Перейти к содержанию
Стоматология для всех

Прошу посмотреть КТ, Киста над передним и беспокоит слева сверху после лечения. Куда бежать?


bamboch

Рекомендуемые сообщения

Добрый день!

 

Этим летом занялся лечением, пролечили всё что можно, планировал выравнивать брекетами, остались вопросы, очень хочу попросить Вас посмотреть КТ и проконсультировать.

КТ (там и свежее и более старое -2017 года)

 

https://yadi.sk/d/eHiWxO_t9q5u4w?w=1 (файл zip Новое КТ  и тамже старое КТ 17 года и фото которое скинул ортодонт после просмотра КТ )

 

Удалены три зуба мудрости кроме слева снизу, слева снизу(6?) поставили вкладку-накладку, сверху и слева и справа(6?) поставили две вкладки и временные коронки на период брекетов.

 

1.Сейчас беспокоит левая верхняя (6?) иногда ноет, при надавливании повышенная чувствительность - больше с внутренней стороны, днем как будто почесывается десна, к вееру больше ноет, но не сильно.

 

2. Давно беспокоил передний справа зуб, вы еще на консультации говорили, что нужно ставить лекарство и ходить с ним... остальные врачи проигнорировали.. .Ортодонт посмотрел КТ и сказал никаких брекетов - за зубом киста, сказала идти к терапевту.

Вернулся к терапевту - сказала да на снимке не видно. нужно удалять, что лечить это невозможно и вообще это миф, что лечиться, что очень частая проблема и чуть ли не каждый студент это сделает.....

Вскрыла зуб (канал?) убрала мертвый нерв и заложила лекарство. сказала поговорит с хирургом.  но наткнулся на нескольких форумах, что успешно лечат с микроскопом, и на передних нужно побороться..... что делать? :((  ( лекарство заложила и закрыла временной пл в прошлую среду, сказала в эту среду прийти менять лекарство)

 

3. Также беспокоит слева снизу при надавливании ( не могу четко локализовать 6?7?), но хирург сказал, что от зуба мудрости может так быть, пока морально готовлюсь к удалению. Может ли отдавать на верх( 6?) от нижнего?

 

Очень прошу Вашей консультации!!!!!

 

На форуме читал, что есть врачи (эндодонтист?) который специализируется по кистам... где найти, посоветуйте пожалуйста? ( Москва )

 

Большое Спасибо!!!

 

 

 

post-61439-0-77077900-1601886432_thumb.jpg

post-61439-0-93421400-1601886440_thumb.jpg

post-61439-0-15357200-1601886450_thumb.jpg

post-61439-0-37478400-1601886457_thumb.jpg

post-61439-0-65378700-1601886472_thumb.jpg

post-61439-0-48012500-1601886477_thumb.jpg

post-61439-0-54810800-1601886482_thumb.jpg

Ссылка на комментарий

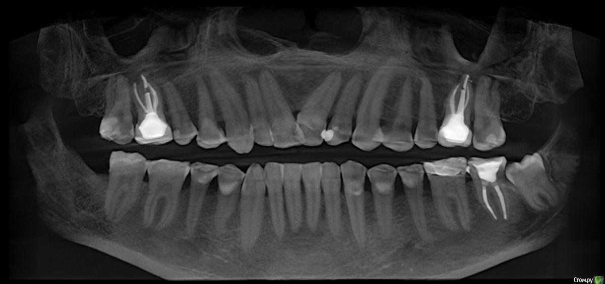
Прикладываю панораму, если я правильно ее вытянул из КТ ( кисту видно на фото во вложении в прошлом сообщении )

 

 

 

 

post-61439-0-48153200-1601963880_thumb.jpg

Изменено пользователем bamboch
Ссылка на комментарий
нужно удалять, что лечить это невозможно и вообще это миф, что лечиться

Добрый день. Удалять не нужно!  Необходимо найти доктора который сможет хорошо помыть и почистить канал где раньше был нерв и  его запломбировать постоянным материалом, дальше через 6 мес.первый рентген контроль. Если заживает, то все ок, можно брекеты. Если нет и беспокоит то рассматривается вопрос резекции верхушки корня, когда хирург чисти за пределами корня. Зуб при этом остается на месте.

Изменено пользователем St.
  • Поддерживаю 1
Ссылка на комментарий

Для публикации сообщений создайте учётную запись или авторизуйтесь

Вы должны быть пользователем, чтобы оставить комментарий

Создать аккаунт

Зарегистрируйте новый аккаунт в нашем сообществе. Это очень просто!

Регистрация нового пользователя

Войти

Уже есть аккаунт? Войти в систему.

Войти
×
×
  • Создать...
Вверх