DenisB Опубликовано 13 октября, 2020 Поделиться Опубликовано 13 октября, 2020 Заметил на 35 зубе точку диаметром примерно 1 мм (см фото), стоматолог говорит, что это кариес в стадии пятна. На мой вопрос "как убрать" говорит, что такое они не лечат, сказала, что если ставить пломбу, то нужно её нужно будет переустанавливать каждые 3 года. Посоветовала использовать реминирализующий гель или реминирализующую пасту, как я понял это что-то типа rocs medical minerals.Вопрос: действительно ли можно убрать эту точку гелями/пастами? И если ставить пломбу, действительно ли её придётся переустанавливать каждые 3 года? Почему? Ссылка на комментарий
red_butler Опубликовано 13 октября, 2020 Поделиться Опубликовано 13 октября, 2020 Нужно сделать рентгеновский снимок этой области Ссылка на комментарий
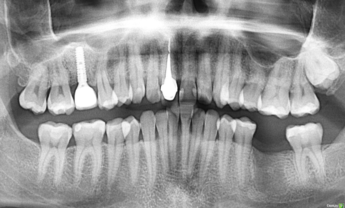
DenisB Опубликовано 13 октября, 2020 Автор Поделиться Опубликовано 13 октября, 2020 Нужно сделать рентгеновский снимок этой областиПрицельного снимка этого зуба на текущий момент нет, но есть актуальная ортопантомограмма. На ней этот зуб - второй справа в нижнем ряду. Будет ли её достаточно для ответа на мой вопрос или обязательно прицельный снимок? Ссылка на комментарий
red_butler Опубликовано 13 октября, 2020 Поделиться Опубликовано 13 октября, 2020 По фото и панорамному снимку не понятна стадия кариеса, я бы скорее вёл его как кариес дентина, то есть пломбировал Ссылка на комментарий
DenisB Опубликовано 14 октября, 2020 Автор Поделиться Опубликовано 14 октября, 2020 Хорошо, я вас понял, а если это все-таки кариес только эмали, то насколько реально такие пятна на эмали убрать реминирализирующими гелями/пастами? Есть у меня сомнения по этому поводу. Ссылка на комментарий
red_butler Опубликовано 14 октября, 2020 Поделиться Опубликовано 14 октября, 2020 Хорошо, я вас понял, а если это все-таки кариес только эмали, то насколько реально такие пятна на эмали убрать реминирализирующими гелями/пастами? Есть у меня сомнения по этому поводу.я не понял, Вас само пятно, то есть дисколорит беспокоит? Ссылка на комментарий
DenisB Опубликовано 14 октября, 2020 Автор Поделиться Опубликовано 14 октября, 2020 (изменено) я не понял, Вас само пятно, то есть дисколорит беспокоит? Ну, я бы предпочёл, чтобы этого пятна на моих зубах не было. Разве странное пожелание? Повторю вопрос: насколько реально такие пятна на эмали убрать реминирализирующими гелями/пастами (при условии что это только поверхностный кариес)? Изменено 14 октября, 2020 пользователем DenisB Ссылка на комментарий
ЛанаМ Опубликовано 15 октября, 2020 Поделиться Опубликовано 15 октября, 2020 Гелями и пастами можно приостановить развитие кариеса. Цвет пятна практически не изменится. Для коррекции цвета нужны другие методики. Ссылка на комментарий
DenisB Опубликовано 15 октября, 2020 Автор Поделиться Опубликовано 15 октября, 2020 (изменено) Для коррекции цвета нужны другие методики. Подскажите, с помощью каких методик можно скорректировать цвет пятна? Изменено 15 октября, 2020 пользователем DenisB Ссылка на комментарий
ЛанаМ Опубликовано 16 октября, 2020 Поделиться Опубликовано 16 октября, 2020 Есть такая методика ICON, можете в поисковик забить на этом форуме. Из вариантов либо наблюдать, либо поставить пломбу, как предлагает red_butler. Фотокомпозит не нуждается в замене каждые три года. Ссылка на комментарий
red_butler Опубликовано 16 октября, 2020 Поделиться Опубликовано 16 октября, 2020 Есть такая методика ICON, можете в поисковик забить на этом форуме. нее, с таким пятном не поможет, знаем наигрались уже Ссылка на комментарий
Рекомендуемые сообщения
Для публикации сообщений создайте учётную запись или авторизуйтесь
Вы должны быть пользователем, чтобы оставить комментарий
Создать аккаунт
Зарегистрируйте новый аккаунт в нашем сообществе. Это очень просто!
Регистрация нового пользователяВойти
Уже есть аккаунт? Войти в систему.
Войти