Перейти к содержанию
Стоматология для всех

Фрагмент кости в гайморовой пазухе. Нет гноя. Причина болей?


Рекомендуемые сообщения

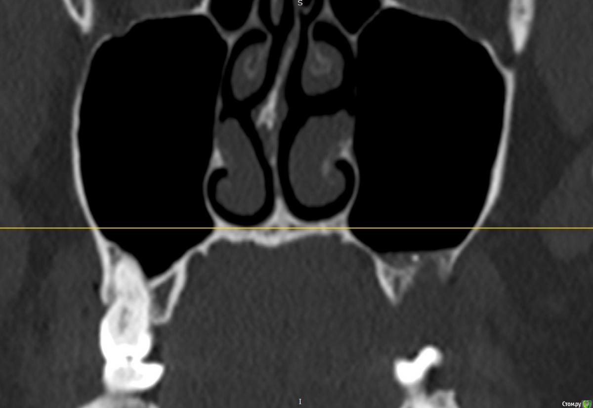
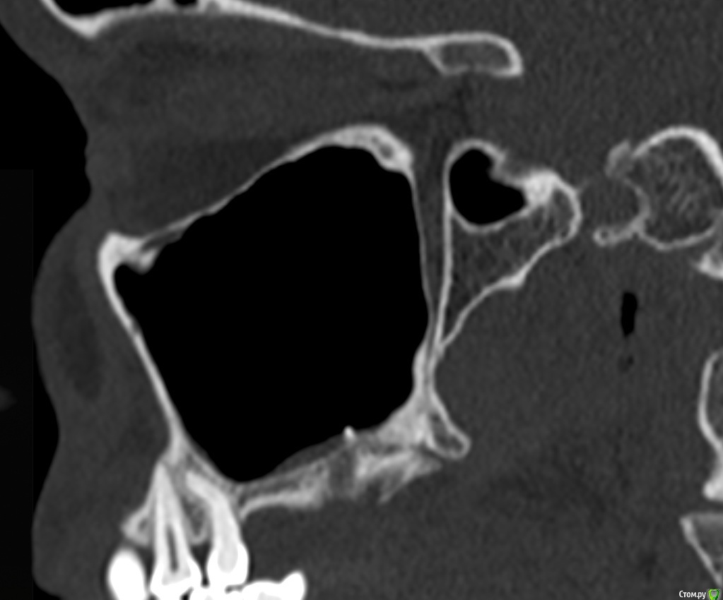
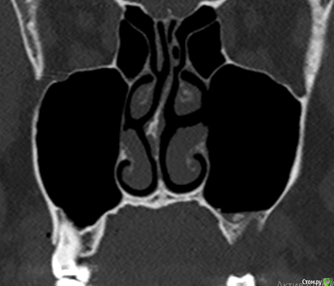
Здравствуйте. На протяжении 5 месяцев беспокоит боль в области между левой пазухой и челюстью. Боль острая, ноющая как при боли в зубе. Верхняя 7а слева (депульпированная) удалена месяц назад, но боль только усилилась. Со временем стали болеть и все суставы в теле, в особенности руки и ноги. Выполнять простые движение стало очень больно. На КТ видны инородные фрагменты и нарушение целостности нижней стенки пазухи, но в Спб никто их не захотел удалять инородные фрагменты из-за того, что причина боли по мнению врачей не в этом. В результате боль только усиливается. Причину боли при моей картине КТ никто установить не может. Обращалась почти во все клиники. Несколько неврологов патологию лицевого нерва исключили. Все это время держится температура 37-37,5. Ощущение сильного воспалительного процесса, боль немного стихает на приеме антибиотиков, но ненадолго, примерно на неделю - две. Обычные обезболивающие совершенно не помогают. Жевать пищу очень больно, сильно рот не открыть. Слабость и нет аппетита. Может ли так организм реагировать на инородный фрагмент кости в пазухе или дело в другом? Возможно ли что есть какие-то нарушения (переломы, трещины и пр) кости, которые требуют хирургического вмешательства?Вопрос возник по той причине, что при промывании пазухи есть ощущение проникания жидкости куда-то за пределы слизистой и после промывания состояние заметно ухудшается. Если кто-то может помочь советом буду очень признательна. Есть несколько КТ 3д. https://yadi.sk/d/PX30GoO1Cn5m_w -  от 13.06.2020 (примерно сразу после появления болевого синдрома), https://yadi.sk/d/bm7FD9SYVw2-Gw- сразу перед удалением зуба,  https://yadi.sk/d/fbaOTQT2-ya4xQ - КТ пазух от 21.11.2020 (то что есть на сегодня).

post-61590-0-45842100-1603473008_thumb.png

post-61590-0-92417800-1603473017_thumb.png

post-61590-0-31729300-1603473026_thumb.jpg

post-61590-0-97871400-1603473033_thumb.jpg

post-61590-0-56540400-1603473039_thumb.jpg

Ссылка на комментарий

Для публикации сообщений создайте учётную запись или авторизуйтесь

Вы должны быть пользователем, чтобы оставить комментарий

Создать аккаунт

Зарегистрируйте новый аккаунт в нашем сообществе. Это очень просто!

Регистрация нового пользователя

Войти

Уже есть аккаунт? Войти в систему.

Войти
×
×
  • Создать...
Вверх