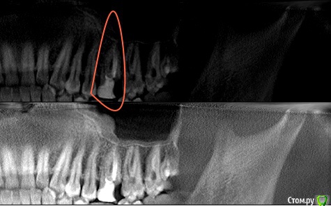
cicamox Опубликовано 29 августа, 2020 Поделиться Опубликовано 29 августа, 2020 Подскажите, возможно ли лечение, выделенного зубa? Ссылка на комментарий
АнтонТЛТ Опубликовано 29 августа, 2020 Поделиться Опубликовано 29 августа, 2020 Пограничная ситуация, можно определить только при очном осмотре. Ссылка на комментарий
Рекомендуемые сообщения
Для публикации сообщений создайте учётную запись или авторизуйтесь
Вы должны быть пользователем, чтобы оставить комментарий
Создать аккаунт
Зарегистрируйте новый аккаунт в нашем сообществе. Это очень просто!
Регистрация нового пользователяВойти
Уже есть аккаунт? Войти в систему.
Войти