Спилка Опубликовано 15 октября, 2020 Поделиться Опубликовано 15 октября, 2020 В августе решилась на удаление нижних зубов мудрости (38 и 48). Врач - стоматолог-хирург посоветовала не удалять сразу оба, а по-очереди и начать с 48 зуба, ретинированного, дистопированного, возле которого больший очаг воспаления.В процессе удаления был сделан укол анестезии, потом разрезана десна, отпилена коронка зуба, упиравшаяся в соседнюю “семерку” - 47 зуб, и удалён корень, далее рана была зашита. В день операции прицельных снимков ни до, ни после не делали, врач руководствовалась КТ месячной давности, лунка после удаления не промывалась, лекарство, дренаж не ставились.Процесс удаления зуба прошел, на мой взгляд, быстро, дёргано, врач сразу же ушла после завершения, была не в настроении, явно чем-то обеспокоена. На свой счет я это не приняла, но осадок остался.Назначения врача в плане приема таблеток: нимесил, супрастин, амоксиклав, холод первые суткиАнтибиотик, в отличие от прочих назначений, был рекомендован при наличии болей на третий день после удаления.Меня предупредили, что операция сложная, “помучаюсь” с заживлением и восстановлением.Дома первые сутки прикладывала холод, пила нимесил и супрастин по нормам назначения.На третьи сутки супруг заметил, что изо рта стало “плохо пахнуть”, “гнилостно”, позвонил врачу, она сказала, что на третий день отёк самый большой, это норма, и посоветовала начать пить антибиотик, и если будет так же или лучше, все ок, если хуже - приехать на приём, лунку вскроют, заново сформируют сгусток и зашьют.На четвертые сутки после удаления ситуация ухудшилась, было принято решение показаться в областную клинику хирургу. В приемном отделении, увидев мою щеку, погоняли по кабинетам, взяли анализы, сделали рентген, КТ, ЭКГ, еще что-то - уже не помню, и …..поставили диагноз - флегмона околочелюстной области справа. И экстренно прооперировали. Подробности описывать не буду, жутко все это, никому не пожелаю... 11 дней в стационаре, выписали с открытой раной на амбулаторное лечение к хирургу по месту жительства.Я всю жизнь по стоматологам, много разных сменила, читаю информацию, что-то понимаю, но все же я не специалист. Эта клиника самая лучшая и дорогая в области, думала уж там все будет отлично. Но пока лечилась в областном стационаре, много читала и возникли сомнения, что удаление произведено отлично.После того, как рана затянулась, попытались прояснить этот вопрос с клиникой, где удаляли зуб. Там сказали, что я не добросовестный пациент, что никаких установленных нормативов, протоколов лечения не существует, соответственно, врач ничего не мог нарушить при проведении операции по удалению 48 зуба, попугали стоимостью экспертизы. И вообще, после вмешательства врачей областной клиники уже доказать ничего нельзя, засомневались в верности диагноза - флегмона околочелюстной области справа. По мнению директора клиники и глав врача удаление проведено идеально - они смотрели записи камеры наблюдения.Собственно - вопрос в чем - может они правы и удаление действительно прошло “идеально” - как они утверждают, и флегмоны не было.У меня есть 3Д снимки за месяц до удаления и через полтора месяца после. Как могла в программе выставила диапазоны, сделала снимки экрана. И кажется мне, что там осколки зуба в лунке… Муж сделал фото лунки - по-моему осколок видно.Я в растерянности, если клиника отработала идеально, почему такие катастрофические последствия?!! Если так можно - оцените ситуацию в целом, так как теряюсь сформулировать какой-то конкретный вопрос. Заранее спасибо всем! Ссылка на комментарий
