Ljocha Опубликовано 5 августа, 2020 Поделиться Опубликовано 5 августа, 2020 (изменено) доброго времени суток! недавно перелечили каналы и поставили коронки на 1.7, 3.6, 3.7, 4.6, 4.7 сделал КТ в другом месте, по которому врач-хирург сказал3.7 - перфорация корня, удаление 4.6 - удаление https://dropmefiles.com/77eRU врач-ортопед там где делали не соглашается с этим, говорит что после перелечивания стало лучше вопрос к ортопедам: "лечить нельзя, удалить" или "лечить, нельзя удалить"или обе точки зрения имеют место быть Изменено 5 августа, 2020 пользователем Ljocha Ссылка на комментарий
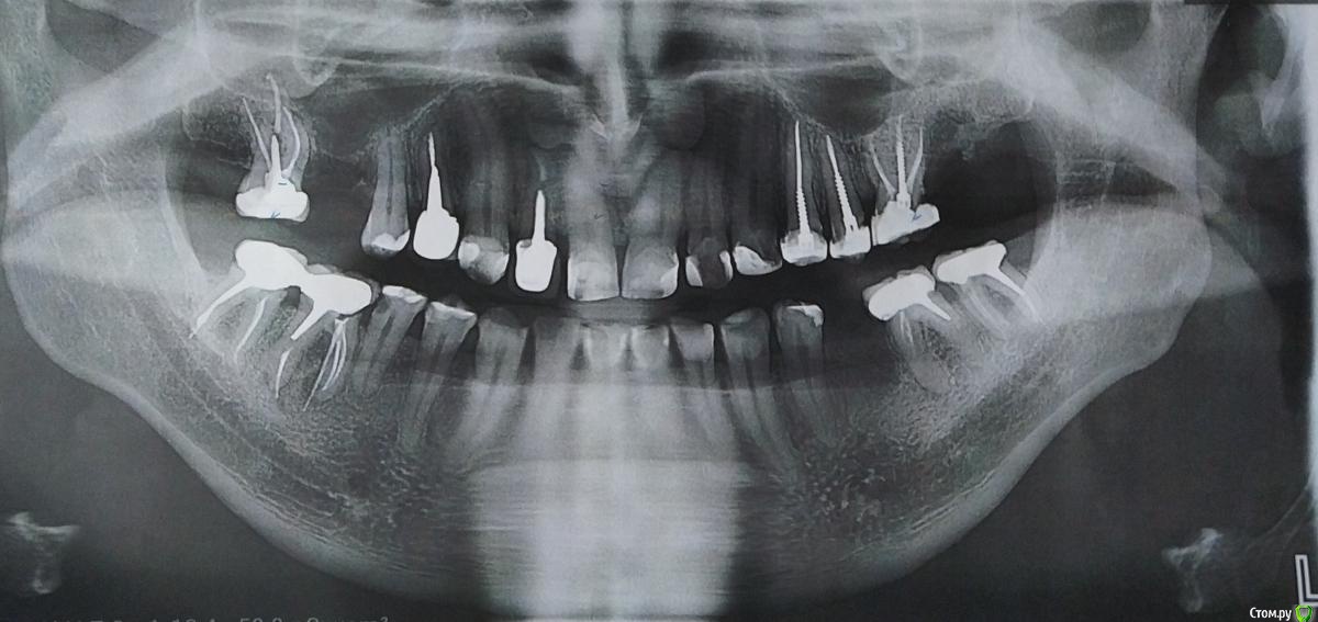
Ljocha Опубликовано 5 августа, 2020 Автор Поделиться Опубликовано 5 августа, 2020 вот к примеру 3.7 по ОПТГ пару недель после перелечивания и окоронивания: а это совсем свежий снимок, 5 дней до была имплантация 3.5: Ссылка на комментарий
chervoncevdaniil Опубликовано 5 августа, 2020 Поделиться Опубликовано 5 августа, 2020 17 47 да,а вот к остальным зубам есть вопросы Ссылка на комментарий
Ljocha Опубликовано 5 августа, 2020 Автор Поделиться Опубликовано 5 августа, 2020 17 47 да,а вот к остальным зубам есть вопросы 4.7 смысле да, удалять однозначно? что мне сказали на такой же вопрос тот кто лечил: согласился что по снимкам разница существенная,но также заметил что на ОПТГ возможно просто не видно было этого, надо поднимать снимки из карточки до перепломбировки далее прямые цитаты: "если болей нет, то после перепломбировки каналов костная ткань восстановится" "я думаю что все станет только лучше, главное качественно перелеченные каналы" Вы пойми те меня правильно, я все же пациент и не могу сам точно все это интерпретировать, и мне ужасно не ловко от сложившейся ситуации и также понимаю что меня можно легко ввести в заблуждение я бы конечно оставил все как есть, если это возможно с точки зрения медицины или мне нужно срочно удалять этот зуб? Ссылка на комментарий
Ljocha Опубликовано 5 августа, 2020 Автор Поделиться Опубликовано 5 августа, 2020 Стоматология-наука неточная, поэтому деньги не возвращаем)© так вот оно чего получается правды и не найти теперь Ссылка на комментарий
chervoncevdaniil Опубликовано 5 августа, 2020 Поделиться Опубликовано 5 августа, 2020 (изменено) 17 47 судя по снимку перелечены нормально,проблемы могут быть впоследствии с 46 и 36 и 37,ортопед который делал коронки видел панорамный снимок после пломбировки каналов до изготовления коронок или он был уже сделан для планирования имплантации и ортопед увидел его уже после протезирования? Изменено 5 августа, 2020 пользователем chervoncevdaniil Ссылка на комментарий
Ljocha Опубликовано 5 августа, 2020 Автор Поделиться Опубликовано 5 августа, 2020 chervoncevdaniil ОПТГ было сделано для имплантации,в последствии один из терапевтов видел снимок и проговорился что там и там не годится,потом начал изучать вопрос со всем занудством,показывать другим врачам и вылез целый ворох проблем, все картинки что выше врач-ортопед, проводивший это лечение (5 коронок) видел удаленно, серьезные проблемы отказывается видеть,хирург "рядом" тоже все ответы вида: "я думаю что все станет только лучше, главное качественно перелеченные каналы" хочу добавить что это зубы все резорцин-формалиновые, были депульпированы давно и слеплены на штифтах, в поликлинике полностью за деньги было:1. вынуты штифры и перелечены каналы 1.7, 3.7, 3.6, 4.6, 4.7;2. удалены 1.6 и 3.5;3. поставлена металокерамика 1.7, 3.7, 3.6, 4.6, 4.7;4. после установки коронок сломался штифтовой 2.7 пришлось удалить;5. поставлен имплант mis seven на место 3.5; уважаемый хирург Bier говорит что почти все удалять,там где лечили - более оптимистичны это все ради одного: понять дурят ли меня (они получается заинтересованы т.к. за все уплачено немало денег) или действительно такой подход имеет место быть Ссылка на комментарий
GurDoc Опубликовано 18 октября, 2020 Поделиться Опубликовано 18 октября, 2020 Как у вас дела расскажите?удалили что нибудь или так отставили? Ссылка на комментарий
Рекомендуемые сообщения
Для публикации сообщений создайте учётную запись или авторизуйтесь
Вы должны быть пользователем, чтобы оставить комментарий
Создать аккаунт
Зарегистрируйте новый аккаунт в нашем сообществе. Это очень просто!
Регистрация нового пользователяВойти
Уже есть аккаунт? Войти в систему.
Войти