Перейти к содержанию
Стоматология для всех

Полное протезирование или частичное? (Стираемость)


Slad

Рекомендуемые сообщения

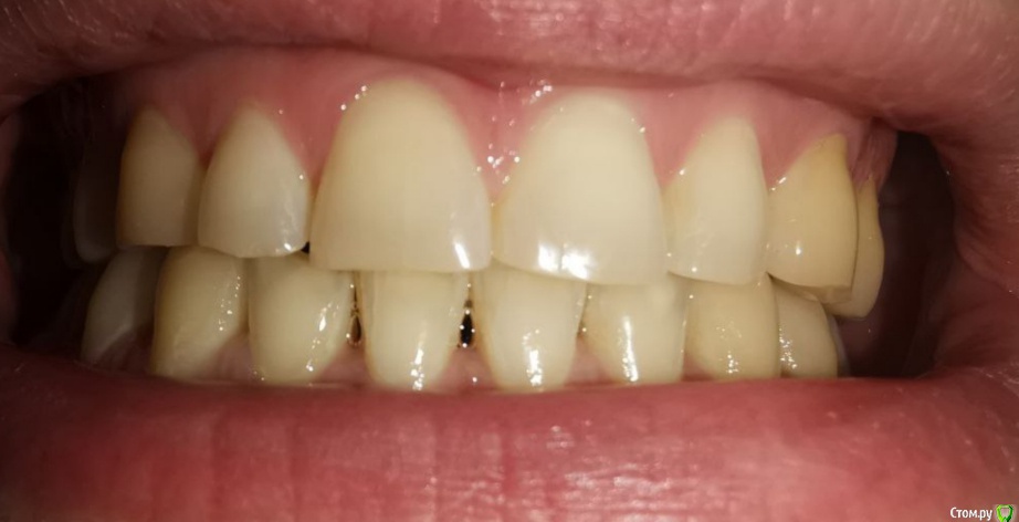
Здраствуйте, уважаемые специалисты!

 

Мне 30 лет, лет 5 назад стоматолог-терапевт заметил излишнюю стираемость, была долгая эпопея с ортодонтическим лечением и вот наконец в прошлом месяце сняли брекеты и теперь настало время ортопедического. 

 

Врач, который работает в паре с ортодонтом настаивает на полном протезировании (спереди виниры emax, сзади накладки так же из керамики). Со слов врача после диагностики сустава стало понятно, что чем выше поднимем прикус тем лучше, так должен уйти бруксизм, который сейчас присутствует. 

 

Альтернативное мнение, которые я получил, что можно сделать накладки только на 5/6/7 со всех сторон, восстановить клыки композитом для "клыкового ведения" и пока все - полное протезирование всегда успеется. Может быть немного пожертвовав высотой прикуса.

По мнению первого врача, если делать только жевательные зубы выводя на нужную высоту прикуса, то передние зубы не сомкнутся и это нехорошо.

 

Эстетических хотелок у меня нет - только функциональные. Понимаю, что сделав полное протезирование с этой "иглы" уже не слезть и раз в какое-то времени придется рот целиком обновлять (в связи с возрастными изменениями).

 

Как лучше поступить на ваш взгляд?

Заранее спасибо!

 

п.с. На некоторых зубых есть временные накладки, которые делали на время отродонтического лечения.

post-61282-0-35335400-1599833105_thumb.jpg

post-61282-0-45682600-1599833403_thumb.jpg

post-61282-0-00840500-1599833410_thumb.jpg

post-61282-0-29911400-1599833416_thumb.jpg

Изменено пользователем Slad
Ссылка на комментарий

Для публикации сообщений создайте учётную запись или авторизуйтесь

Вы должны быть пользователем, чтобы оставить комментарий

Создать аккаунт

Зарегистрируйте новый аккаунт в нашем сообществе. Это очень просто!

Регистрация нового пользователя

Войти

Уже есть аккаунт? Войти в систему.

Войти
×
×
  • Создать...
Вверх