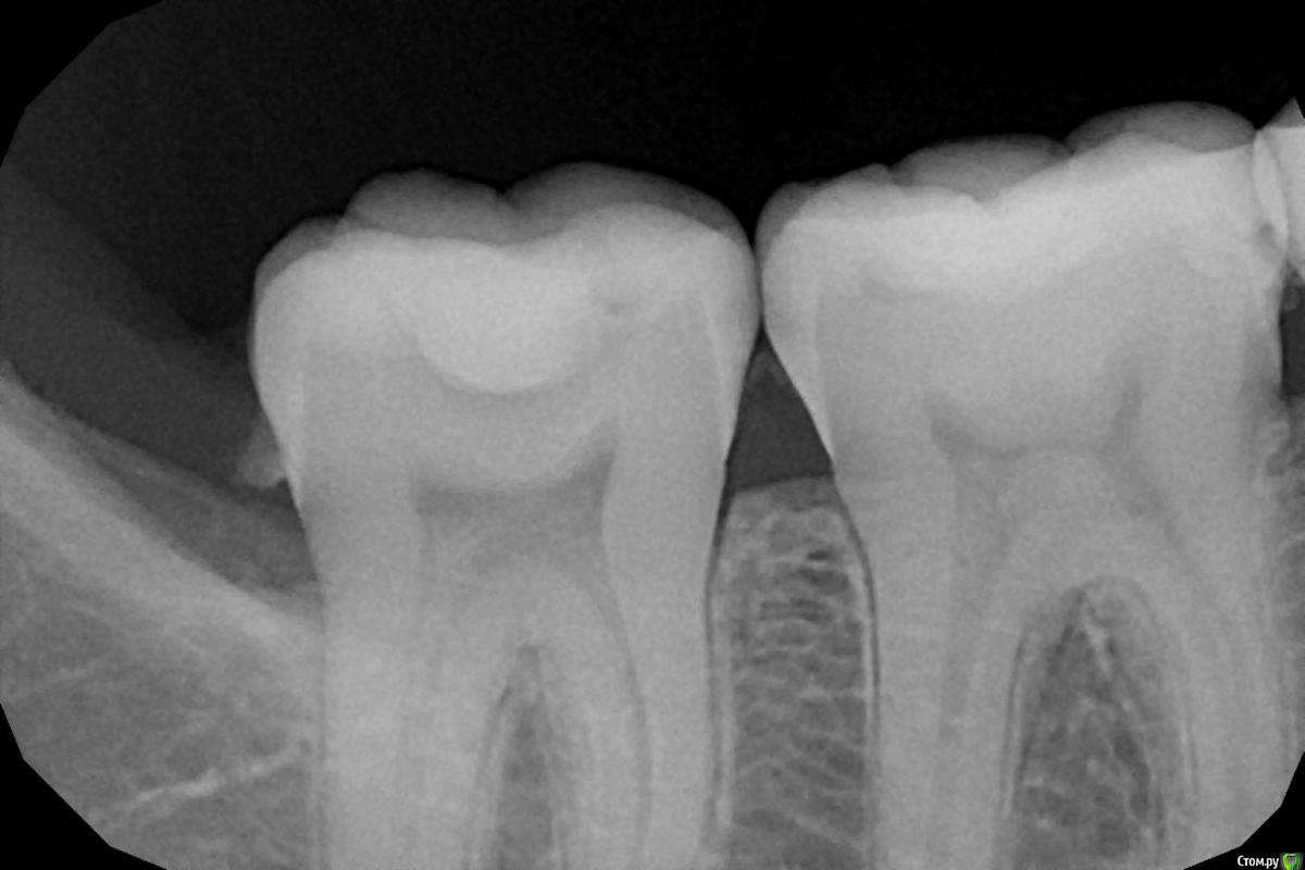
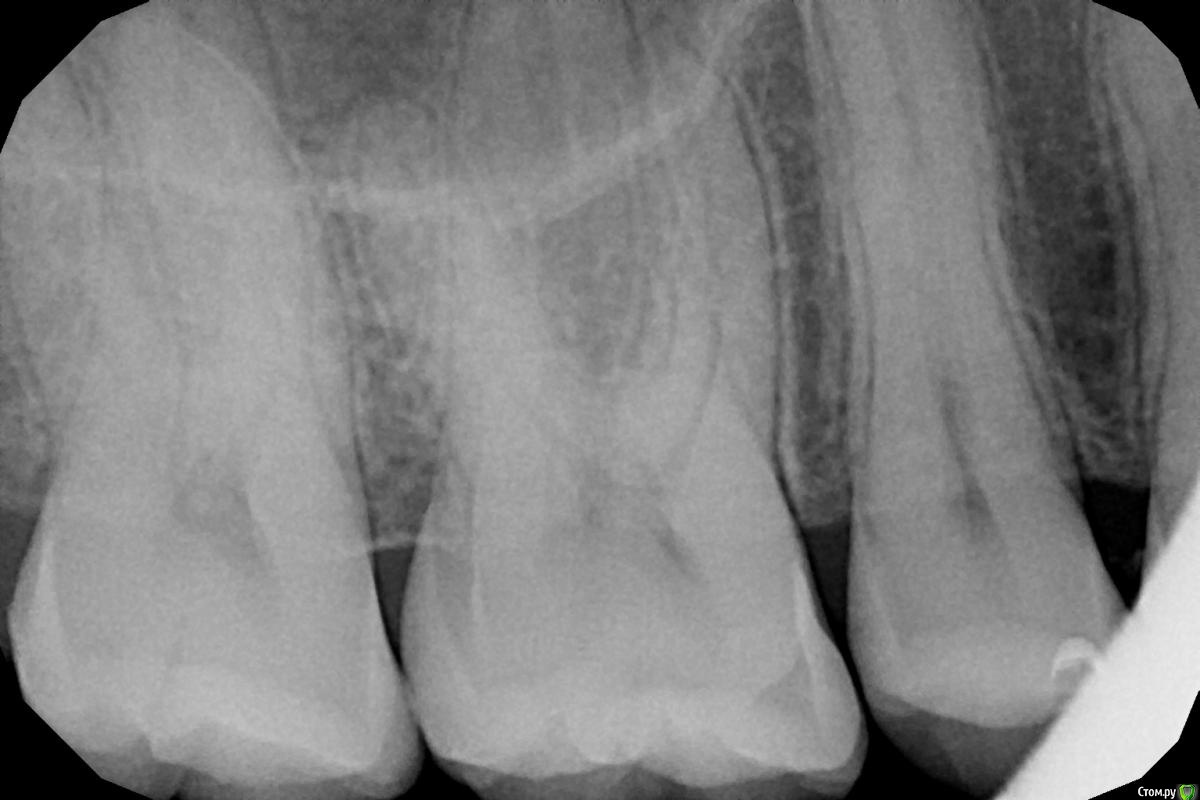
aleksandrovna_o Опубликовано 1 октября, 2020 Поделиться Опубликовано 1 октября, 2020 Здравствуйте, уважаемые врачи. Решила перестраховаться.Доктор, посмотрев на прицельные снимки, сказала, что есть кариес в двух местах. Один - его прямо срочно-срочно надо лечить, а другой - можно подождать максимум пол года. НО, у меня вообще там ничего не болит, нет реакции на горячее холодное, когда ем. Это как? такое разве бывает? посмотрите, пожалуйста, на снимки и скажите, действительно ли срочно нужно лечить.Первые два снимка - зубы 46-47. Там, если не ошибаюсь, кариес между зубами.Третий снимок — зубы 15,16,17.Буду очень признательна. Ссылка на комментарий
red_butler Опубликовано 1 октября, 2020 Поделиться Опубликовано 1 октября, 2020 Первые два снимка - зубы 46-47. Там, если не ошибаюсь, кариес между зубами. есть и кариес и камни такое разве бывает? еще как бывает 1 Ссылка на комментарий