Дмитрий Л. Опубликовано 15 октября, 2020 Поделиться Опубликовано 15 октября, 2020 Трудно что-либо комментировать. Почему если возникли жалобы, не обратились в ту же клинику? Ссылка на комментарий
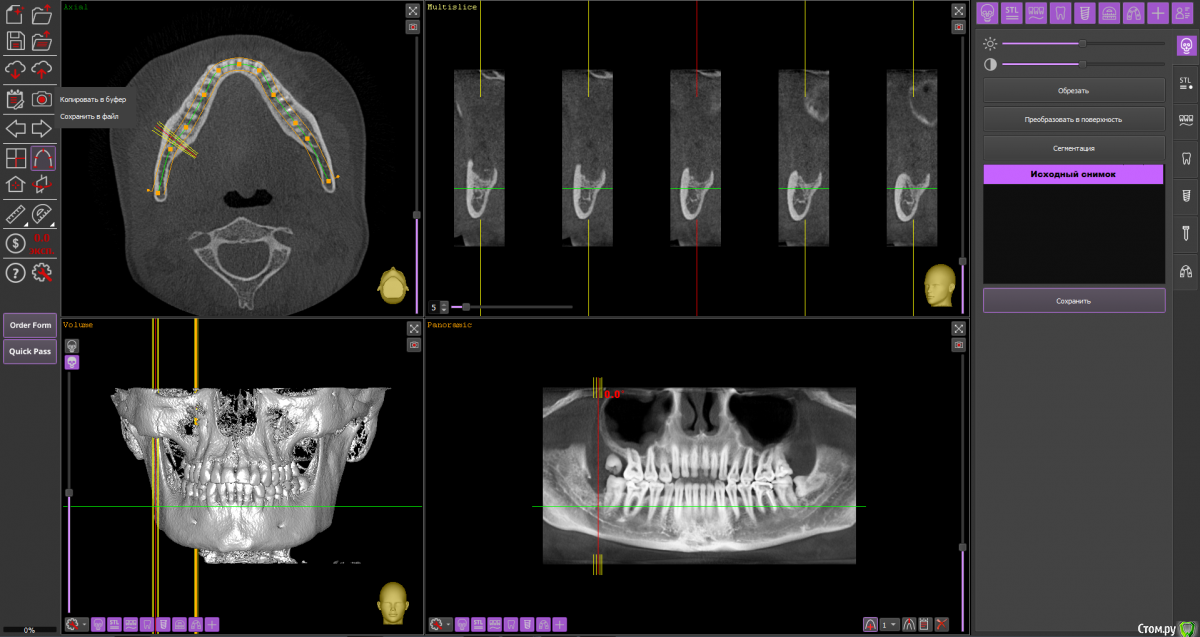
Irouil Опубликовано 15 октября, 2020 Поделиться Опубликовано 15 октября, 2020 Загрузите кт на файлообменник Ссылка на комментарий
Спилка Опубликовано 15 октября, 2020 Автор Поделиться Опубликовано 15 октября, 2020 Трудно что-либо комментировать. Почему если возникли жалобы, не обратились в ту же клинику?В чем состоит трудность прокомментировать ситуацию? Обратились в другую клинику в первую очередь потому, что не понравилось отношение врача при операции и последующей консультации. Ссылка на комментарий
Спилка Опубликовано 15 октября, 2020 Автор Поделиться Опубликовано 15 октября, 2020 Загрузите кт на файлообменникhttps://yadi.sk/d/cU-dxQlKtbsNfQКЛКТ И фото места где был зуб Ссылка на комментарий
kramer Опубликовано 15 октября, 2020 Поделиться Опубликовано 15 октября, 2020 При всем уважении к коллегам из члх, им свойственно нагнетать атмосферу, ставить страшные диагнозы, обвинять амбулаторных хирургов и т.п. Вам надо было сразу обратиться по месту удаления, ситуация разрешилась бы быстрее и проще. Что делали в стационаре? Разрез делали во рту или снаружи? 4 Ссылка на комментарий
Спилка Опубликовано 15 октября, 2020 Автор Поделиться Опубликовано 15 октября, 2020 (изменено) При всем уважении к коллегам из члх, им свойственно нагнетать атмосферу, ставить страшные диагнозы, обвинять амбулаторных хирургов и т.п. Вам надо было сразу обратиться по месту удаления, ситуация разрешилась бы быстрее и проще. Что делали в стационаре? Разрез делали во рту или снаружи?Выше я написала причину НЕ обращения по месту удаления.В члх делали операцию по вскрытию флегмоны, под местной анестезией, разрез проводился снаружи, под нижней челюстью, оттуда убирали гнойное содержимое, и я чувствовала скальпель (или другой инструмент) во рту, то есть насквозь проникали. После - перевязки с левосином, дренажные резинки в открытую рану, антибиотики внутримышечно и внутривенно 7 дней. Далее ещё 4 дня наблюдали и выписали с открытой раной на амбулаторное лечение к хирургу по месту жительства.Сомневаетесь, была ли флегмона? По действиям стоматолога каково ваше мнение? Изменено 15 октября, 2020 пользователем Спилка Ссылка на комментарий
kramer Опубликовано 15 октября, 2020 Поделиться Опубликовано 15 октября, 2020 Чтобы высказывать мнение, нужно проводить экспертизу. Что точно могу сказать, "флегмоны околочелюстной области" быть не может, т.к. указанной области у человека не существует 3 Ссылка на комментарий
kramer Опубликовано 15 октября, 2020 Поделиться Опубликовано 15 октября, 2020 Но если рассматривать вопрос в целом, то риск разного рода осложнений всегда сопутствует любым операциям. Периодически можно услышать истории о том, как пациенту удаляют нижний зуб мудрости, причём без разрезов, распилов и тд, короче быстро, а через день человек уже в стационаре. Причины такого никому неизвестны. Возможно, анатомические особенности + агрессивная флора 3 Ссылка на комментарий
