Леля1983 Опубликовано 21 июля, 2020 Поделиться Опубликовано 21 июля, 2020 (изменено) Добрый день. Ребенку 10 лет. Сделали ортопантомограмму. На ней нет зачатков верхних коренных клыков. У отца ребенка верхний клык вырос в нёбе, и до 30 лет он ходил с молочным зубом. Обнаружить зуб удалось только на КТ (3 d). Необходимо ли ребенку делать дополнительное обследование в виде КТ? У ортодонта были. К сожалению, такой практики у него не было и лечение , доп обследование не назначил. Записались к другому. Может ли быть такое, что на ортопантомограмме не все видно? Изменено 21 июля, 2020 пользователем Леля1983 1 Ссылка на комментарий
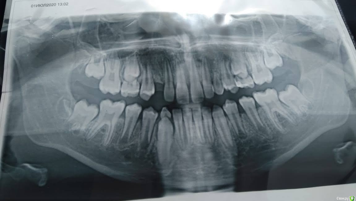
Леля1983 Опубликовано 22 июля, 2020 Автор Поделиться Опубликовано 22 июля, 2020 Снимок Ссылка на комментарий
kramer Опубликовано 22 июля, 2020 Поделиться Опубликовано 22 июля, 2020 Верхних клыков нет и не будет, до плюс/минус 20 лет нужно будет что-то временное для их замены, потом имплантация Ссылка на комментарий
Леля1983 Опубликовано 22 июля, 2020 Автор Поделиться Опубликовано 22 июля, 2020 Верхних клыков нет и не будет, до плюс/минус 20 лет нужно будет что-то временное для их замены, потом имплантация Спасибо большое за ответ. Сейчас пытаемся найти ортодонта, который внятно смог бы объяснить что в нашем случае "временное" приемлемо. Ссылка на комментарий
Рекомендуемые сообщения
Для публикации сообщений создайте учётную запись или авторизуйтесь
Вы должны быть пользователем, чтобы оставить комментарий
Создать аккаунт
Зарегистрируйте новый аккаунт в нашем сообществе. Это очень просто!
Регистрация нового пользователяВойти
Уже есть аккаунт? Войти в систему.
Войти