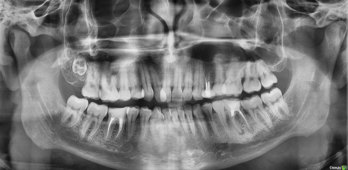
SkyWay Опубликовано 13 июля, 2020 Поделиться Опубликовано 13 июля, 2020 Добрый день.Задумался в 30 лет ставить брекеты, хотя в интернете есть разные мнения, особенно часто говорят, что не стоит в таком возрасте выпрямлять прикус, из-за того что зубы потом разъедутся, но и не мало, что никогда не поздно. В общем сам вопрос, все зубы на месте, но из 4 зубов мудрости, один так и не вырос.Вот как он выглядит: Будут ли что делать с этим зубом в случае установки брекет системы? или нет смысла его трогать? Ссылка на комментарий
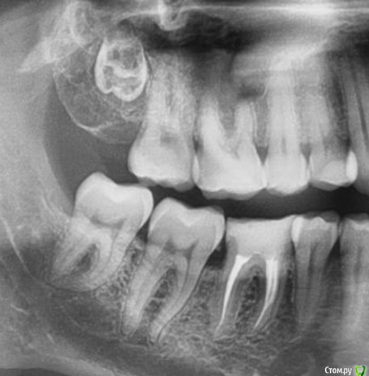
SkyWay Опубликовано 17 июля, 2020 Автор Поделиться Опубликовано 17 июля, 2020 На консультации ортодонт сказал удалить все 8ки, в том числе и этот ретированый.Хирург по снимку сказал, что он вроде даже не вырос, и чтобы его удалить его надо высверливать, и разнести полчелюсти..Вот теперь ещё менее понятно что делать Ссылка на комментарий
red_butler Опубликовано 17 июля, 2020 Поделиться Опубликовано 17 июля, 2020 http://forum.stom.ru/topic/4655-patcientam/ Ссылка на комментарий
SkyWay Опубликовано 17 июля, 2020 Автор Поделиться Опубликовано 17 июля, 2020 http://forum.stom.ru/topic/4655-patcientam/Вот есть только такой снимок, других нету Ссылка на комментарий
Рекомендуемые сообщения
Для публикации сообщений создайте учётную запись или авторизуйтесь
Вы должны быть пользователем, чтобы оставить комментарий
Создать аккаунт
Зарегистрируйте новый аккаунт в нашем сообществе. Это очень просто!
Регистрация нового пользователяВойти
Уже есть аккаунт? Войти в систему.
Войти