Спилка Опубликовано 15 октября, 2020 Автор Поделиться Опубликовано 15 октября, 2020 Чтобы высказывать мнение, нужно проводить экспертизу. Что точно могу сказать, "флегмоны околочелюстной области" быть не может, т.к. указанной области у человека не существуетНу вы вроде врач, вам виднее. Гуглится термин запросто почему-то, и широко используется, не знают глупые, что около челюсти и нет ничего. 2 Ссылка на комментарий
Спилка Опубликовано 15 октября, 2020 Автор Поделиться Опубликовано 15 октября, 2020 Но если рассматривать вопрос в целом, то риск разного рода осложнений всегда сопутствует любым операциям. Периодически можно услышать истории о том, как пациенту удаляют нижний зуб мудрости, причём без разрезов, распилов и тд, короче быстро, а через день человек уже в стационаре. Причины такого никому неизвестны. Возможно, анатомические особенности + агрессивная флора Делать операцию "вслепую" и зашивать лунку со всеми осколками, даже не промыв это нормальная практика? Ссылка на комментарий
Irouil Опубликовано 15 октября, 2020 Поделиться Опубликовано 15 октября, 2020 Уважаемая Спилка, Мы тут не "вроде врачи", а врачи, околочелюстной области в международно признанной анатомической терминологии нет, Ваше расстройство можно понять и мы Вам сочувствием, но хамить людям за то, что они пытаются помочь Вам разобраться в каких-то вопросах - не стоит, на мой взгляд. Завтра я посмотрел Ваше КТ и выскажу свое мнение по поводу увиденного, пока могу лишь сказать, что сам РЕГУЛЯРНО ушиваю НАГЛУХО лунки удалённых нижних восьмых зубов (мудрости) именно для избежания развития осложнений инфекционного характера, ибо ОТКРЫТАЯ для остатков пищи и бактерий из полости рта рана априори вероятнее нагноится, чем закрытая. К сожалению, из-за большой концентрации микроорганизмов в полости рта, осложниться абсцедированием может абсолютно любое хирургическое вмешательство в этой области. Просто при удалении любого другого зуба, абсцедирование чаще всего происходит просто под десну, что решается небольшим разрезом во рту, но расположение нижних восьмерок в анатомически сложной области приводит к распространению подобных процессов под челюсть. И напоследок: на нашем форуме собраны клиницисты, а не врачи-эксперты или юристы, поэтому никаких обсуждений вины/правоты коллег и/или правовых аспектов медицинской деятельности мы не ведём. Мы высказываем рекомендации на основании объективных данных АКТУАЛЬНЫХ патологий. Насколько я понимаю, на данный момент Ваше выздоровление проходит успешно, операция в стационаре достигла требуемого результата. В этой ситуации я могу сказать, что наличие инфицированных осколков в лунке удалённого зуба не позволило бы инфекционному процессу прекратиться, поэтому можно с определённой долей уверенности говорить, что таких фрагментов на данный момент в Вашей лунке нет. Тем не менее, я повторюсь, завтра я посмотрю предоставленное КТ и постараюсь высказать своё мнение по этому поводу на основании объективных данных. 1 5 Ссылка на комментарий
