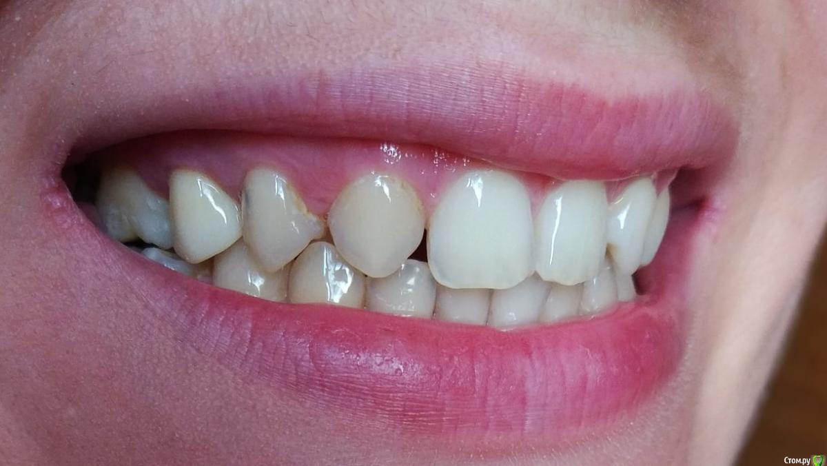
Яна88 Опубликовано 29 августа, 2020 Поделиться Опубликовано 29 августа, 2020 (изменено) Товарищи, интересно Ваше мнение- как сильно отличаются коронки от своих зубов по цвету?Врач говорит, что идеальное попадание в цветДома все в один голос, что у коронок совершенно другой цветПервый раз коронки сделали цвета двух передних зубов, получились белые, а мои зубы казались желтымиТеперь же мои зубы кажутся серо- землянистыми, а коронки белые с желтымФото сделаны солнечным днём, при искусственном освещении разница видна сильней, мои зубы с голубизной, прозрачные, а коронки густого бело-молочного цвета и с очень жёлтой пришеечной частью6,7 тоже слишком белые, а аргумент врача "их никто не увидит", мне кажется, совсем не аргумент Изменено 29 августа, 2020 пользователем Яна88 Ссылка на комментарий
St. Опубликовано 29 августа, 2020 Поделиться Опубликовано 29 августа, 2020 Да, ярковато.. Низ действительно не так заметно как верх.Метало-керамика и верх и низ? И на что сейчас зафиксированы? Ссылка на комментарий
Яна88 Опубликовано 29 августа, 2020 Автор Поделиться Опубликовано 29 августа, 2020 Да, ярковато.. Низ действительно не так заметно как верх.Метало-керамика и верх и низ? И на что сейчас зафиксированы?Сейчас временный "цемент", но 2 слетели сразу, одну впихнула сама на корешу, а вторую на временную пломбу, на кореге вторая не держится, на вкладке можно вокруг оси прокрутитьВерхние 5 циркониевые, верхняя 6 и низ мк Ссылка на комментарий
chervoncevdaniil Опубликовано 29 августа, 2020 Поделиться Опубликовано 29 августа, 2020 Коронки носить вам и должно нравится вам.Если вы считаете,что цвет нужно подкорректировать,то до постоянной фиксации в вправе попросить об этом доктора.Сложно судить по фото,но конечно,идеальным попаданием в цвет это не назвать,но может быть в реальной жизни смотрится гармоничнее 1 Ссылка на комментарий
Яна88 Опубликовано 29 августа, 2020 Автор Поделиться Опубликовано 29 августа, 2020 Коронки носить вам и должно нравится вам.Если вы считаете,что цвет нужно подкорректировать,то до постоянной фиксации в вправе попросить об этом доктора.Сложно судить по фото,но конечно,идеальным попаданием в цвет это не назвать,но может быть в реальной жизни смотрится гармоничнееКак раз таки на фото смотрится значительно лучше, чем в реальности...А сколько раз можно переделывать? Или это не влияет на качество? Ссылка на комментарий
Дмитрий Л. Опубликовано 29 августа, 2020 Поделиться Опубликовано 29 августа, 2020 У вас в линии улыбки свои собственные зубы разного цвета. Гармония достигнется при одновременном протезеровании всех передних зубов. Н.п. виниры. Другие варианты компромиссны. Ссылка на комментарий
Яна88 Опубликовано 29 августа, 2020 Автор Поделиться Опубликовано 29 августа, 2020 У вас в линии улыбки свои собственные зубы разного цвета. Гармония достигнется при одновременном протезеровании всех передних зубов. Н.п. виниры. Другие варианты компромиссны.Да, как оказалось, первые 2 зуба белее остальных, но это не было заметно до коронокМожно же подобрать цвет под остальные зубы? Чтобы не было ощущения, что свои зубы земляныеИли это нереально? Ссылка на комментарий
АнтонТЛТ Опубликовано 29 августа, 2020 Поделиться Опубликовано 29 августа, 2020 Подобрать цвет можно, вот несколько СТАНДАРТНЫХ шкал оттенков. Есть также индивидуализация (смешивание разных оттенков). Ссылка на комментарий
