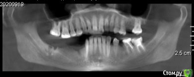
Екатерина Ч. Опубликовано 10 октября, 2020 Поделиться Опубликовано 10 октября, 2020 Здравствуйте. Хочу сделать имплантацию зубов. Нужно ли будет наращивать костную ткань Ссылка на комментарий
Nazim_NV86 Опубликовано 10 октября, 2020 Поделиться Опубликовано 10 октября, 2020 (изменено) Здравствуйте. Срезы(сечения) нужны и желательно с измерениями. Даже просто вертикально и горизонтально по 5мм нарисовать чтоб масштабы были понятны. Изменено 10 октября, 2020 пользователем Nazim_NV86 1 Ссылка на комментарий
Рекомендуемые сообщения
Для публикации сообщений создайте учётную запись или авторизуйтесь
Вы должны быть пользователем, чтобы оставить комментарий
Создать аккаунт
Зарегистрируйте новый аккаунт в нашем сообществе. Это очень просто!
Регистрация нового пользователяВойти
Уже есть аккаунт? Войти в систему.
Войти