Леся181 Опубликовано 29 сентября, 2020 Поделиться Опубликовано 29 сентября, 2020 Добрый день!Хочу поменять старые пломбы на вкладки на 36-37 зубы. На консультации врач сказала, что нужно в 36 удалять нерв, так как пломба слишком большая и глубокая. Близко к нерву и есть вероятность что после установки, зуб может заболеть. Посоветуйте, стоит ли удалять нерв? Или искать другого доктора? Ссылка на комментарий
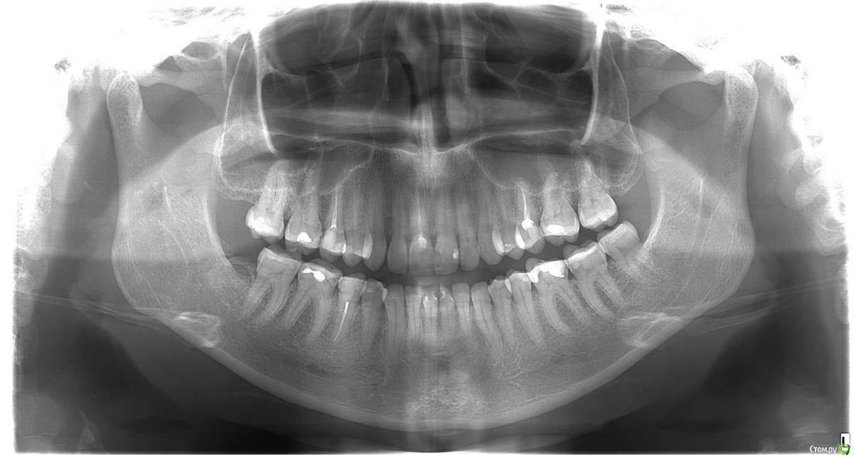
kramer Опубликовано 29 сентября, 2020 Поделиться Опубликовано 29 сентября, 2020 Удалять нерв в том случае, если есть сообщение кариозной полости с нервом (судя по снимку вероятность этого высокая) 1 Ссылка на комментарий
АнтонТЛТ Опубликовано 29 сентября, 2020 Поделиться Опубликовано 29 сентября, 2020 На 37 зубе тоже глубокая кариозная полость под пломбой. Ссылка на комментарий
Леся181 Опубликовано 29 сентября, 2020 Автор Поделиться Опубликовано 29 сентября, 2020 Спасибо! Значит буду делать все как доктор прописал. Ссылка на комментарий
Марья Моревна Опубликовано 30 сентября, 2020 Поделиться Опубликовано 30 сентября, 2020 Если все депульпировать, есть смысл тогда уже подумать о коронках. Ссылка на комментарий
Рекомендуемые сообщения
Для публикации сообщений создайте учётную запись или авторизуйтесь
Вы должны быть пользователем, чтобы оставить комментарий
Создать аккаунт
Зарегистрируйте новый аккаунт в нашем сообществе. Это очень просто!
Регистрация нового пользователяВойти
Уже есть аккаунт? Войти в систему.
Войти