изменено 27 октября, 2020 пользователем Светлана Прекрасная oierpo Ссылка на комментарий
АнтонТЛТ Опубликовано 27 октября, 2020 Поделиться Опубликовано 27 октября, 2020 При перелечивании каналов мне сломали инструмент в канале. Можно ли его извлечь через канал, не прибегая к резекции?Снимок сможете показать? Ссылка на комментарий
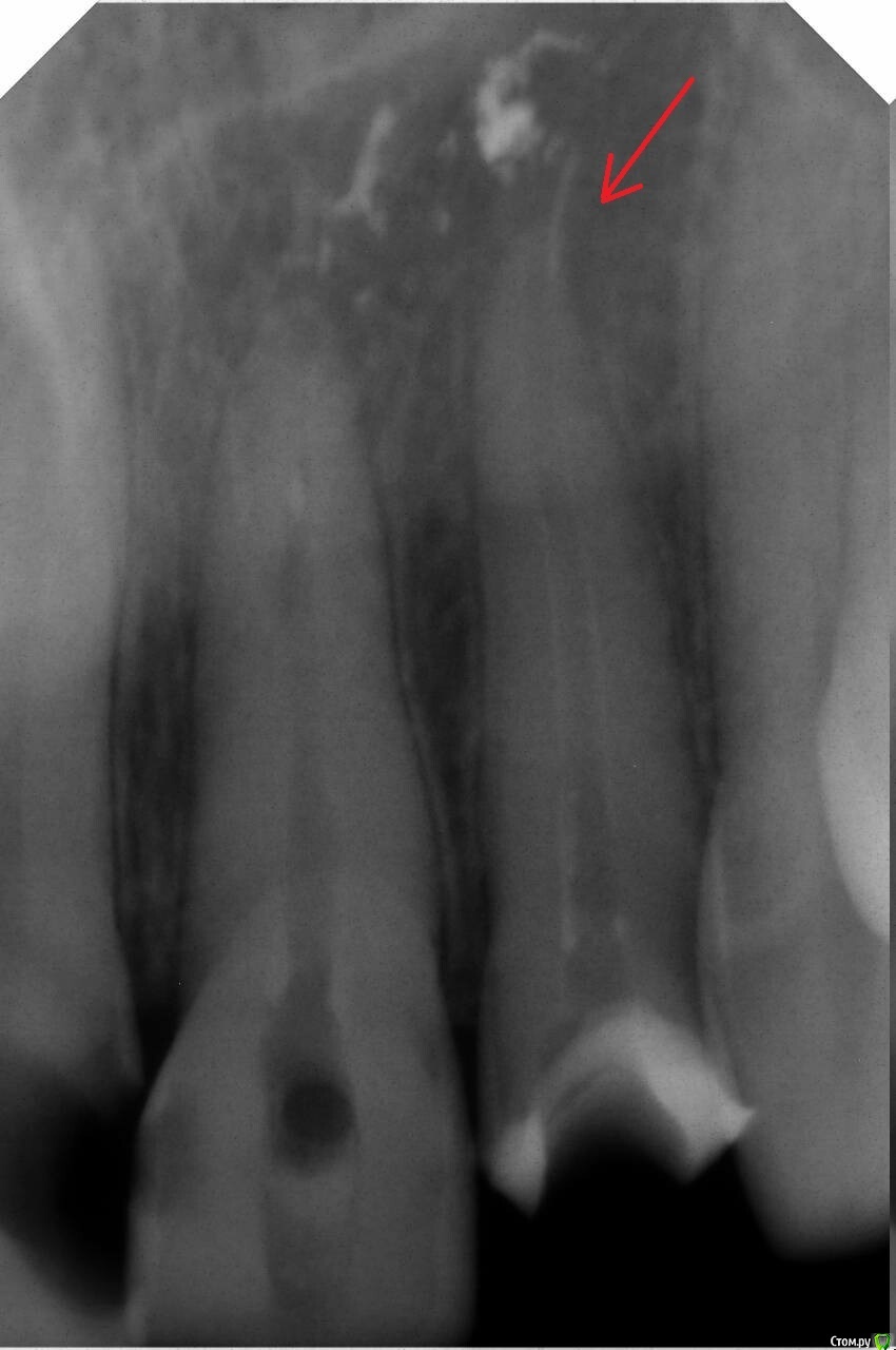
Светлана Прекрасная oierpo Опубликовано 27 октября, 2020 Автор Поделиться Опубликовано 27 октября, 2020 Снимок сможете показать? Снимок сможете показать?Прикрепила файл Ссылка на комментарий
red_butler Опубликовано 27 октября, 2020 Поделиться Опубликовано 27 октября, 2020 Нужно сделать Кт, по этому снимку не понятно, где находится отломок, в зубе или уже нет Ссылка на комментарий
Светлана Прекрасная oierpo Опубликовано 27 октября, 2020 Автор Поделиться Опубликовано 27 октября, 2020 Нужно сделать Кт, по этому снимку не понятно, где находится отломок, в зубе или уже нетА опасно с обломком ходить? Обязательно извлекать нужно? Ссылка на комментарий
АнтонТЛТ Опубликовано 27 октября, 2020 Поделиться Опубликовано 27 октября, 2020 Будет безопаснее для зуба достать хирургически. По этому снимку обломок за изгибом канала, т.е. не в прямой видимости. Терапевтически если пытаться достать, то скорее всего зуб может сильно пострадать, т.к. придется сильно расширять канал чтобы увидеть обломок. Нужно сделать КТ, действительно обломок может полностью находиться за пределами зуба. Достать нужно, т.к. этот фрагмент через какое-то время может начать окисляться. 1 Ссылка на комментарий
St. Опубликовано 27 октября, 2020 Поделиться Опубликовано 27 октября, 2020 Терапевтически в таком случае как у Вас доставать слишком рисковано.Но я бы не спешила с хирургией. Если не будет беспокоить можно запломбировать так, и наблюдать. Если будетбеспокоить или поддерживаться воспаление, то резекция 3 Ссылка на комментарий
Zlata-doctor Опубликовано 28 октября, 2020 Поделиться Опубликовано 28 октября, 2020 Какая резекция? Где здесь показания? Резекция верхушки корня делается при наличии очага воспаления. Где он здесь? Я бы предложила следующее.1. Точно установить, что есть отломок ( на снимке обычно металлические предметы визуализируются более контрастно, есть вероятность, что это след от пломбировочного материала), если есть, то определить локализацию ( сделать КТ).2. Провести качественную пломбировку корневого канала. Ортоградно ( через канал) пытаться извлечь отломок не надо-потеряете зуб.3. Определить необходимость извлечения отломка, если он есть. Я бы сделала контрольный снимок через полгода, год и тогда определила бы необходимость хирургического извлечения ( разрез на десне, аккуратный доступ к отломку, удаление его, швы-трогать корень не надо). 2 Ссылка на комментарий
