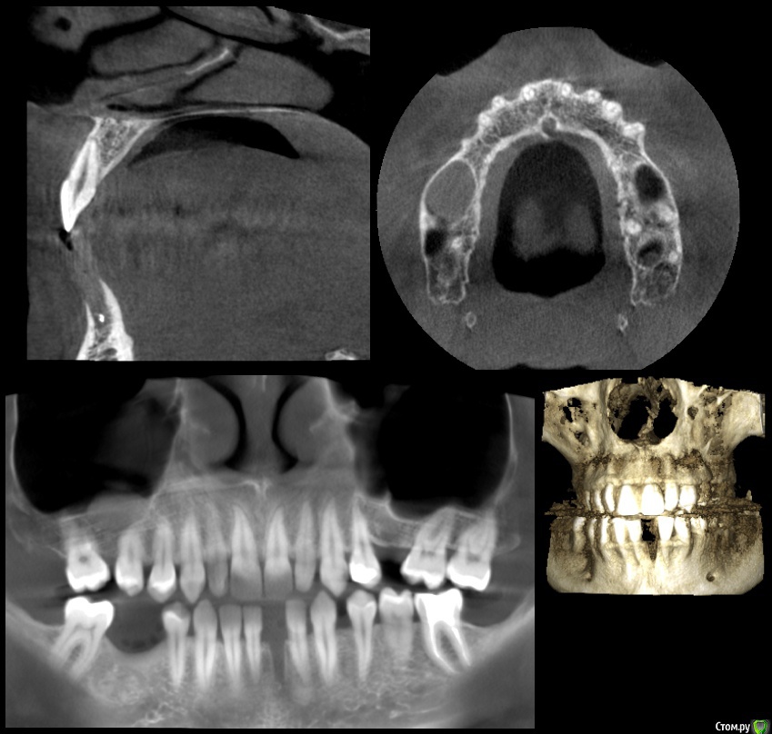
nemorr Опубликовано 14 сентября, 2020 Поделиться Опубликовано 14 сентября, 2020 Кт зубовhttps://yadi.sk/d/6aZXi03bqS5B5Q Здравствуйте.Хотел обратиться по поводу проблем с зубами. Пред история.Началась проблема с 31 зуба в марте этого месяца.Был пульпит, пролечили. Но спустя 2 недели он заболел вновь. На снимках выглядел хорошо, я долго терпел он не прошел, приняли решение очистить, канал был один. Заложили уже йодекс на подольше. Зуб в итоге прошел через 1.5 месяца должен был его долечить, но ковид испротил все планы. Провалялся в больнице, месяц потом ещё месяц болел дома. В августе зуб опять заныл, поменял лекарство на кальсепт стало ещё больнее, на 3d виден выход кальсепта за верхушку корня, не большое потемнение под корнем, возможно гранулёма (в марте не было) Тактик лечения было несколько. 1)Так как есть проблемы с прикусом и суставом. 2) После каждого лечения 31 зуб сдвигался немного и мешал жевать (его потом чуть чуть подпиливали)Было предположение что я настукиваю прикусом зуб и он из-за этого не проходит. В очередной раз почти вывели его из прикуса, нажимать я на него перестал, но боль не прошла. В итоге его открыли так как при попытки сменить лекарство ещё раз при чистом канале эскудат выступил видимо из под корня зуба. Решили оставить открытым полоскать. Боль после этого реально прошла! Неделю я радовался как ребенок и собирался уже идти закрывать зуб обратно. Но уехал за город там видимо подмерз зуб разболелся с новой силой, я плюнул на всё и его удалил. Под зубом была не большая гранулёма. Через 3-5 дней боль снизу ушла.Это всё была пред история. Через неделю у меня заболел 21 зуб. Он у меня живой не депульпированный кариеса на нем нет!. Единственное что связывает его с 31 зубом это прикус.Боль потихоньку начала нарастать. Характер боли: Сам зуб при надавливании ощущается дискомфорт, как будто что мешает. Но после того как его по шевелишь боль усиливается и сильно воспаляется боль распространяется на соседние зубы. Боль не стреляющая но может быть не только вопалительной но и жгучей. Голова конечно от этого болит. Если зуб не тревожить то боль уменьшается.Делали ЭОД 2 раза 8 и 6 мкА показало. Ссылка на комментарий
wladdX Опубликовано 16 сентября, 2020 Поделиться Опубликовано 16 сентября, 2020 Ссылка на комментарий
nemorr Опубликовано 17 сентября, 2020 Автор Поделиться Опубликовано 17 сентября, 2020 А что нибудь пояснить?Лекарство в лунке 31 у меня какое-то временное. Или каласепт или йодекс. Врачи говорят что само в растворится.По поводу кисты/полипа в правой пазухе. У меня хронический насморк давно. Чуть меньше года назад была в левой большая, а в правой минимум. ЛОР хирург сказал что если нормально дышишь лучше не удалять, а применять терапевтическое лечение. Что я и делал, тафен назаль. Сейчас вот картина обратная выросла справа, а слева уменьшилась. Но болит именно 21 зуб который сверху слева. Боли уже напоминают невралгию. Невролог прописал фенлипсин пью. Но невролог сказал зуб всё равно депульпировать. Понажимал на лицо сказал на истинную невралгию не похоже, пишет невралгия из-за зуба.Но стоматологи не видят проблемы в 21 зубе не какой. Ссылка на комментарий
Рекомендуемые сообщения
Для публикации сообщений создайте учётную запись или авторизуйтесь
Вы должны быть пользователем, чтобы оставить комментарий
Создать аккаунт
Зарегистрируйте новый аккаунт в нашем сообществе. Это очень просто!
Регистрация нового пользователяВойти
Уже есть аккаунт? Войти в систему.
Войти