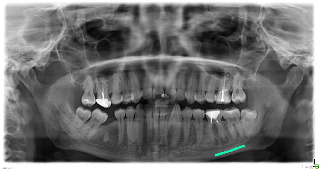
Mari1121 Опубликовано 18 августа, 2020 Поделиться Опубликовано 18 августа, 2020 (изменено) Добрый день, уважаемые специалисты.Крайне нужно Ваше мнение по проблемному зубу: требуется ли его удаление или возможно сохранить зуб, пролечив его?Болевые ощущения возникают во время приема пищи, отдает как раз где-то в десне. Боль непостоянна и не сильна.Снимок прилагаю. Зуб 6 справа (подчеркнула зеленым).Заранее спасибо! Изменено 18 августа, 2020 пользователем Mari1121 Ссылка на комментарий
red_butler Опубликовано 18 августа, 2020 Поделиться Опубликовано 18 августа, 2020 если судить только по рентгену то нужно зуб пере лечить и протезировать 1 Ссылка на комментарий
Mari1121 Опубликовано 18 августа, 2020 Автор Поделиться Опубликовано 18 августа, 2020 если судить только по рентгену то нужно зуб пере лечить и протезировать А какую дополнительную диагностику Вы бы рекомендовали?Врачи в 2х клиниках лечить не берутся(( Ссылка на комментарий
red_butler Опубликовано 18 августа, 2020 Поделиться Опубликовано 18 августа, 2020 А какую дополнительную диагностику Вы бы рекомендовали? очный осмотр, возможно с удалением пломбы Ссылка на комментарий
Рекомендуемые сообщения
Для публикации сообщений создайте учётную запись или авторизуйтесь
Вы должны быть пользователем, чтобы оставить комментарий
Создать аккаунт
Зарегистрируйте новый аккаунт в нашем сообществе. Это очень просто!
Регистрация нового пользователяВойти
Уже есть аккаунт? Войти в систему.
Войти