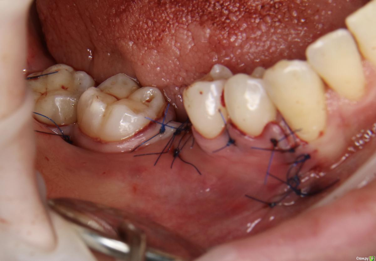
Александр07 Опубликовано 21 августа, 2020 Поделиться Опубликовано 21 августа, 2020 Коллеги добрый день, решил углубиться в тематику костных пластин по Кюри, определенные знания и некоторый опыт есть, небольшой, хотел поделиться последней работой, если какие то советы /замечания есть с удовольствием выслушаю 8 Ссылка на комментарий
Bier Опубликовано 21 августа, 2020 Поделиться Опубликовано 21 августа, 2020 толстый очень ламинат. а так все хорошо ) Ссылка на комментарий
Александр07 Опубликовано 22 августа, 2020 Автор Поделиться Опубликовано 22 августа, 2020 толстый очень ламинат. а так все хорошо )Есть смысл перфорировать кортикалку, например как здесь если 1 тип кости ,, как считаете Ссылка на комментарий
АнтонТЛТ Опубликовано 22 августа, 2020 Поделиться Опубликовано 22 августа, 2020 Есть смысл перфорировать кортикалку, например как здесь если 1 тип кости ,, как считаетеАвтор методики считает, что перфорировать вообще нет никакого смысла. 3 Ссылка на комментарий
Kev Опубликовано 25 августа, 2020 Поделиться Опубликовано 25 августа, 2020 толстый очень ламинат. а так все хорошо )Олег, Вы сосиску сделали бы? Ссылка на комментарий
Doctor Vlad Опубликовано 27 августа, 2020 Поделиться Опубликовано 27 августа, 2020 а чем перекрывали аугментат? сопелька? Ссылка на комментарий
Bier Опубликовано 27 августа, 2020 Поделиться Опубликовано 27 августа, 2020 Олег, Вы сосиску сделали бы?да 1 Ссылка на комментарий
Александр07 Опубликовано 30 августа, 2020 Автор Поделиться Опубликовано 30 августа, 2020 а чем перекрывали аугментат? сопелька?Если имеете ввиду Прф то да Ссылка на комментарий
Doctor Vlad Опубликовано 31 августа, 2020 Поделиться Опубликовано 31 августа, 2020 Если имеете ввиду Прф то дада. я название забыл) Ссылка на комментарий
Рекомендуемые сообщения
Для публикации сообщений создайте учётную запись или авторизуйтесь
Вы должны быть пользователем, чтобы оставить комментарий
Создать аккаунт
Зарегистрируйте новый аккаунт в нашем сообществе. Это очень просто!
Регистрация нового пользователяВойти
Уже есть аккаунт? Войти в систему.
Войти