Спилка Опубликовано 15 октября, 2020 Автор Поделиться Опубликовано 15 октября, 2020 (изменено) Мы тут не "вроде врачи", а врачи, околочелюстной области в международно признанной анатомической терминологии нет, Ваше расстройство можно понять и мы Вам сочувствием, но хамить людям за то, что они пытаются помочь Вам разобраться в каких-то вопросах - не стоит, на мой взгляд. Уважаемый Irouil, мне неведомо насколько подпись под аватаром - Врачи+ - соотносится с реальностью, поэтому и высказалась в передположительном ключе, ни малейшего намерения хамить кому бы то не было не имею. Термин - флегмона околочелюстной области - фигурирует в моем диагнозе, насколько это правильная формулировка мне неизвестно, но применяется достаточно широко. Завтра я посмотрел Ваше КТ и выскажу свое мнение по поводу увиденного, пока могу лишь сказать, что сам РЕГУЛЯРНО ушиваю НАГЛУХО лунки удалённых нижних восьмых зубов (мудрости) именно для избежания развития осложнений инфекционного характера, ибо ОТКРЫТАЯ для остатков пищи и бактерий из полости рта рана априори вероятнее нагноится, чем закрытая. Я не оценивала правильность действий врача, просто написала как и что было сделано. И напоследок: на нашем форуме собраны клиницисты, а не врачи-эксперты или юристы, поэтому никаких обсуждений вины/правоты коллег и/или правовых аспектов медицинской деятельности мы не ведём. Мы высказываем рекомендации на основании объективных данных АКТУАЛЬНЫХ патологий. Насколько я понимаю, на данный момент Ваше выздоровление проходит успешно, операция в стационаре достигла требуемого результата. В этой ситуации я могу сказать, что наличие инфицированных осколков в лунке удалённого зуба не позволило бы инфекционному процессу прекратиться, поэтому можно с определённой долей уверенности говорить, что таких фрагментов на данный момент в Вашей лунке нет. Вот именно мнение клиницистов меня и интересует, насколько правильно меня лечили и что мне делать далее. Не знаю, что лично вы вкладываете в понятие правоты коллег, у меня сложилось впечатление о наплевательском отношении ко мне как пациенту у лечащего врача, но не будучи специалистом желаю в это опровергнуть, либо удостовериться. АКТУАЛЬНЫЕ патологии у меня на данный момент следующие - осколки удаленного зуба, открытая лунка, перекошеное, онемевшее лицо, у меня слюна изо рта течет и я не чувствую пока до шеи не дотечет или на грудь не капнет! В стоматологической клинике меня уверяют, что все отлично сделали, лунка затянулась. Я лично вижу открытую лунку и кусочек зуба и другие осколки на КТ. Это называется успешным выздоровлением? Какой результат по вашему достигнут в стационаре, не подохла? Утверждение относительно инфицированных осколков на мой взгляд не логично, но спорить не стану. А в общем и целом спасибо огромное вам и вашим коллегам за ту работу что вы ведете на форуме, простите великодушно если что, я не со зла. Изменено 15 октября, 2020 пользователем Спилка Ссылка на комментарий
dentikl Опубликовано 16 октября, 2020 Поделиться Опубликовано 16 октября, 2020 В чем состоит трудность прокомментировать ситуацию?Обратились в другую клинику в первую очередь потому, что не понравилось отношение врача при операции и последующей консультации.как правило ,психологическое напряжение,которое возникает у пациента перед и во время сложных хирургических манипуляция ставит под сомнение их способность фиксировать в памяти всю этапность операций-промывали,не промывали,антибиотик с первого дня или в случае осложнений и тд.Если коллеги областной клиники и второй,которая потом консультировала, не видят фрагментов корня в лунке-значит врач первой клиники добросовестно выполнил свою часть работы.Вы наверняка знаете,что половина клинического успеха зависит от самого пациента (его осмотрительности и осознанности) и его (пациента) организма. Ссылка на комментарий
