Kostoprav Опубликовано 28 августа, 2020 Поделиться Опубликовано 28 августа, 2020 остеоматрикс+ ауто, укрыто все лоскутом сверху без дополнительных мембран.сделал много таких работ на н\ч и на в\ч- результаты пока очень радуют. 8 Ссылка на комментарий
Bier Опубликовано 28 августа, 2020 Поделиться Опубликовано 28 августа, 2020 попробуй GTO 1 Ссылка на комментарий
shy Опубликовано 28 августа, 2020 Поделиться Опубликовано 28 августа, 2020 взял на пробу похожу мембрану , с крупными отверстиями , не понравилось то что слизистая уж слишком проростает в графт , по сравнению с мелкой перфой. Ссылка на комментарий
Kostoprav Опубликовано 28 августа, 2020 Автор Поделиться Опубликовано 28 августа, 2020 попробуй GTO В чем его +? Ссылка на комментарий
АнтонТЛТ Опубликовано 28 августа, 2020 Поделиться Опубликовано 28 августа, 2020 Чем меньше дырки в сетке, тем проще убирать) 4 Ссылка на комментарий
Александр07 Опубликовано 30 августа, 2020 Поделиться Опубликовано 30 августа, 2020 попробуй GTOЗагуглил, не находит, кто производит ? Ссылка на комментарий
Александр07 Опубликовано 30 августа, 2020 Поделиться Опубликовано 30 августа, 2020 остеоматрикс+ ауто, укрыто все лоскутом сверху без дополнительных мембран.сделал много таких работ на н\ч и на в\ч- результаты пока очень радуют.Похоже на Смарт Билл, но не он, просто заглушкой фиксирована или переходник есть ? Ссылка на комментарий
Женька Опубликовано 1 сентября, 2020 Поделиться Опубликовано 1 сентября, 2020 Загуглил, не находит, кто производит ?OsteoBiolКортикально-губчатые увлажненные гранулы Материал животного происхождения (свиной или конский)Не требует увлажненияСмесь гранул размеров 0.6 – 1.0 мм Ссылка на комментарий
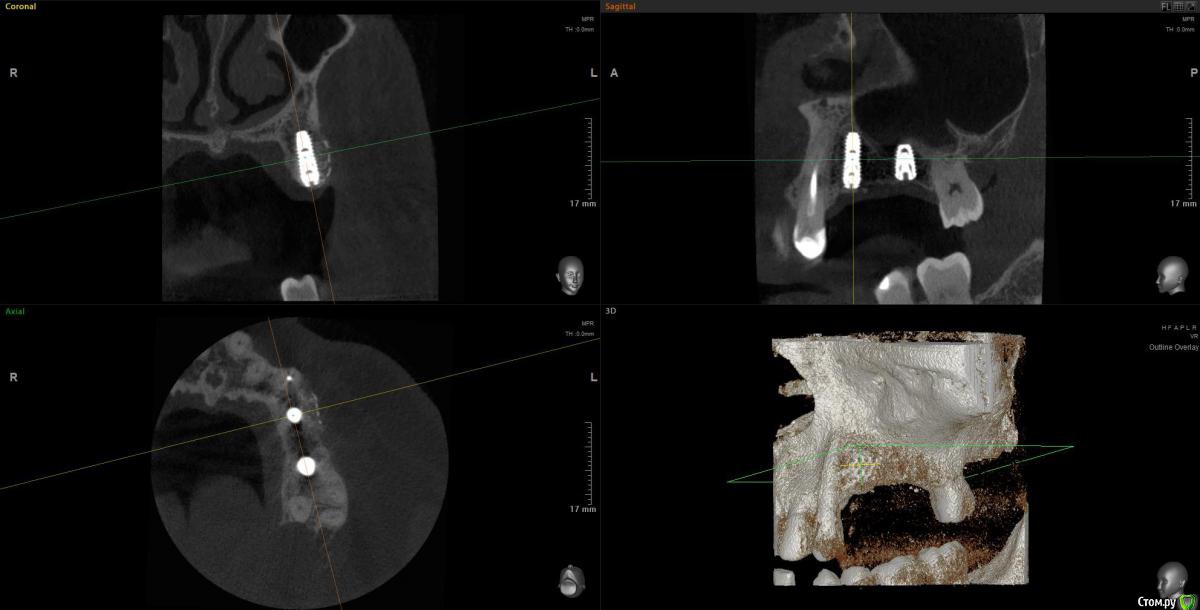
Snow Doc Опубликовано 1 сентября, 2020 Поделиться Опубликовано 1 сентября, 2020 Кажется взяли кусок титановой сетки и прикрутили заглушкой к болту. А мы тут про сиартбилдеры, спейсеры... И так работает у кого-то) Ссылка на комментарий
АнтонТЛТ Опубликовано 1 сентября, 2020 Поделиться Опубликовано 1 сентября, 2020 Кажется взяли кусок титановой сетки и прикрутили заглушкой к болту. А мы тут про сиартбилдеры, спейсеры... И так работает у кого-то)А что спейсер на кт уже не видно?)) Ссылка на комментарий
Марья Моревна Опубликовано 1 сентября, 2020 Поделиться Опубликовано 1 сентября, 2020 А что спейсер на кт уже не видно?)) Я вижу и на фото.Антон, а Ваша клиника случайно не "Леонардо да Винчи" называется? )) Ссылка на комментарий
АнтонТЛТ Опубликовано 1 сентября, 2020 Поделиться Опубликовано 1 сентября, 2020 Я вижу и на фото.Антон, а Ваша клиника случайно не "Леонардо да Винчи" называется? ))Иначе)) Ссылка на комментарий
Женька Опубликовано 2 сентября, 2020 Поделиться Опубликовано 2 сентября, 2020 Кажется взяли кусок титановой сетки и прикрутили заглушкой к болту. При таком варианте не получится же винт утопить на 1-1.5мм? Ссылка на комментарий
Snow Doc Опубликовано 4 сентября, 2020 Поделиться Опубликовано 4 сентября, 2020 А что спейсер на кт уже не видно?))Сейчас видно. А тогда было поздно вечером и не видно Ссылка на комментарий
Рекомендуемые сообщения
Для публикации сообщений создайте учётную запись или авторизуйтесь
Вы должны быть пользователем, чтобы оставить комментарий
Создать аккаунт
Зарегистрируйте новый аккаунт в нашем сообществе. Это очень просто!
Регистрация нового пользователяВойти
Уже есть аккаунт? Войти в систему.
Войти