Nata26 Опубликовано 22 июля, 2020 Поделиться Опубликовано 22 июля, 2020 Два врача в разных клиниках сказали, что мне нужно удалить зуб, так как спасти его невозможно: слишком тонкие стенки у корней. Первоначально обратилась по поводу небольшой шишки на десне, оказался свищ. Мне сказали сделать КТ-снимок, после снимка был вынесен данный вердикт и рекомендовано установить имплантант.Вопросы: если я удалю зуб в этом месяце, то примерно когда можно установить имплантант? Как врачи наблюдают за восстановлением костной ткани после удаления зуба? Для этого достаточно панорамного снимка или нужно делать КТ? Один хирург сказал, что в моем случае можно установить имплантат через 3-4 месяца. Хотя я слышала, что рекомендуется подождать 5-6 месяцев для полного восстановления костной ткани. Установка имплантата, я считаю, дело серьезное, поэтому мне хочется сделать всё правильно, чтобы потом не было отторжения имплантата. Ссылка на комментарий
red_butler Опубликовано 22 июля, 2020 Поделиться Опубликовано 22 июля, 2020 http://forum.stom.ru/topic/20613-sovety-patcientam-obiazatelno-k-prochteniiu/ Ссылка на комментарий
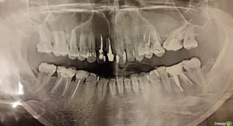
Nata26 Опубликовано 22 июля, 2020 Автор Поделиться Опубликовано 22 июля, 2020 Прикладываю панорамный снимок. Беспокоит зуб на нижней челюсти слева, 37. Есть КТ-снимок, записанный на диск, но у меня компьютер без дисковода, поэтому без КТ. Ссылка на комментарий
колесников Опубликовано 22 июля, 2020 Поделиться Опубликовано 22 июля, 2020 В вашем случае не нужно ждать,надо удалить и сразу поставить имплант,прекрасные условия для этого. Хотел бы обратить внимание на верхний зуб над причинным ,на верхнюю шестерку слева. Покажите снимок ортопеду,этот зуб необходимо покрыть коронкой ,чтобы он выдержал нагрузку в контакте с нижним имплантом,но есть вопросы. 2 Ссылка на комментарий
Nata26 Опубликовано 23 июля, 2020 Автор Поделиться Опубликовано 23 июля, 2020 В вашем случае не нужно ждать,надо удалить и сразу поставить имплант,прекрасные условия для этого. Хотел бы обратить внимание на верхний зуб над причинным ,на верхнюю шестерку слева. Покажите снимок ортопеду,этот зуб необходимо покрыть коронкой ,чтобы он выдержал нагрузку в контакте с нижним имплантом,но есть вопросы.Спасибо. Ссылка на комментарий
Nata26 Опубликовано 27 августа, 2020 Автор Поделиться Опубликовано 27 августа, 2020 10 августа была проведена одномоментная имплантация с установлением формирователя десны. Где-то дня 3-4 назад начала беспокоить боль в районе проведенной имплантации, сама я не могу понять, что это болит. Ходила с жалобой к хирургу, который делал мне операцию, он говорит, что всё выглядит нормально, мол, только десна не зажила до конца и эта она меня беспокоит. Но я боюсь, что там идет воспалительный процесс, поэтому мне хочется узнать мнение других врачей. Какой вид снимка наиболее информативен и достоверен: панорамный снимок, прицельный или КТ? Ссылка на комментарий
Irouil Опубликовано 27 августа, 2020 Поделиться Опубликовано 27 августа, 2020 Если одиночный имплант - начните с прицельного снимка и фото во рту Ссылка на комментарий
Nata26 Опубликовано 28 августа, 2020 Автор Поделиться Опубликовано 28 августа, 2020 Сделала прицельный снимок имплантата сегодня. Вообще, при одномоментной имплантации с установкой формирователя десны в норме сколько могут длиться боли? Ссылка на комментарий
Irouil Опубликовано 28 августа, 2020 Поделиться Опубликовано 28 августа, 2020 Снимок выглядит нормально, выраженные болевые ощущения обычно держатся не более недели Ссылка на комментарий
Nata26 Опубликовано 28 августа, 2020 Автор Поделиться Опубликовано 28 августа, 2020 Снимок выглядит нормально, выраженные болевые ощущения обычно держатся не более неделиСпасибо. Ссылка на комментарий
red_butler Опубликовано 28 августа, 2020 Поделиться Опубликовано 28 августа, 2020 Обычно не болит... Ссылка на комментарий
Nata26 Опубликовано 28 августа, 2020 Автор Поделиться Опубликовано 28 августа, 2020 Обычно не болит...На удивление сегодня вечером стало гораздо лучше. Буду наблюдать. Ссылка на комментарий
