Перейти к содержанию
Стоматология для всех

Что предпринять? (Скелетный 3 класс, перекрестный прикус, множественная рецессия, проблемы с ВНЧС)


homosapus

Рекомендуемые сообщения

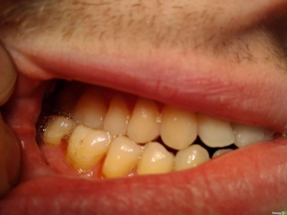
Здравствуйте, мне 29 лет, хочу остаться со своими зубами и не угробить ВНЧС.
С 16-20 лет проходил лечение у ортодонта (2 года расширитель на верхней челюсти, 2 года брекеты). Итог - получили, так называемый камуфляж (как я сейчас понимаю).

В данный момент ситуация усугубилась, основные проблемы - множественные рецессии и хруст в ухе при глотании.

 

2 ортодонта посоветовали два разных подхода к лечению:

 

1ый Операция и только она. На вопрос поможет ли это устранить рецессию, был ответ, что вам никто не скажет, но для проведения операции нужно будет вернуть все зубы в прежнее положение.

2ой Провел диагностику, ТЭНС терапию, сделал капу на нижнюю челюсть (хруст при зевании прекратился, при глотании все равно слышно), про  рецессию было сказано, что некоторые зубы получают неправильную нагрузку, но причина именно множественной рецессии не в прикусе. Дальнейшие предложении - устранение перекрестного прикуса с помощью брекетов или оклюзионного протокола.

      

Оба сказали убирать 8рки, этим сейчас занят.

 

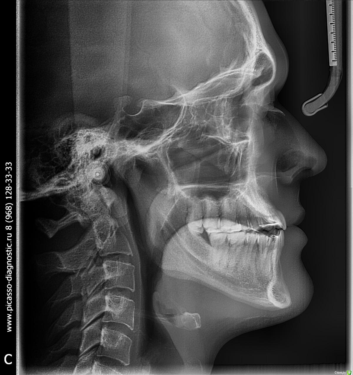
КТ https://yadi.sk/d/G5UP13aFRtrCaA

 

Хочу услышать еще мнение, от специалистов, что правильнее будет в моем случае.

Заранее спасибо, ваше мнение очень ценно для меня.

 

 

 

post-61611-0-48937300-1603729322_thumb.jpg

post-61611-0-45236500-1603729333_thumb.jpg

post-61611-0-64487300-1603729346_thumb.jpg

post-61611-0-72626300-1603729360_thumb.jpg

post-61611-0-88480300-1603729369_thumb.jpg

post-61611-0-62419300-1603729383_thumb.jpg

post-61611-0-94851700-1603729391_thumb.jpg

Ссылка на комментарий

Для публикации сообщений создайте учётную запись или авторизуйтесь

Вы должны быть пользователем, чтобы оставить комментарий

Создать аккаунт

Зарегистрируйте новый аккаунт в нашем сообществе. Это очень просто!

Регистрация нового пользователя

Войти

Уже есть аккаунт? Войти в систему.

Войти
×
×
  • Создать...
Вверх