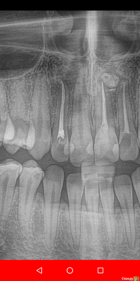
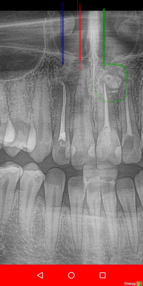
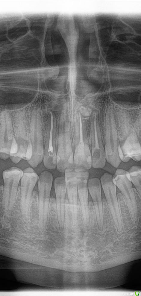
Daria_357 Опубликовано 21 августа, 2020 Поделиться Опубликовано 21 августа, 2020 Здравствуйте, резко появилась сильная неутихающая боль в 12м зубе, на третий день мне смогли оказать скорую помощь, поставив лекарство(убивающее нерв). Утром боль прошла, но опухло сильно лицо - вскрыли десну, поставив дренаж. Позже канал долго чистили и оставили временную пломбу на две недели. 18.08 приняли решение ставить постоянную пломбу. Первая пломбировка была неудачная-на снимке пломба не доходила до верхушки примерно на миллиметр. Вторая попытка закончилась так же, врач сомневалась, советовалась с коллегой, но оставила как было. На прицельном снимке видно, что не доходит в области "поворота" канала около 1мм, но у меня есть только ортопантомограмма, на ней видно только небольшую темную точку, и есть вид формы канала до пломбировки(прикрепила). По мнению врача, дойти дальше не получается так как канал изогнут. На мой вопрос почему тогда с временной пломбой пломбировка была идеальной(там пломба шла выше чем сейчас и истончалась к кончику), - врач сказала, что тогда канал был более узким, а сейчас она его расширила(?). Так же врач высказывала мнение, что если канал не запломб.до конца, то ничего страшного, - сделаем резекцию. Скажите, пожалуйста, стоит ли мне наставивать на перепломбировке уже сейчас, а не дожидаясь воспаления?Этот зуб отмечен синим. И второй вопрос по поводу плана лечения. Мне хотят с соседним передним зубом то же самое делать уже сейчас, так как есть опасения, что воспаление приблизится к нему. Верно ли это? Этот зуб отмечен красным. В этой же клинике мне года три назад вывели промбировочный материл за канал, достаточно много, но вариант, что воспаление из-за этого не подтвердили.Этот зуб отмечен зелёным. 2 Ссылка на комментарий
St. Опубликовано 23 августа, 2020 Поделиться Опубликовано 23 августа, 2020 Добрый деньКанал заполнен в допустимом обьеме, показаний к перелечиванию на сегодняшний день нет. В случае воспаления в будущем - да, на центральных зубах есть возможность провести резекцию при необходимости.По поводу соседнего: если не беспокоит, то наблюдайте. 1 Ссылка на комментарий
Daria_357 Опубликовано 27 августа, 2020 Автор Поделиться Опубликовано 27 августа, 2020 Здравствуйте! Спасибо Вам! Подскажите, пожалуйста, ещё по одному зубу, 25му. Попала к новому доктору..у меня есть по нему КТ..но не получается загрузить. Там поставили диагноз - хронический пульпит. Зуб до лечения не беспоеоил, только когда кусочек отвалился увидела проблему. Три дня назад провели лечение: наложение коффедарма, обработка под микроскопом(это наверное просто временная пломба? потому что раньше я чувствовала как гиперхлоридом промывают, в этот раз так не делали), оставили кальций и закрыли временной пломбой. Зуб два дня просто болел при надавливании, но час назад как будто вдруг хруст в нем и следом сильная резкая боль стреляющая до виска, после этого осталась ноющая боль. И вот в течении часа эти "выстрелы" болевые уже были три раза... 1 Ссылка на комментарий
St. Опубликовано 27 августа, 2020 Поделиться Опубликовано 27 августа, 2020 Без снимка сложно ответить, но в любом случае если боль будет и завтра то лучше показаться доктору.В качестве обезболивающего можно использовать ибупрофен 400мг или нимесил. 1 Ссылка на комментарий
Daria_357 Опубликовано 28 августа, 2020 Автор Поделиться Опубликовано 28 августа, 2020 Спасибо большое! Сегодня нет этих "выстрелов", выпила Нимесил вчера, только при надавливании со стороны пломбы как будто тупые "рассыпчатые" покалывания..надеюсь это было не начало развития какой-то патологии вроде кисты, потому что никогда такого не было после пломбирования каналов. Буду пока наблюдать Ссылка на комментарий
Daria_357 Опубликовано 5 сентября, 2020 Автор Поделиться Опубликовано 5 сентября, 2020 Здравствуйте! Подскажите, пожалуйста.Все таки было решено 11й зуб(что отмечен красным) пломбировать канал, так как на КТ сильное воспаление в полости от корня локализованное над 12 и 11, и зуб этот оказался уже мертвым. Кариеса там не было, неизвестно почему так получилось. Как вскрыли зуб - был запах, промыввали гипохлоридом,но оказалось,что мне сразу же поставили постоянную пломбу. То есть воспаление теперь будет как-то само рассасываться, т.к. шло от корня. Но я не могу совсем найти в интернете информацию о пломбирования канала сразу же постоянной, верно ли это? Ссылка на комментарий
shishok Опубликовано 6 сентября, 2020 Поделиться Опубликовано 6 сентября, 2020 Такая методика имеет место быть ( особенно в одноканальных зубах и вне обострения). 2 Ссылка на комментарий
Daria_357 Опубликовано 7 сентября, 2020 Автор Поделиться Опубликовано 7 сентября, 2020 Спасибо большое! Ссылка на комментарий
Рекомендуемые сообщения
Для публикации сообщений создайте учётную запись или авторизуйтесь
Вы должны быть пользователем, чтобы оставить комментарий
Создать аккаунт
Зарегистрируйте новый аккаунт в нашем сообществе. Это очень просто!
Регистрация нового пользователяВойти
Уже есть аккаунт? Войти в систему.
Войти