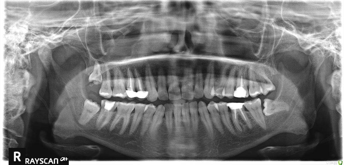
DariaL Опубликовано 14 сентября, 2020 Поделиться Опубликовано 14 сентября, 2020 (изменено) Добрый день! Подскажите, пожалуйста, обязательно ли удалять в моем случае зубы мудрости? Снимок прилагаю. Они не беспокоят.Планирую установить брекеты, так как повышена стираемость зубов из-за немного неправильного прикуса. Перед установкой брекетов всегда ли обязательно удаление зубов мудрости? А в моем случае?Врач сказал, что зуб мудрости на левой стороне (горизонтальный) пролегает рядом с нервом и есть вероятность его зацепить и навсегда остаться с онемевшей левой стороной лица. Это верно? Поможет ли ультразвуковое удаление избежать таких ужасных последствий? Изменено 14 сентября, 2020 пользователем DariaL Ссылка на комментарий
Irouil Опубликовано 14 сентября, 2020 Поделиться Опубликовано 14 сентября, 2020 Удалять надо даже если брекеты не планируются Риски повредить стенки нижнечелюстного канала (и находящийся в нем сосудисто-нервный пучок, соответственно) минимальны, но подробнее это понять можно по 3-х мерному снимку (компьютерная томография) В Вашем конкретном случае использование ультразвукового скальпеля практически никак на эти риски не повлияет 2 Ссылка на комментарий
DariaL Опубликовано 14 сентября, 2020 Автор Поделиться Опубликовано 14 сентября, 2020 Удалять надо даже если брекеты не планируются Риски повредить стенки нижнечелюстного канала (и находящийся в нем сосудисто-нервный пучок, соответственно) минимальны, но подробнее это понять можно по 3-х мерному снимку (компьютерная томография) В Вашем конкретном случае использование ультразвукового скальпеля практически никак на эти риски не повлияетСпасибо огромное!! Я правильно понимаю, что удалять нужно все 4 зуба мудрости? Действительно ли удаление ультразвуковым скальпелем намного менее травматично? Очень интересно узнать почему стоимость удаления ультразвуком настолько разная: от 13 до 45 тыс. рублей (Москва). Ссылка на комментарий
Женька Опубликовано 14 сентября, 2020 Поделиться Опубликовано 14 сентября, 2020 Спасибо огромное!! Я правильно понимаю, что удалять нужно все 4 зуба мудрости? Действительно ли удаление ультразвуковым скальпелем намного менее травматично? Очень интересно узнать почему стоимость удаления ультразвуком настолько разная: от 13 до 45 тыс. рублей (Москва). Ультразвук не травмирует мягкие ткани (десна, нервы, сосуды) даже при непосредственном контакте (ну если только намеренно острой насадкой не хотеть разодрать). Вращающиеся инструменты таким похвастаться не могут. Но за счёт уменьшенного времени работы (ультразвуком долго) многие выбирают именно традиционные методы, и ультразвук применяют, только когда есть действительно большой шанс травмирования окружающих анатомических структур. На счёт "навсегда онемешвая сторона"... чтобы навсегда надо полностью перерезать пучок, а если зацепить, как выразился ваш стоматолог, то возможны такие явления, которые спустя ~ 6 месяцев сходят на нет. Ссылка на комментарий
Марья Моревна Опубликовано 14 сентября, 2020 Поделиться Опубликовано 14 сентября, 2020 В Вашем случае удалять надо.Сделайте КЛКТ. Скорее всего, всё не так страшно.Там для извлечения зуба так глубоко лезть и не нужно. А доктор, который Вас напугал, не имеет специзации по хирургии. 1 Ссылка на комментарий
Irouil Опубликовано 14 сентября, 2020 Поделиться Опубликовано 14 сентября, 2020 Я правильно понимаю, что удалять нужно все 4 зуба мудрости? ДаДействительно ли удаление ультразвуковым скальпелем намного менее травматично? Когда нужно проводить обширную остеотомию (пилить кость) - да, но это не Ваш случайОчень интересно узнать почему стоимость удаления ультразвуком настолько разная: от 13 до 45 тыс. рублей (Москва). Мы не обсуждаем здесь вопросы стоимости лечения 3 Ссылка на комментарий
Bier Опубликовано 15 сентября, 2020 Поделиться Опубликовано 15 сентября, 2020 удалять нужно, в ультразвуке большого смысла нет Ссылка на комментарий
Рекомендуемые сообщения
Для публикации сообщений создайте учётную запись или авторизуйтесь
Вы должны быть пользователем, чтобы оставить комментарий
Создать аккаунт
Зарегистрируйте новый аккаунт в нашем сообществе. Это очень просто!
Регистрация нового пользователяВойти
Уже есть аккаунт? Войти в систему.
Войти