St. Опубликовано 1 октября, 2020 Поделиться Опубликовано 1 октября, 2020 Когда уже болит и чувствуется - разрушение глубокое. Лучше полечить на более ранней стадии это лучше в прогнозе , быстрее и дешевле Ссылка на комментарий
aleksandrovna_o Опубликовано 1 октября, 2020 Автор Поделиться Опубликовано 1 октября, 2020 есть и кариес и камни еще как бывает Спасибо большое, потопаю лечить. Ссылка на комментарий
aleksandrovna_o Опубликовано 1 октября, 2020 Автор Поделиться Опубликовано 1 октября, 2020 Когда уже болит и чувствуется - разрушение глубокое. Лучше полечить на более ранней стадии это лучше в прогнозе , быстрее и дешевлеСпасибо! Ссылка на комментарий
johniola Опубликовано 2 октября, 2020 Поделиться Опубликовано 2 октября, 2020 Я удивляюсь на этих пациентов.Что значит развод???Они что на рынок лечиться ходят???? 1 1 Ссылка на комментарий
Рекомендуемые сообщения
Для публикации сообщений создайте учётную запись или авторизуйтесь
Вы должны быть пользователем, чтобы оставить комментарий
Создать аккаунт
Зарегистрируйте новый аккаунт в нашем сообществе. Это очень просто!
Регистрация нового пользователяВойти
Уже есть аккаунт? Войти в систему.
Войти