Bier Опубликовано 16 октября, 2020 Поделиться Опубликовано 16 октября, 2020 Удаление было проведено правильно, подобное осложнение к сожалению возможно. Ваш организм не справился с инфекцией, которая у вас же во рту и живет. 2 Ссылка на комментарий
Спилка Опубликовано 16 октября, 2020 Автор Поделиться Опубликовано 16 октября, 2020 как правило ,психологическое напряжение,которое возникает у пациента перед и во время сложных хирургических манипуляция ставит под сомнение их способность фиксировать в памяти всю этапность операций-промывали,не промывали,антибиотик с первого дня или в случае осложнений и тд. Я прекрасно помню что не сплевывала, как это обычно происходит, промывочный раствор. Возможно он удалялся слюноотсосом, может быть использовалось некое приспособление подающее и одновременно удаляющее промывочный раствор. Про антибиотик все расписано врачом собственноручно. Если коллеги областной клиники и второй,которая потом консультировала, не видят фрагментов корня в лунке-значит врач первой клиники добросовестно выполнил свою часть работы.Областная клиника - устраняла флегмону, поисками осколков они не занимались. Вторая, не нашедшая осколков, как раз и удаляла зуб, читайте внимательнее пожалуйста. Не в их интересах было находить осколки. Вы наверняка знаете,что половина клинического успеха зависит от самого пациента (его осмотрительности и осознанности) и его (пациента) организма. Как же тогда лечат душевнобольных, младенцев и животных? Если врач свою условную половину запорол, никакие усилия пациента это не исправят. А уж организм вообще своенравен и и не предсказуем, что хочет то и творит и никто ему не указ. Ссылка на комментарий
Спилка Опубликовано 16 октября, 2020 Автор Поделиться Опубликовано 16 октября, 2020 Удаление было проведено правильно, подобное осложнение к сожалению возможно. Ваш организм не справился с инфекцией, которая у вас же во рту и живет.Вывод о правильности проведенного удаления основан на чем? Осколки зуба и костные опилки зашить в лунке это правильно? Мне кажется задача врача как раз и состоит в том чтобы предотвратить подобное развитие событий? Промывка лунки антисептирующим раствором, назначение антибиотиков, санация полости рта до операции? Ссылка на комментарий
red_butler Опубликовано 16 октября, 2020 Поделиться Опубликовано 16 октября, 2020 Уважаемая Спилка, форум создан для того что бы ответить на клинические вопросы. Всю информацию Мы получаем только с ваших слов. Вы сейчас на эмоциях, но к сожалению подобны исход возможен. вы о нем были предупреждены до начала операции ( подписывая ИДС). Не вижу никакого смысла в продолжении темы, ведь Вы нас не слышите и не хотите слышать. Ссылка на комментарий
Спилка Опубликовано 16 октября, 2020 Автор Поделиться Опубликовано 16 октября, 2020 Уважаемый red_butler, на клинические вопросы ответы не поступают. Никто до сих пор не дал ответа, есть осколки зуба в лунке или их нет. Соответственно я не могу сделать вывода о добросовестности и компетенции клиники проводившей удаление и принять решение о дальнейших своих действиях.Что именно я не слышу? Безосновательные утверждения в правильности проведенного лечения? Сказать и объяснить несколько разные понятия, до объяснений никто к сожалению не утруждается.Наверное это и есть пресловутая цеховая солидарность? Ссылка на комментарий
red_butler Опубликовано 16 октября, 2020 Поделиться Опубликовано 16 октября, 2020 Никто до сих пор не дал ответа, есть осколки зуба в лунке или их нет. не увидел фрагментов зуба 5 Ссылка на комментарий
