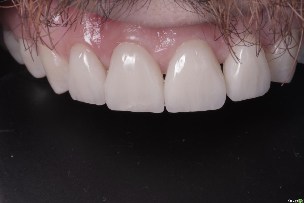
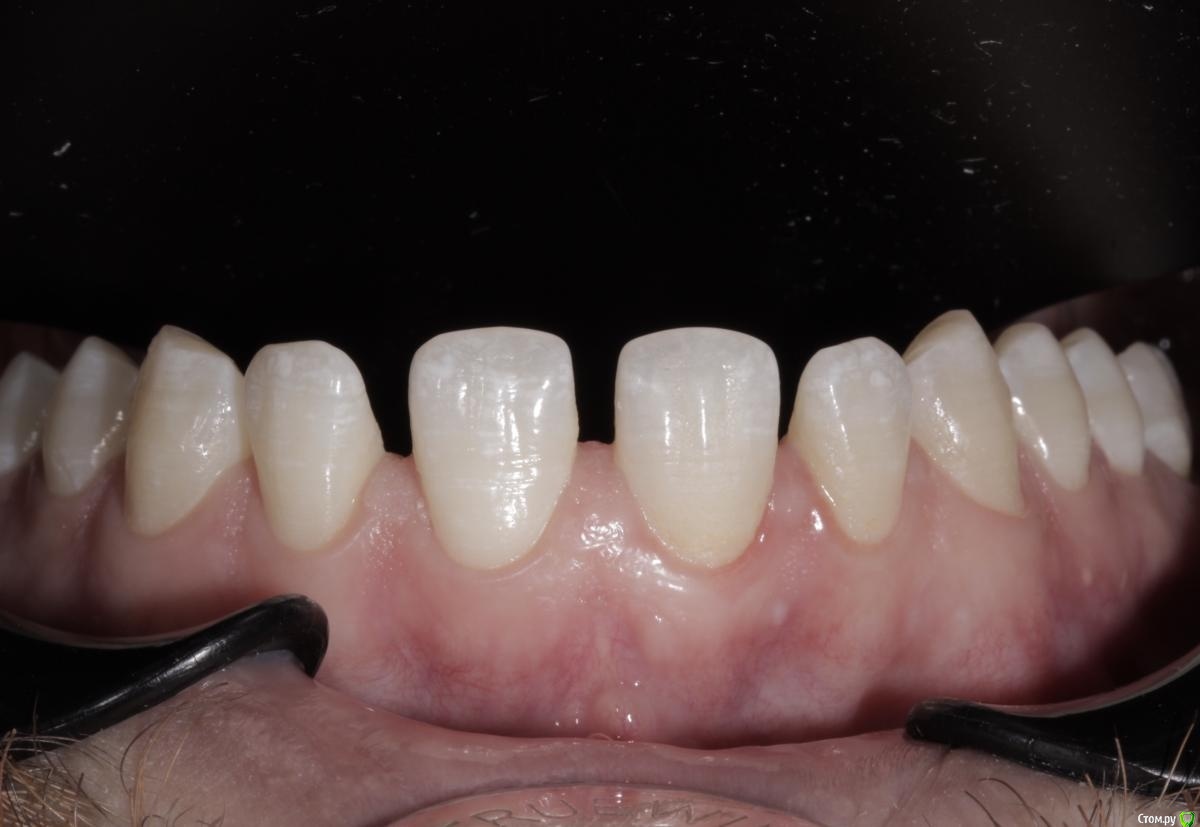
AntonForrat Опубликовано 9 октября, 2020 Поделиться Опубликовано 9 октября, 2020 Всем доброго времени суток коллеги. Помогите разобраться. Пришел пациент после фиксации на 7 день вот с такой трещиной на режущем. Все фото прилагаю, заранее большое спасибо Ссылка на комментарий
Марья Моревна Опубликовано 9 октября, 2020 Поделиться Опубликовано 9 октября, 2020 А в прикусе фото есть? Ссылка на комментарий
AntonForrat Опубликовано 9 октября, 2020 Автор Поделиться Опубликовано 9 октября, 2020 А в прикусе фото есть?К сожалению нет 1 Ссылка на комментарий
Doc Опубликовано 9 октября, 2020 Поделиться Опубликовано 9 октября, 2020 Всем доброго времени суток коллеги. Помогите разобраться. Пришел пациент после фиксации на 7 день вот с такой трещиной на режущем. Все фото прилагаю, заранее большое спасибоА в чем вопрос-то? 1 Ссылка на комментарий
AntonForrat Опубликовано 10 октября, 2020 Автор Поделиться Опубликовано 10 октября, 2020 А в чем вопрос-то? Из за чего могла появится трещина? Узнать в чем проблема чтобы в будущем такого не было . Ссылка на комментарий
annda Опубликовано 10 октября, 2020 Поделиться Опубликовано 10 октября, 2020 (изменено) Нижний центральный резец чуть ротирован и кончик торчит выше соседей. При откусывании или протрузии как раз на этот участок винира приходится удар этим углом. Результат на фото. Проверяется при сдаче и пришлифовка.Вряд ли брекетами будете его на место ставить Изменено 10 октября, 2020 пользователем annda Ссылка на комментарий
Марья Моревна Опубликовано 10 октября, 2020 Поделиться Опубликовано 10 октября, 2020 Мне вот тоже видится,что необходимо сделать художественное контурирование 41 зуба. Ссылка на комментарий
chervoncevdaniil Опубликовано 11 октября, 2020 Поделиться Опубликовано 11 октября, 2020 Карман функции по Коису,проверьте не цепляет ли во время динамики Ссылка на комментарий
Bruks Опубликовано 12 октября, 2020 Поделиться Опубликовано 12 октября, 2020 Карман функции по Коису,проверьте не цепляет ли во время динамикиА что такое карман функции? Можете, пожалуйста, вкратце объяснить? Ссылка на комментарий
chervoncevdaniil Опубликовано 13 октября, 2020 Поделиться Опубликовано 13 октября, 2020 Сложно объяснить вкратце,но условно обычно протрузию проверяют,прося пациента выдвинуть челюсть вперед по резцам,но человек в норме никогда такое движение не совершает.Во время жевания у пациента должна быть свободная петля жевания во фронте,то есть он не должен цеплять нижними резцами небную поверхность верхних.Проверяется это таким образом:на боковые зубы либо толстая копирка(200 микрон) либо жвачка,а на передние зубы копирка 20-40 микрон и попросить пережевать боковыми зубами.Потом достаете копирку и смотрите на небные поверхности верхних зубов-если там есть треки,то их нужно убирать,это означает что он цепляет во время жевания нижними зубами верхние 7 Ссылка на комментарий
