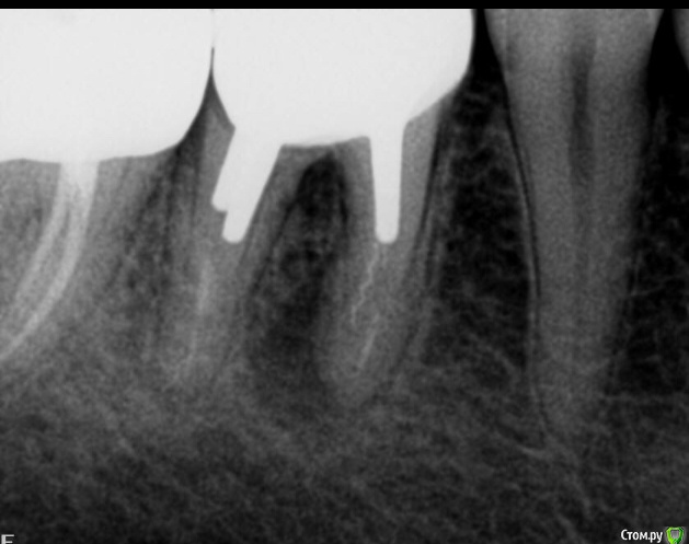
NNF Опубликовано 6 июля, 2020 Поделиться Опубликовано 6 июля, 2020 Здравствуйте уважаемые доктора! разболелся зуб под коронкой на снимке видно воспаление под корнем и ещё остаток инструмента в канале, подскажите возможно ли сохранить зуб или только удаление и потом имплантат ? Ссылка на комментарий
St. Опубликовано 6 июля, 2020 Поделиться Опубликовано 6 июля, 2020 В этом зубе помимо коронки стоят массивные штифты в каналах. Гипотетически шанс побороться за зуб есть, но работа сложная , дорогая и не прогнозируемая. То есть если Вы принимаете решение пробовать сохранить зуб, то должны понимать что сразу что то пообещать и спланировать тут не получится. доктор будет снимать коронку, доставать штифты. После этого оценивать что осталось от зуба и нет ли трещин в корнях. Если от зуба осталось мало или нашли трещину, то удаление. Если все ок, тогда перелечивание каналов и новая коронка. Ссылка на комментарий
NNF Опубликовано 6 июля, 2020 Автор Поделиться Опубликовано 6 июля, 2020 Спасибо большое за оперативный ответ, а как Вы считаете воспаление произошло из-за плохой пломбировки каналов и сломанного инструмента?зуб болит очень сильно, ибупрофен особо не помогает. Ссылка на комментарий
NNF Опубликовано 6 июля, 2020 Автор Поделиться Опубликовано 6 июля, 2020 И если удалять, возможно ли сразу поставить имплантат или нужно ждать заживления?) Ссылка на комментарий
red_butler Опубликовано 7 июля, 2020 Поделиться Опубликовано 7 июля, 2020 подскажите возможно ли сохранить зуб или только удаление и потом имплантат ? удалять как Вы считаете воспаление произошло из-за плохой пломбировки каналов и сломанного инструмента? Мы не врачи эксперты и по одному снимку ответить невозможно И если удалять, возможно ли сразу поставить имплантат или нужно ждать заживления?) подождать когда стихнет острая фаза воспаления Ссылка на комментарий
Рекомендуемые сообщения
Для публикации сообщений создайте учётную запись или авторизуйтесь
Вы должны быть пользователем, чтобы оставить комментарий
Создать аккаунт
Зарегистрируйте новый аккаунт в нашем сообществе. Это очень просто!
Регистрация нового пользователяВойти
Уже есть аккаунт? Войти в систему.
Войти