Яна88 Опубликовано 29 августа, 2020 Автор Поделиться Опубликовано 29 августа, 2020 Подобрать цвет можно, вот несколько СТАНДАРТНЫХ шкал оттенков. Есть также индивидуализация (смешивание разных оттенков).Странно... Мне прикладывали только одну палитру и там ни один цвет не подходит Ссылка на комментарий
АнтонТЛТ Опубликовано 29 августа, 2020 Поделиться Опубликовано 29 августа, 2020 Странно... Мне прикладывали только одну палитру и там ни один цвет не подходитВозможно была индивидуализация цвета. Когда цвет зуба не совпадает ни с одним из цветов палитры, то доктор составляет его из нескольких цветов. И для такого подбора может понадобится несколько попыток. У разных материалов оттенки могут немного отличаться (какие-то желтят, другие серят). Также цемент, на который фиксируется коронка может изменять ее цвет в ту или иную сторону. Плюс у каждого человека своё восприятие цвета и оттенков. Поэтому процесс подбора цвета может затянуться. Не стесняйтесь говорить врачу что Вас не устраивает. Так ему будет проще ориентироваться в подборе цвета и Вы получите желаемый результат. Ссылка на комментарий
Яна88 Опубликовано 30 августа, 2020 Автор Поделиться Опубликовано 30 августа, 2020 Возможно была индивидуализация цвета. Когда цвет зуба не совпадает ни с одним из цветов палитры, то доктор составляет его из нескольких цветов. И для такого подбора может понадобится несколько попыток. У разных материалов оттенки могут немного отличаться (какие-то желтят, другие серят). Также цемент, на который фиксируется коронка может изменять ее цвет в ту или иную сторону. Плюс у каждого человека своё восприятие цвета и оттенков. Поэтому процесс подбора цвета может затянуться. Не стесняйтесь говорить врачу что Вас не устраивает. Так ему будет проще ориентироваться в подборе цвета и Вы получите желаемый результат.В том и дело, что врач подбирает конкретный цвет, как я понялаТ.е. прикладывает образцы, говорит номер типо а1На примерке цвет мне не понравился, тогда врач сказал, сделаем а2, хотя врачу хотелось приклеить а1На второй примерке я опять очень сомневалась в цвете, но и врач и медсестра говорили, что попадание идеальноеА клей может изменить цвет металлокерамической коронки? Или Вы именно про циркониевые? Ссылка на комментарий
chervoncevdaniil Опубликовано 30 августа, 2020 Поделиться Опубликовано 30 августа, 2020 (изменено) В том и дело, что врач подбирает конкретный цвет, как я понялаТ.е. прикладывает образцы, говорит номер типо а1На примерке цвет мне не понравился, тогда врач сказал, сделаем а2, хотя врачу хотелось приклеить а1На второй примерке я опять очень сомневалась в цвете, но и врач и медсестра говорили, что попадание идеальноеА клей может изменить цвет металлокерамической коронки? Или Вы именно про циркониевые?А1 А2 и т.д. это просто стандартная шкала цветов,в ряде случаев цвет зубов у пациента не попадает в цвет этой стандартной шкалы и в случае,если зубы передние и непопадание значительное,то решить это можно с помощью фотопротокола(врач делает фото зубов с расцветкой для лаборатории),либо личное присутсвие техника.Но,положа руку на сердце,если вдруг у вас клиника эконом сегмента ,то навряд ли вы сможете получить результат неотличимый от ваших зубов,потому что у клиники эконом сегмента и зубные техники соответсвующие Изменено 30 августа, 2020 пользователем chervoncevdaniil 5 Ссылка на комментарий
