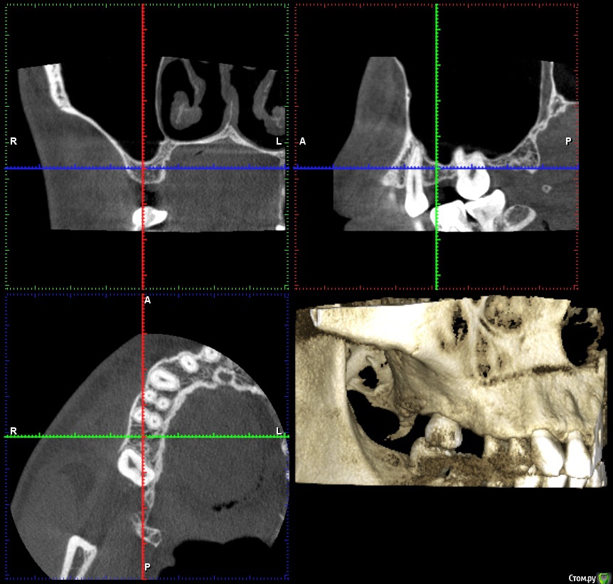
fallnighter Опубликовано 27 августа, 2020 Поделиться Опубликовано 27 августа, 2020 Здравствуйте, уважаемые врачи и иные пользователи форума! Очень прошу вас изучить мой случай и ответить на интересующие вопросы. 01.08.2020 была операция, установлен имплантат AnyRidge на место 6-го зуба сверху, плюс закрытый синус-лифтинг (было только 7 мм. кости), плюс сразу же установка формирователя десны. Неделя после была ужасной, т.к. очень сильно ныли соседний 5 и 4 зуб, сидел на обезболивающих, но в итоге всё благополучно стихло. Для спокойствия также делали прицельный снимок через несколько дней после операции, чтобы убедиться что с этими ноющими зубами всё в порядке (убедились).Прошел почти месяц, болей и дискомфорта нет, разве что волнует меня формирователь десны. Он как будто "вылез" частично, т.е. ранее десна была ниже, даже через неделю после операции, когда от отека уже не осталось и следа, а сейчас поднялась. Прикладываю КТ сегмента до операции и сразу же после. Прицельного снимка, к сожалению, нет (остался в электронном виде в клинике). Также прикладываю фото того, как сейчас выглядит формирователь. Подскажите, пожалуйста, нормально ли он сейчас стоит, есть ли повод для беспокойства? Забивается пища рядом с ним, стараюсь тщательно соблюдать гигиену и пользоваться ирригатором, но очень настораживает что он несколько "оголился" из десны, ведь раньше такого не было. Спасибо огромное всем, кто откликнется! https://yadi.sk/d/EYQJ8w0wxr7EXw Ссылка на комментарий
Irouil Опубликовано 27 августа, 2020 Поделиться Опубликовано 27 августа, 2020 Фото в полости рта выглядят нормально 4 Ссылка на комментарий
L.E.S.I.K. Опубликовано 28 августа, 2020 Поделиться Опубликовано 28 августа, 2020 (изменено) "но очень настораживает что он несколько "оголился" из десны, ведь раньше такого не было". Спал послеоперационный отек тканей, вот формирователь немного и оголился. НИчего страшного Изменено 28 августа, 2020 пользователем L.E.S.I.K. Ссылка на комментарий
Рекомендуемые сообщения
Для публикации сообщений создайте учётную запись или авторизуйтесь
Вы должны быть пользователем, чтобы оставить комментарий
Создать аккаунт
Зарегистрируйте новый аккаунт в нашем сообществе. Это очень просто!
Регистрация нового пользователяВойти
Уже есть аккаунт? Войти в систему.
Войти