AntonForrat Опубликовано 21 октября, 2020 Автор Поделиться Опубликовано 21 октября, 2020 Всем спасибо за советы . 2 центральных винира распилил, будем переделывать(( первый раз распиливал виниры ♂) нижний центральный пришлифовал, после сдачи проверю в динамике . Еще раз спасибо 1 Ссылка на комментарий
Олиа Опубликовано 18 декабря, 2020 Поделиться Опубликовано 18 декабря, 2020 Сложно объяснить вкратце,но условно обычно протрузию проверяют,прося пациента выдвинуть челюсть вперед по резцам,но человек в норме никогда такое движение не совершает.Во время жевания у пациента должна быть свободная петля жевания во фронте,то есть он не должен цеплять нижними резцами небную поверхность верхних.Проверяется это таким образом:на боковые зубы либо толстая копирка(200 микрон) либо жвачка,а на передние зубы копирка 20-40 микрон и попросить пережевать боковыми зубами.Потом достаете копирку и смотрите на небные поверхности верхних зубов-если там есть треки,то их нужно убирать,это означает что он цепляет во время жевания нижними зубами верхниеЭто всегда нужно так проверять? А просто 8микронной? чтобы проскальзывала не подойдёт ? Ссылка на комментарий
bakagaidzin Опубликовано 18 декабря, 2020 Поделиться Опубликовано 18 декабря, 2020 Это всегда нужно так проверять?А просто 8микронной? чтобы проскальзывала не подойдёт ?не подойдет Ссылка на комментарий
chervoncevdaniil Опубликовано 18 декабря, 2020 Поделиться Опубликовано 18 декабря, 2020 (изменено) Это всегда нужно так проверять?А просто 8микронной? чтобы проскальзывала не подойдёт ?Вы немного не понимаете суть,здесь идет проверка динамики окклюзии,а не статики при смыкании,у вас может быть в статике диззоклюзия миллиметр,а во время движения антагонист может цеплять реставрацию и создавать гиперконтакт Изменено 18 декабря, 2020 пользователем chervoncevdaniil 2 Ссылка на комментарий
Олиа Опубликовано 21 декабря, 2020 Поделиться Опубликовано 21 декабря, 2020 Вы немного не понимаете суть,здесь идет проверка динамики окклюзии,а не статики при смыкании,у вас может быть в статике диззоклюзия миллиметр,а во время движения антагонист может цеплять реставрацию и создавать гиперконтактСпасибо . Теперь понятно) надо и статику и динамику проверять Ссылка на комментарий
Рекомендуемые сообщения
Для публикации сообщений создайте учётную запись или авторизуйтесь
Вы должны быть пользователем, чтобы оставить комментарий
Создать аккаунт
Зарегистрируйте новый аккаунт в нашем сообществе. Это очень просто!
Регистрация нового пользователяВойти
Уже есть аккаунт? Войти в систему.
Войти