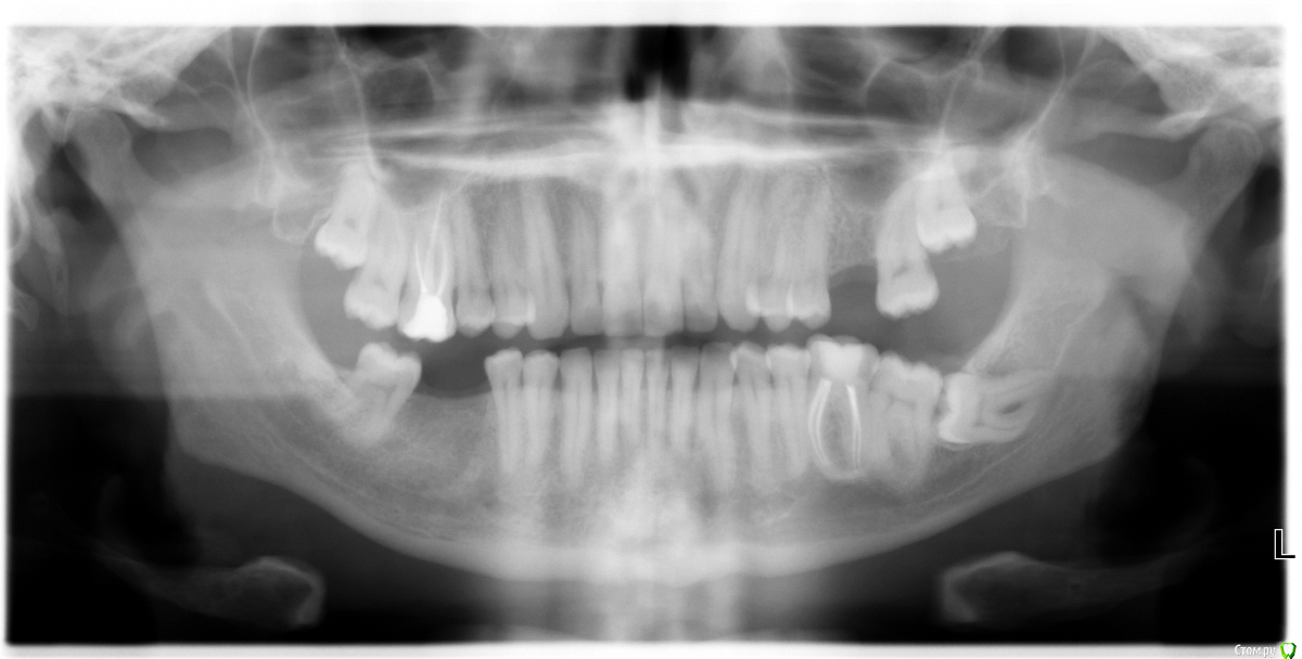
Ganj Опубликовано 21 июля, 2020 Поделиться Опубликовано 21 июля, 2020 (изменено) Уважаемые врачи, добрый день!Я переезжаю в другую страну, стоматология там очень дорогая, поэтому решил по максимуму сделать работы по зубам в России (МСК). Ходил на консультацию по поводу имплантации нижней шестерки и заодно обсудил с хирургом свою злосчастную ретинированую восьмерку снизу.Она полностью под десной и как мне казалось, держит под десной еще соседнюю семерку. Хирург сказал, что ничего восьмерка не держит, все норм (хотя семерка почти тоже под десной), если не беспокоит, то восьерку лучше вообще не удалять, так как есть риски: зуб лежит на нерве и риск повредить нерв высок; придется спиливать значительную часть кости при удалении зуба и есть риск перелома челюсти; зуб большой и занимает много места и является солидной частью челюсти, после удаления когда буду что-то жевать, то возможен перелом. В общем ввязываться в авантюру без необходимости крайне не советовал, так как есть много "но", а результат достаточно сомнительный. Также сказал, что если буду все-таки удалять, то обязательно КТ (для имплантации КТ не попросил). Собственно вопрос, как быть? Я понимаю, что это бомба замедленного действия и рано или поздно я получу там очаг, но решиться по сути на перелом челюсти мне тяжело. Также я понимаю, что сколько людей столько и мнений, но я готов выслушать любой совет, так как у самого компетенций нет. Изменено 21 июля, 2020 пользователем Ganj Ссылка на комментарий
red_butler Опубликовано 21 июля, 2020 Поделиться Опубликовано 21 июля, 2020 http://forum.stom.ru/topic/20613-sovety-patcientam-obiazatelno-k-prochteniiu/ Ссылка на комментарий
Ganj Опубликовано 21 июля, 2020 Автор Поделиться Опубликовано 21 июля, 2020 http://forum.stom.ru/topic/20613-sovety-patcientam-obiazatelno-k-prochteniiu/Извините, не заметил, что файл не приложился. Ссылка на комментарий
red_butler Опубликовано 21 июля, 2020 Поделиться Опубликовано 21 июля, 2020 При условии что эти зубы никогда не давали о себе знать, я бы их не трогал Ссылка на комментарий
