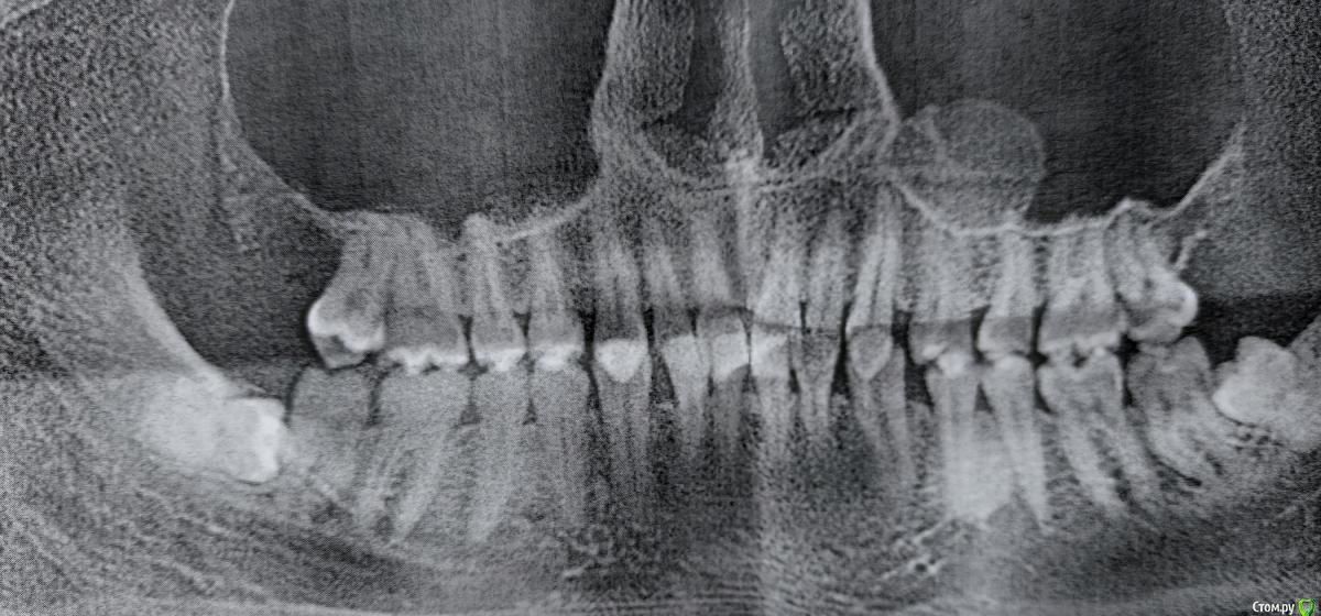
notarius Опубликовано 20 сентября, 2020 Поделиться Опубликовано 20 сентября, 2020 Здравствуйтевчера сделал КТ челюстиобнаружил лежачий зуб мудрости (сильно давит на семерку и болит тройничный нерв) предложили под общий наркоз резать костную ткань и удалять зуб мудрости или удалить семерку, в дальнейшем через время и зуб мудрости или съездить на консультацию и возможно удалить пьезо-ножом (ультразвук) ребята, пожалуйста, кто сталкивался, подскажите Ссылка на комментарий
АнтонТЛТ Опубликовано 20 сентября, 2020 Поделиться Опубликовано 20 сентября, 2020 Здравствуйте! На мой взгляд нужно просто удалить зуб мудрости. Показаний для удаления 7-ки, использования наркоза и пьезо-ножа нет. 5 1 Ссылка на комментарий
red_butler Опубликовано 20 сентября, 2020 Поделиться Опубликовано 20 сентября, 2020 Здравствуйте! На мой взгляд нужно просто удалить зуб мудрости. Показаний для удаления 7-ки, использования наркоза и пьезо-ножа нет.+1 2 1 Ссылка на комментарий
red_butler Опубликовано 20 сентября, 2020 Поделиться Опубликовано 20 сентября, 2020 или удалить семерку, в дальнейшем через время и зуб мудрости жесть 3 Ссылка на комментарий
red_butler Опубликовано 20 сентября, 2020 Поделиться Опубликовано 20 сентября, 2020 ребята, пожалуйста, кто сталкивался, подскажите ищите хирурга для которого это рутина 3 1 Ссылка на комментарий
red_butler Опубликовано 20 сентября, 2020 Поделиться Опубликовано 20 сентября, 2020 дизлайки, странный способ поиска помощи... Тему можно закрывать? 1 1 Ссылка на комментарий
notarius Опубликовано 21 сентября, 2020 Автор Поделиться Опубликовано 21 сентября, 2020 дизлайки, странный способ поиска помощи... Тему можно закрывать? а какую помощь предложил конкретно ты? 4 Ссылка на комментарий
red_butler Опубликовано 22 сентября, 2020 Поделиться Опубликовано 22 сентября, 2020 а какую помощь предложил конкретно ты? Мы на Ты? ищите хирурга для которого это рутина Думаю продолжать смысла нет... Всего хорошего Ссылка на комментарий
Рекомендуемые сообщения