Перейти к содержанию
Стоматология для всех

Рекомендуемые сообщения

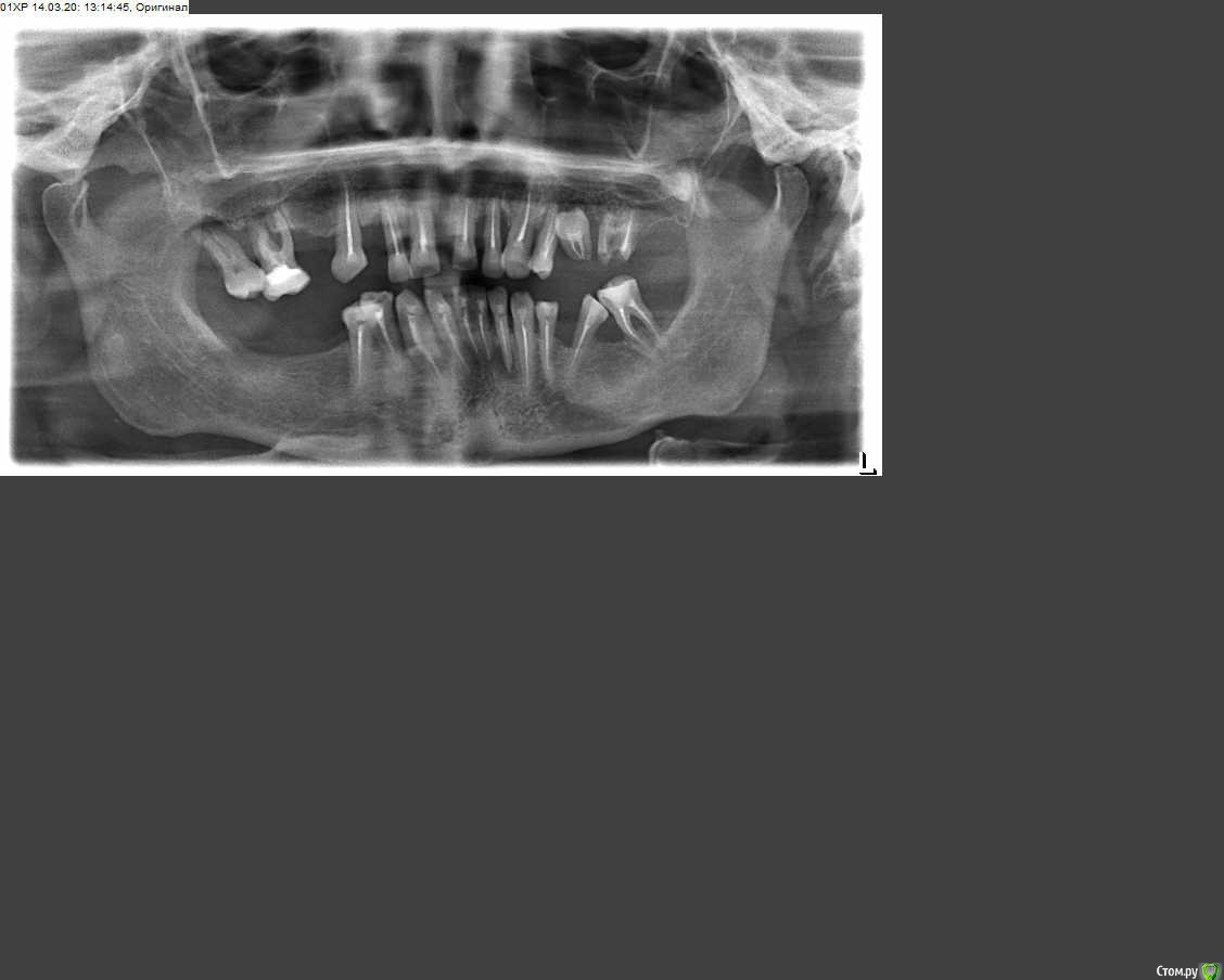
Прошу отозваться специалистов и дать совет. У меня пародонтит, потеряна основная часть зубов. Снимок во вложении. Хочу установить протезы, но не могу определиться с тактикой лечения. Была в нескольких клиниках и все предлагают разные схемы лечения. Нет единого мнения.

У меня следующие вопросы:

 

1. Возможно ли сохранить какие то зубы еще или все под удаление, (если возможно это определить по снимку)?

2. Какие импланты рекомендуете:  лучшее соотношение цены и качества?

3. Одномоментная имплантация: за и против;

4. Какие протезы и из  какого материала предпочтительно ставить при бруксизме? (проблема с детства) 

Может быть порекомендуете нормальные клиники в Москве, где смогут мне помочь . Заранее благодарю за любую информацию.

post-60985-0-74787300-1596049391_thumb.jpg

Изменено пользователем Линда
Ссылка на комментарий

Для публикации сообщений создайте учётную запись или авторизуйтесь

Вы должны быть пользователем, чтобы оставить комментарий

Создать аккаунт

Зарегистрируйте новый аккаунт в нашем сообществе. Это очень просто!

Регистрация нового пользователя

Войти

Уже есть аккаунт? Войти в систему.

Войти
×
×
  • Создать...
Вверх