Перейти к содержанию
Стоматология для всех

Тянущие боли в области 4-го и 5-го верхних зубов


Tatiana72

Рекомендуемые сообщения

Добрый день!

 

Много текста, но иначе ситуацию не объяснить.

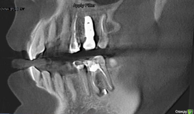
В феврале 2018 была проведена одномоментная имплантация системой Dentium верхней правой пятерки,  имплантат хорошо прижился, в сентябре протезирование винтовой металлокерамической коронкой. Коронка изначально была не идеальна, не были учтены мои пожелания пока ходила с временной, некоторые моменты пришлось корректировать уже во рту после установки. С самого начала я ее чувствовала как инородный предмет (2 импланта, которые стоят с 2008 года, я не чувствую вообще), но решили пока походить так, чтобы привыкнуть.   

В ноябре 2018  поставили диагноз артроз и назначили хондопротекторы+гиалуроновая кислота+коллаген для восстановления хряща. Примерно через восемь месяцев приема препаратов на всей верхней и нижней челюсти появились наросты (экзостоз). Челюстно-лицевой хирург сказал, что удалять пока смысла нет, наросты дискомфорта не причиняют, визуально не видны и лучше не лезть (осень 2019) . Я обратилась к тому же врачу-стоматологу с жалобой на дискомфорт в области имплантата.  Чувство  инородного предмета во рту усилилось, ощущение онемевшего "замороженного" зуба даже при чистке щеткой.  На снимке доктор  проблем с имплантатом  не обнаружил. Решили снять и подкорректировать коронку, в результате при вскрытии пломбы повредили головку винта, открутить не смогли. Промучились час, запломбировали обратно и отпустили. Как вариант доктор предложил срезать коронку, но я не решилась на такие радикальные действия. С марта 2020 года появились ноющие боли в верхней правой половине челюсти и головные боли, отдающие в правую часть лба. Я грешила на имплантат, десна вокруг коронки была розовая, но болезненная с внешней и внутренней стороны. Поехала к тому же врачу, сделали снимок, с имплантатом  все хорошо, но доктор сказал, что воспалилась соседняя четверка (стояла большая пломба), хотя на надкусывания и постукивания зуб не реагировал.  Вскрыли пломбу, зуб пролечили, каналы запломбировали (июнь 2020), головные боли ушли. Четверку подготовили к покрытию коронкой.

На сегодняшний день  имеется следующее: постоянные тянущие ощущения в области 4-го зуба и имплантата, легкое реагирование на горячее/холодное, болезненная десна вокруг коронки. Доктор настаивает на покрытии 4 зуба коронкой, говорит, что реакция на горячее/холодное пройдет.

 

Прошу квалифицированной консультации: Какова последовательность действий, с чего начать? Проблема в том, что доктор проблем не видит, а я уже измучилась. 

Могут ли тянущие ощущения быть связаны с коронкой на имплантате или это тянет четвертый зуб и он же реагирует на холодное/горячее? 

Ставить ли коронку на 4 зуб или все-таки удалять с последующим имплантированием?

 

Заранее спасибо!

 

post-3819-0-90305200-1595925032_thumb.jpg

post-3819-0-99302800-1595925046_thumb.jpg

 

 

ссылка на КТ (Пикассо)

https://yadi.sk/d/LvSLb5jbfUKM-w

 

 

 

 

 

 

Ссылка на комментарий

Для публикации сообщений создайте учётную запись или авторизуйтесь

Вы должны быть пользователем, чтобы оставить комментарий

Создать аккаунт

Зарегистрируйте новый аккаунт в нашем сообществе. Это очень просто!

Регистрация нового пользователя

Войти

Уже есть аккаунт? Войти в систему.

Войти
×
×
  • Создать...
Вверх