Тимошка Опубликовано 29 октября, 2020 Поделиться Опубликовано 29 октября, 2020 Здравствуйте. Моё мнение, что возможно поставить зуб под наблюдение. Раз в пол года делать снимки. Если будет воспаление, тогда решать вопрос по поводу извлечения обломка. Если были соблюдены все условия обработки канала, то воспаления не должно быть. Также важно по какому поводу было обращение, почему проводилась ревизия канала, были ли жалобы на момент обращения. Если перелечивание проводилось с целью ревизии,плюс соблюдался протокол, то возможно только наблюдение. А если всё таки были жалобы. Нужен первичный снимок. Что было до. 1 Ссылка на комментарий
Светлана Прекрасная oierpo Опубликовано 31 октября, 2020 Автор Поделиться Опубликовано 31 октября, 2020 Здравствуйте. Моё мнение, что возможно поставить зуб под наблюдение. Раз в пол года делать снимки. Если будет воспаление, тогда решать вопрос по поводу извлечения обломка. Если были соблюдены все условия обработки канала, то воспаления не должно быть. Также важно по какому поводу было обращение, почему проводилась ревизия канала, были ли жалобы на момент обращения. Если перелечивание проводилось с целью ревизии,плюс соблюдался протокол, то возможно только наблюдение. А если всё таки были жалобы. Нужен первичный снимок. Что было до.Добрый день. До было вот так. 13 июля мне запломбировали эти каналы за 5 минут, эти зубы до этого не болели, просто глубокий кариес. И после этого начался ад: боли к кости, к этим зубам невозможно притронуться. Ходила 26 августа перелечивать и мне извлекли гуттаперчу, выходя инструментами за верхушку. Потом поставили кальций, 25 октября началась жуткая распирающая боль в этих зубах, мне открыли каналы, а там гной. Сейчас хожу с открытыми каналами, врачи не хотят браться за такие сложные зубы Ссылка на комментарий
Zlata-doctor Опубликовано 31 октября, 2020 Поделиться Опубликовано 31 октября, 2020 Ищите хорошего врача, владеющего современными методиками лечения каналов ( зндодонтиста). Это не самые сложные в лечении зубы, по снимкам вполне возможно все пролечить. Ссылка на комментарий
Рекомендуемые сообщения
Для публикации сообщений создайте учётную запись или авторизуйтесь
Вы должны быть пользователем, чтобы оставить комментарий
Создать аккаунт
Зарегистрируйте новый аккаунт в нашем сообществе. Это очень просто!
Регистрация нового пользователяВойти
Уже есть аккаунт? Войти в систему.
Войти