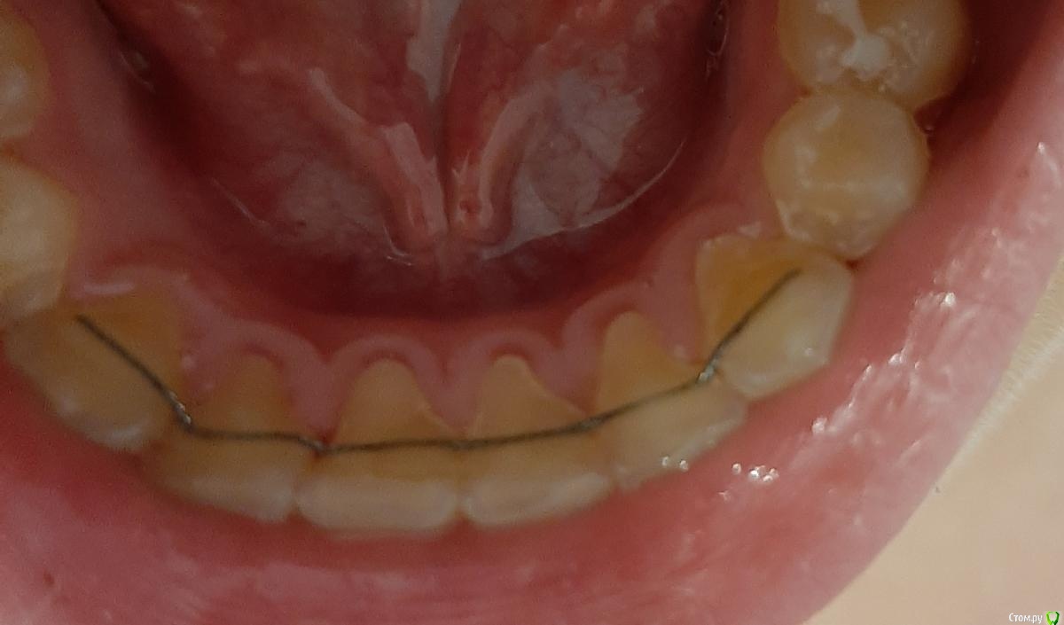
Петрухина Елена Опубликовано 22 октября, 2020 Поделиться Опубликовано 22 октября, 2020 Добрый вечер!В последнее время заметила, что десны как-то странно выглядят, не просто воспаленные, а как будто выделяются. Дискомфорта при этом никакого не ощущаю. Подскажите пожалуйста, это простое воспаление из-за недостаточно качественной чистки или может быть признаком чего-то более серьёзного?Заранее спасибо за ответ! Ссылка на комментарий
St. Опубликовано 22 октября, 2020 Поделиться Опубликовано 22 октября, 2020 Добрый день. Десна действительно отечна. Нужно сделать проф гигиену и посмотреть на десну в других участках, возможно панорамный снимок (необходимость понятна после очного осмотра).Ничего военно критичного не увидела, но плановая чистка нужна точно Ссылка на комментарий
dentikl Опубликовано 22 октября, 2020 Поделиться Опубликовано 22 октября, 2020 Добрый вечер! сахар в норме? Ссылка на комментарий
DmitrySH Опубликовано 22 октября, 2020 Поделиться Опубликовано 22 октября, 2020 Подскажите пожалуйста, это простое воспаление из-за недостаточно качественной чистки Да, в первую очередь от налета Ссылка на комментарий
Рекомендуемые сообщения
Для публикации сообщений создайте учётную запись или авторизуйтесь
Вы должны быть пользователем, чтобы оставить комментарий
Создать аккаунт
Зарегистрируйте новый аккаунт в нашем сообществе. Это очень просто!
Регистрация нового пользователяВойти
Уже есть аккаунт? Войти в систему.
Войти