Перейти к содержанию
Стоматология для всех

Тянет нижнюю левую часть челюсти в районе лимфузлов


SkyWay

Рекомендуемые сообщения

Добрый день

 

Подскажите пожалуйста, история про мой зуб 6-ку.

1. Лет 8 назад пошёл в самую ближайшую клинику лечить зуб 6-ку в котором сильно развился кариес.

2. Лечение не понравилось, ушёл долечивать в другую клинику. В новой клинике сказали, что внутри канала обломили иглу, оборудования убрать её нет, запломбировали как есть.

3. Затем на протяжение всех этих 8 лет, раз в месяц два чувствовала напряжение в районе челюсти, ну и немного было больно жевать твёрдую пищи на этому зубе.

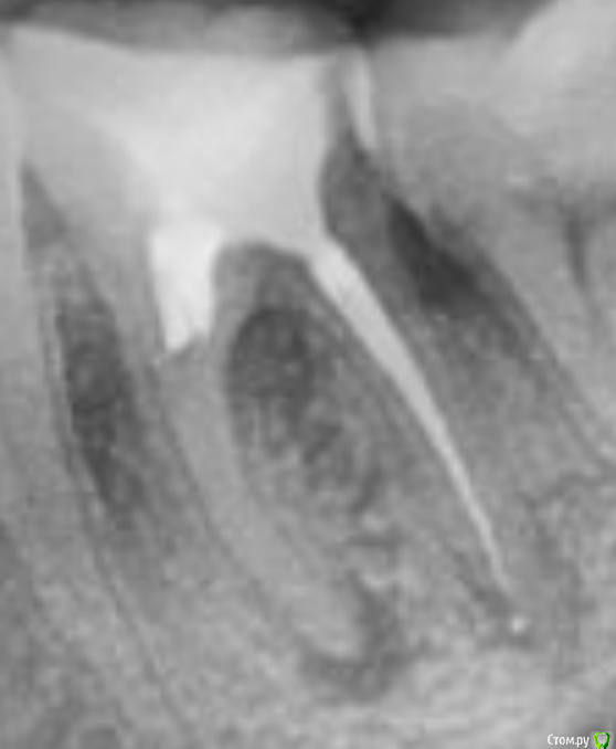
4. 3 года назад пошёл к новому враче лечить остальные зубы, и заодно решил перелечивать этот. Врач делал снимок прицельный сказал, что у корня есть воспаление, он заложит лекарство и запломбирует канал. Вот сам снимок зуба.

post-60859-0-09007700-1594664404_thumb.jpg

 

При попытке пройти второй канал, в которым якобы был сломанный инструмент. Врач сказал, что никакого инструмента там нету. Но канал настолько сросся, что пройти его нет возможности. В итоге насколько возможно было запломбировали.

5. Последний месяц, стало постоянно тянуть в районе лимфузлов слева. Пошёл к стоматологу, сделал панорамный снимок. Я не врач, но по нему кажется что есть воспаление у второго канала, который невозможно пройти. Врач стоматолог, сказал, что лучше в данном случае удалить зуб.

post-60859-0-11042100-1594664396_thumb.png

 

 

Подскажите пожалуйста так ли это? Действительно ли по снимку всё плохо, и лучше удалить, а не бороться до последнего за этот полуразрушенный зуб, который уже более 8 лет доставляет неудобства.

Ссылка на комментарий

Добрый день. В случае воспаления есть всего 2 варианта: или пробовать найти ход каналов и их перелечить (но учитывая количество попыток шанс не очень высок) или удалять зуб и ставить имплант.

  • Поддерживаю 1
Ссылка на комментарий

Добрый день. В случае воспаления есть всего 2 варианта: или пробовать найти ход каналов и их перелечить (но учитывая количество попыток шанс не очень высок) или удалять зуб и ставить имплант.

Понятно, значит наиболее оптимальный вариант, это всё же удаление

Ссылка на комментарий

Для публикации сообщений создайте учётную запись или авторизуйтесь

Вы должны быть пользователем, чтобы оставить комментарий

Создать аккаунт

Зарегистрируйте новый аккаунт в нашем сообществе. Это очень просто!

Регистрация нового пользователя

Войти

Уже есть аккаунт? Войти в систему.

Войти
×
×
  • Создать...
Вверх