Nata26 Опубликовано 4 сентября, 2020 Автор Поделиться Опубликовано 4 сентября, 2020 К сожалению, с имплантатом всё не очень. 5 дней назад после моих жалоб на боль врач сделал прицельный снимок и там было воспаление. Сама десна выглядит хорошо, свищей нет. После моих просьб сделать хоть что-нибудь, он прописал "Сумамед" 500 по 1 таблетке в день на протяжении трех дней. Сегодня мне сделали панорамный снимок, всё также виден воспалительный процесс в районе имплантата. Он теперь меня отслеживает на протяжении каждых 5 дней. Говорит, что сейчас нужно наблюдать, мол, есть вероятность, что воспалительный процесс пройдет, а если нет — то будет убирать имплантат и заново ставить через месяц. Как вы думаете, есть вероятность, что воспаление пройдет само или мои надежды тщетны? Ссылка на комментарий
Pavel-Pskov Опубликовано 4 сентября, 2020 Поделиться Опубликовано 4 сентября, 2020 Кмк надежды не очень много, но по панорамному точно не сказать на 100 %.. Будем надеяться на лучшее, хотя, если присутствуют боли , то вариант не самый лучший. Ссылка на комментарий
Irouil Опубликовано 4 сентября, 2020 Поделиться Опубликовано 4 сентября, 2020 На мой взгляд имплантат надо удалять Ссылка на комментарий
Nata26 Опубликовано 4 сентября, 2020 Автор Поделиться Опубликовано 4 сентября, 2020 На мой взгляд имплантат надо удалятьЕсли удалять, то имплантат надо обязательно поставить через один месяц или можно через 2 месяца? Ссылка на комментарий
Irouil Опубликовано 5 сентября, 2020 Поделиться Опубликовано 5 сентября, 2020 (изменено) Это не принципиально, но через месяц условия близкие к оптимальным Но тут действительно надо посмотреть КТ Изменено 5 сентября, 2020 пользователем Irouil Ссылка на комментарий
Nata26 Опубликовано 7 октября, 2020 Автор Поделиться Опубликовано 7 октября, 2020 Прошел месяц после курса "Сумамеда" и контрольного панорамного снимка. В принципе, месяц назад я настраивалась на худший вариант: что придется удалять имплантат и заново его устанавливать. Но так как боли с каждым днем уходили, я решила подождать с удалением. Сегодня сделали прицельный контрольный снимок. Врач говорит, что всё выглядит хорошо и сказал подходить через месяц для еще одного контрольного снимка. Ссылка на комментарий
Irouil Опубликовано 7 октября, 2020 Поделиться Опубликовано 7 октября, 2020 Все верно, через месяц надо проверять имплант на интеграцию Ссылка на комментарий
red_butler Опубликовано 7 октября, 2020 Поделиться Опубликовано 7 октября, 2020 Сегодня сделали прицельный контрольный снимок. я бы переделал снимок... Ссылка на комментарий
Nata26 Опубликовано 7 октября, 2020 Автор Поделиться Опубликовано 7 октября, 2020 я бы переделал снимок... Что-то не так? Ссылка на комментарий
red_butler Опубликовано 7 октября, 2020 Поделиться Опубликовано 7 октября, 2020 Что-то не так?во первых снимок "не качественны"... Ссылка на комментарий
Nata26 Опубликовано 7 октября, 2020 Автор Поделиться Опубликовано 7 октября, 2020 (изменено) во первых снимок "не качественны"...Имеете в виду размытый и не в фокусе? А во-вторых? Мне на самом деле интересно: надо ли мне волноваться? С тканями вокруг имплантата что-то не так? Изменено 7 октября, 2020 пользователем Nata26 Ссылка на комментарий
red_butler Опубликовано 8 октября, 2020 Поделиться Опубликовано 8 октября, 2020 Имеете в виду размытый и не в фокусе? да А во-вторых? сделайте новый снимок и заберите его в графическом формате, или сразу делайте Кт Ссылка на комментарий
Nata26 Опубликовано 8 октября, 2020 Автор Поделиться Опубликовано 8 октября, 2020 да сделайте новый снимок и заберите его в графическом формате, или сразу делайте Кт Какого размера должен быть КТ-снимок? 5х5, 6х8? Ссылка на комментарий
Рекомендуемые сообщения
Для публикации сообщений создайте учётную запись или авторизуйтесь
Вы должны быть пользователем, чтобы оставить комментарий
Создать аккаунт
Зарегистрируйте новый аккаунт в нашем сообществе. Это очень просто!
Регистрация нового пользователяВойти
Уже есть аккаунт? Войти в систему.
Войти