Ganj Опубликовано 22 июля, 2020 Автор Поделиться Опубликовано 22 июля, 2020 Спасибо большое. И еще один вопрос (дабы темы не плодить), про имплантацию нижней шестерки, дырка там такая, что боинг посадить можно (указательный палец шириной). Имплантация без КТ и шаблона в данном случае уместна? У меня намечена первая имплантация на 26.07.2020, однако в клинике КТ нет и не просили принести, слепок под шаблон никто не брал, после гайда по имплантации я начал беспокоиться. Ссылка на комментарий
red_butler Опубликовано 22 июля, 2020 Поделиться Опубликовано 22 июля, 2020 По панорамному снимку можно судить только о высоте, с этим нет проблем. Предположу что визуально и с шириной проблем нет, в этом случае Кт и шаблон не обязательны. Для более точного ответа выкладывайте фото Ссылка на комментарий
Ganj Опубликовано 22 июля, 2020 Автор Поделиться Опубликовано 22 июля, 2020 Действительно сказал без костной пластики, кости по ширине достаточно. Ссылка на комментарий
Irouil Опубликовано 22 июля, 2020 Поделиться Опубликовано 22 июля, 2020 Имплантация без КТ, на мой взгляд, всегда немного "наугад", но выглядит все многообещающе Ссылка на комментарий
Ganj Опубликовано 22 июля, 2020 Автор Поделиться Опубликовано 22 июля, 2020 Спасибо за мнение! Все совпадает с мнением консультирующего имплантолога, в вс пойду делать первый имплант. Ссылка на комментарий
Ganj Опубликовано 22 июля, 2020 Автор Поделиться Опубликовано 22 июля, 2020 При условии что эти зубы никогда не давали о себе знать, я бы их не трогал Если полностью сосредоточится на ощущениях и трогать зубы языком и пальцем, то зубы чувствую, в повседневной деятельности не чувствую и дискомфорта не доставляют. Поделитесь, пожалуйста, своим мнением по поводу риска оставить такую конструкцию и не трогать или наоборот вмешаться и превентивно удалить. Просто сделать в России и попасть в стационар это одно, а в другой стране, где ко всем ценам нужно приписывать нолик и не один, очень сложно будет вылечить любое возможное осложнение. Я дико извиняюсь, что гружу своими проблемами, просто рассматриваю все варианты. Ссылка на комментарий
Рекомендуемые сообщения
Для публикации сообщений создайте учётную запись или авторизуйтесь
Вы должны быть пользователем, чтобы оставить комментарий
Создать аккаунт
Зарегистрируйте новый аккаунт в нашем сообществе. Это очень просто!
Регистрация нового пользователяВойти
Уже есть аккаунт? Войти в систему.
Войти