Спилка Опубликовано 16 октября, 2020 Автор Поделиться Опубликовано 16 октября, 2020 (изменено) не увидел фрагментов зубаВам виднее, вы же специалист, подскажите пожалуйста, что тогда там может быть? Нам мой дилетантский взгляд там как минимум 5 осколков, из них два довольно крупных, тот который возле семерки вообще видно с зеркальцем невооруженным глазом. Изменено 16 октября, 2020 пользователем Спилка Ссылка на комментарий
Марья Моревна Опубликовано 16 октября, 2020 Поделиться Опубликовано 16 октября, 2020 Что сейчас делать? Успокоиться и выздоравливать.Долечиваться амбулаторно.Онемение к осколкам или их отсутствию никакого отношения не имеет.Осколки на снимках выглядят по-другому.А у Вас какой,другой план действий? Ссылка на комментарий
Irouil Опубликовано 16 октября, 2020 Поделиться Опубликовано 16 октября, 2020 Вот именно мнение клиницистов меня и интересует, насколько правильно меня лечилиИменно это сказать клиницист не может в принципе, такие заключения даются на экспертизе врачом-экспертомКакой результат по вашему достигнут в стационаре, не подохла?Я бы выразился иначе, но суть Вы передали верно: главная цель лечения пациентов в экстренной медицине (а инфекционные воспалительные процессы, в первую очередь флегмоны, в челюстно-лицевой области являются показанием именно для применения такого вида лечения) - спасение жизни, ибо угроза для нее была. Теперь по существу Во-первых я не вижу на предоставленной компьютерной томограмме потенциально инфицированных фрагментов, угрожающих Вашему здоровью. И расскажите подробнее про губу - отмечается ее онемение? Сможете обрисовать карандашом область онемения и сделать фото? Ссылка на комментарий
Zlata-doctor Опубликовано 17 октября, 2020 Поделиться Опубликовано 17 октября, 2020 (изменено) Я не вижу никаких осколков на представленных снимках. Замечу, даже если бы они там и были, это не может являться причиной флегмоны. Патофизиология данного процесса гораздо более сложна и связана также с особенностями флоры вашей полости рта, вашего иммунитета, с непростой анатомией данной области, сложностью удаления и другими факторами. И таки да, околочелюстной области как анатомического образования, не существует. Промывание, введение лексредств и дренирование проводятся врачом по показаниям, он не должен 100% это сделать, а иногда это и нежелательно. Также хочу Вам сказать, что здесь собрались врачи, которые абсолютно бесплатно в рамках своей компетенции пытаются помогать вам, пациентам. И никакая это не цеховая солидарность, просто проводить экспертизу и ставить вердикт на расстоянии, не имея полной задокументированной истории вашей болезни-непрофессионально, преступно и аморально. К сожалению, люди сейчас воспитаны на скандальных ТВ роликах, где диагнозы обвинения, а заодно и приговор раздаются на раз-два. Здесь такого горлопанства в погоне за сенсацией не будет. Мы вам очень сочувствуем и желаем скорейшего выздоровления. Изменено 17 октября, 2020 пользователем Zlata-doctor 5 Ссылка на комментарий
Рекомендуемые сообщения
Для публикации сообщений создайте учётную запись или авторизуйтесь
Вы должны быть пользователем, чтобы оставить комментарий
Создать аккаунт
Зарегистрируйте новый аккаунт в нашем сообществе. Это очень просто!
Регистрация нового пользователяВойти
Уже есть аккаунт? Войти в систему.
Войти