лемурка Опубликовано 27 октября, 2020 Поделиться Опубликовано 27 октября, 2020 (изменено) Добрый день, уважаемые стоматологи.Напомню предыдущую тему кратко, может, это имеет смысл для понимания проблемы.У мужа на данный момент поставлено 6 имплантатов - 16,26,35,36,45,46,. Была моя тема в 2018 г - " переустановка четырех имплантатов" Если кратко, то парочка имплантатов были установлены слишком высоко в костной ткани, еще врач во время их установки не посчитал необходимым наращивать костную ткань. По прошествии времени перед установкой постоянных коронок "Знающий" другой врач предложил все 4 имплантата удалить и установить новые, ну не понравилась ему установка. Тот, что устанавливал изначально, предлагал нарастить десну. Тогда нами по итогу консультаций здесь и не только было принято решение установить коронки, не наращивая десну. За прошедшее время были установлены еще 2 имплантата уже с наращиванием костной ткани. Все идет в принципе нормальноВозникла новая проблема. В районе своего 47 зуба исчезает или исчезла костная ткань.( При установке 45 и 46 костная ткань не наращивалась, как раз эти имплантаты были установлены высоко.) Оголился корень зуба ( зуб свой, коронки нет), видимо, туда попадает пища, и десна набухает с наружной стороны. Так происходит после каждого приема пищи уже. Раньше это происходило раз в неделю где-то. Длится это месяца три. Боли нет особой. Гноя нет вроде. Набухает десна - полоскание хлоргекседином, метрогил дента мазь, и до следующего приема пищи. ПЕРИОДОНТИТА НЕТ - так говорят врачи. Что предлагается? Удаление зуба. Зуб свой, пломбированный, правда. Жалко. На вопрос - можно ли нарастить костную ткань - врач говорит, что при таком вот регулярном воспалении нельзя. Жалко зуб. 17 зуб на месте. Неужели нельзя решить вопрос иначе как-то?И, конечно, будет предложено установить на его месте имплантат. Надо ли это делать, если по-хорошему, или можно обойтись без него уже. Спасибо. Изменено 27 октября, 2020 пользователем лемурка Ссылка на комментарий
kramer Опубликовано 27 октября, 2020 Поделиться Опубликовано 27 октября, 2020 Перелечивание каналов -> коронка, либо удаление -> имплантация. П.С. периодонтит есть 2 Ссылка на комментарий
лемурка Опубликовано 27 октября, 2020 Автор Поделиться Опубликовано 27 октября, 2020 (изменено) Перелечивание каналов -> коронка, либо удаление -> имплантация. П.С. периодонтит естьСпасибо. Смотрели два независимых врача, говорят, периодонтита нет. Врач говорит, что пища попадает прямо по центру как бы под зуб. И проблема в отсутствии костной ткани. Хорошо, посмотрим, что еще скажут.Да, и при нажатии на зуб боль отсутствует. Изменено 27 октября, 2020 пользователем лемурка Ссылка на комментарий
red_butler Опубликовано 27 октября, 2020 Поделиться Опубликовано 27 октября, 2020 Спасибо. Смотрели два независимых врача, говорят, периодонтита нет. Врач говорит, что пища попадает прямо по центру как бы под зуб. И проблема в отсутствии костной ткани. Хорошо, посмотрим, что еще скажут.Да, и при нажатии на зуб боль отсутствует.Диагноз Хронический апекальный периодонтит, причина - инфекция в корневых каналах. Устраняется либо повторным лечением корневых каналов, либо удалением зуба Ссылка на комментарий
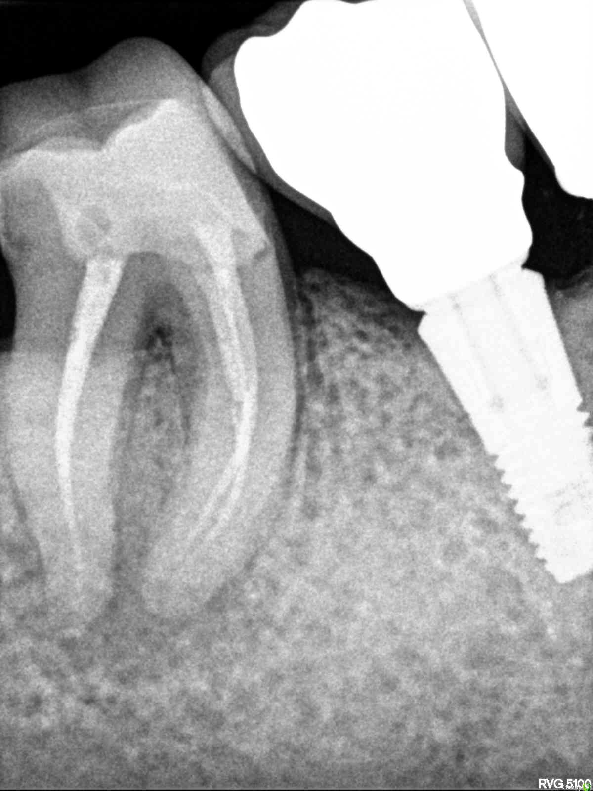
лемурка Опубликовано 27 октября, 2020 Автор Поделиться Опубликовано 27 октября, 2020 Диагноз Хронический апекальный периодонтит, причина - инфекция в корневых каналах. Устраняется либо повторным лечением корневых каналов, либо удалением зубаСпасибо. В чем это выражается на снимке? Простите за настойчивость, просто врач, который отрицает периодонтит, как раз практикует его лечение, и успешно. Есть примеры. Вроде ей совсем нелогично отрицать этот факт. А вы бы посоветовали перелечивать или удалять? И если удалять, то устанавливать ли имплантат или нет? Ссылка на комментарий
red_butler Опубликовано 27 октября, 2020 Поделиться Опубликовано 27 октября, 2020 Спасибо. В чем это выражается на снимке? Простите за настойчивость, просто врач, который отрицает периодонтит, как раз практикует его лечение, и успешно. Есть примеры. Вроде ей совсем нелогично отрицать этот факт. А вы бы посоветовали перелечивать или удалять? И если удалять, то устанавливать ли имплантат или нет? Снимок это негатив, в области верхушек корней и между корней просветление, это деструкция костной ткани. Периодонтит не видит доктор который лечил этот зуб?Для принятия решения нужен очный осмотр, если судить, только по рентгену то я за лечение. Ссылка на комментарий
лемурка Опубликовано 27 октября, 2020 Автор Поделиться Опубликовано 27 октября, 2020 (изменено) Снимок это негатив, в области верхушек корней и между корней просветление, это деструкция костной ткани. Периодонтит не видит доктор который лечил этот зуб?Для принятия решения нужен очный осмотр, если судить, только по рентгену то я за лечение.Нет, этот зуб был залечен давно в иной клинике. А этот доктор лечил другому родственнику периодондит, и вылечил успешно.Поэтому доктору нет никакого резона настаивать на том, что периодонтита нет. Ему вроде как выгодно как раз начать этот зуб лечить, но он считает, что лечить нечего... Изменено 27 октября, 2020 пользователем лемурка Ссылка на комментарий
Рекомендуемые сообщения
Для публикации сообщений создайте учётную запись или авторизуйтесь
Вы должны быть пользователем, чтобы оставить комментарий
Создать аккаунт
Зарегистрируйте новый аккаунт в нашем сообществе. Это очень просто!
Регистрация нового пользователяВойти
Уже есть аккаунт? Войти в систему.
Войти