Яна88 Опубликовано 31 августа, 2020 Автор Поделиться Опубликовано 31 августа, 2020 А1 А2 и т.д. это просто стандартная шкала цветов,в ряде случаев цвет зубов у пациента не попадает в цвет этой стандартной шкалы и в случае,если зубы передние и непопадание значительное,то решить это можно с помощью фотопротокола(врач делает фото зубов с расцветкой для лаборатории),либо личное присутсвие техника.Но,положа руку на сердце,если вдруг у вас клиника эконом сегмента ,то навряд ли вы сможете получить результат неотличимый от ваших зубов,потому что у клиники эконом сегмента и зубные техники соответсвующиеДа нет, совсем не эконом... Ссылка на комментарий
chervoncevdaniil Опубликовано 31 августа, 2020 Поделиться Опубликовано 31 августа, 2020 (изменено) Да нет, совсем не эконом...В клиниках не эконом сегмента,цвет для зубного техника отправляется по внутриротовому фото зубов с расцветкой,если лаборатория не в клинике и техник не может подойти и посмотреть сам,иначе это просто лоттерея,насколько белее,желтее технику ваши коронки корректировать,это нереально понять со слов доктора,только увидеть Изменено 31 августа, 2020 пользователем chervoncevdaniil Ссылка на комментарий
dentikl Опубликовано 1 сентября, 2020 Поделиться Опубликовано 1 сентября, 2020 Да нет, совсем не эконом...Это металлокерамика?Если да-что бы не подобрал врач они будут опаковей и белее своих.При завышенных эстетических ожиданиях заказывайте цельнокерамическую конструкцию.Если это цельнокерамика-ваши сомнения вполне обоснованы. 2 Ссылка на комментарий
Pavel-Pskov Опубликовано 1 сентября, 2020 Поделиться Опубликовано 1 сентября, 2020 +++ обычная металлокерамика никогда не будет один в один со своим зубом. скорее всего доктор ориентировался по центральным, самым светлым зубам. 1 Ссылка на комментарий
Яна88 Опубликовано 1 сентября, 2020 Автор Поделиться Опубликовано 1 сентября, 2020 Это металлокерамика?Если да-что бы не подобрал врач они будут опаковей и белее своих.При завышенных эстетических ожиданиях заказывайте цельнокерамическую конструкцию.Если это цельнокерамика-ваши сомнения вполне обоснованы.5ки циркониевые, очень плотный цвет, а вот 6ка металлокерамика и бугорки там сделаны отлично- полупрозрачные, как мои зубы +++ обычная металлокерамика никогда не будет один в один со своим зубом. скорее всего доктор ориентировался по центральным, самым светлым зубам.Доктор почему-то первый раз ориентировался на центральные зубы, хотя мне это совсем непонятно, учитывая, что я сразу просила сделать цвета соседних зубов, а не белые В клиниках не эконом сегмента,цвет для зубного техника отправляется по внутриротовому фото зубов с расцветкой,если лаборатория не в клинике и техник не может подойти и посмотреть сам,иначе это просто лоттерея,насколько белее,желтее технику ваши коронки корректировать,это нереально понять со слов доктора,только увидетьТеперь техник сам смотрел, ждёмс Ссылка на комментарий
chervoncevdaniil Опубликовано 1 сентября, 2020 Поделиться Опубликовано 1 сентября, 2020 Теперь техник сам смотрел, ждёмс Должно помочь Ссылка на комментарий
Рекомендуемые сообщения
Для публикации сообщений создайте учётную запись или авторизуйтесь
Вы должны быть пользователем, чтобы оставить комментарий
Создать аккаунт
Зарегистрируйте новый аккаунт в нашем сообществе. Это очень просто!
Регистрация нового пользователяВойти
Уже есть аккаунт? Войти в систему.
Войти