Перейти к содержанию
Стоматология для всех

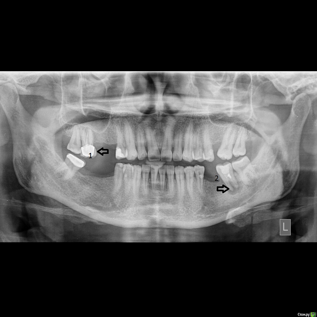
Привкус и неприятный запах (снимок)


xaxaman

Рекомендуемые сообщения

Справа сверху появился неприятный привкус и запах, сделал панорамный снимок. Врач сказал что проблема в двух местах, но так как привкус возникал справа, то удалил верхний предпоследний правый зуб (номер1)

  Через месяц после удаления начал снова замечать привкус в том же месте. Врач говорит что проблема точно из за зуба 2. 

Такое бывает? 

post-44605-0-51742400-1595948324_thumb.jpg 

Изменено пользователем xaxaman
Ссылка на комментарий

Добрый день. Неприятный запах может быть связан с разными причинами. Например  бывает при наличии "камней" и других проблем с десной (тогда нужно делать чистку у парадонтолога), когда есть разрушенные зубы и старые коронки(тогда их по ситуации или переделывают или удаляют), а может быть запах от состояния ЖКТ (и тогда это уже не к стоматологам).

Зуб отмеченный цифровой 2 не может давать описаные жалобы. Проблема в нем в воспалении за пределами корня. В нем нужно перелечивать каналы. Ну и еще что то думать на место отсутствующих зубов чтоб не скалывались передние от перегрузки

Ссылка на комментарий

Для публикации сообщений создайте учётную запись или авторизуйтесь

Вы должны быть пользователем, чтобы оставить комментарий

Создать аккаунт

Зарегистрируйте новый аккаунт в нашем сообществе. Это очень просто!

Регистрация нового пользователя

Войти

Уже есть аккаунт? Войти в систему.

Войти
×
×
  • Создать...
Вверх