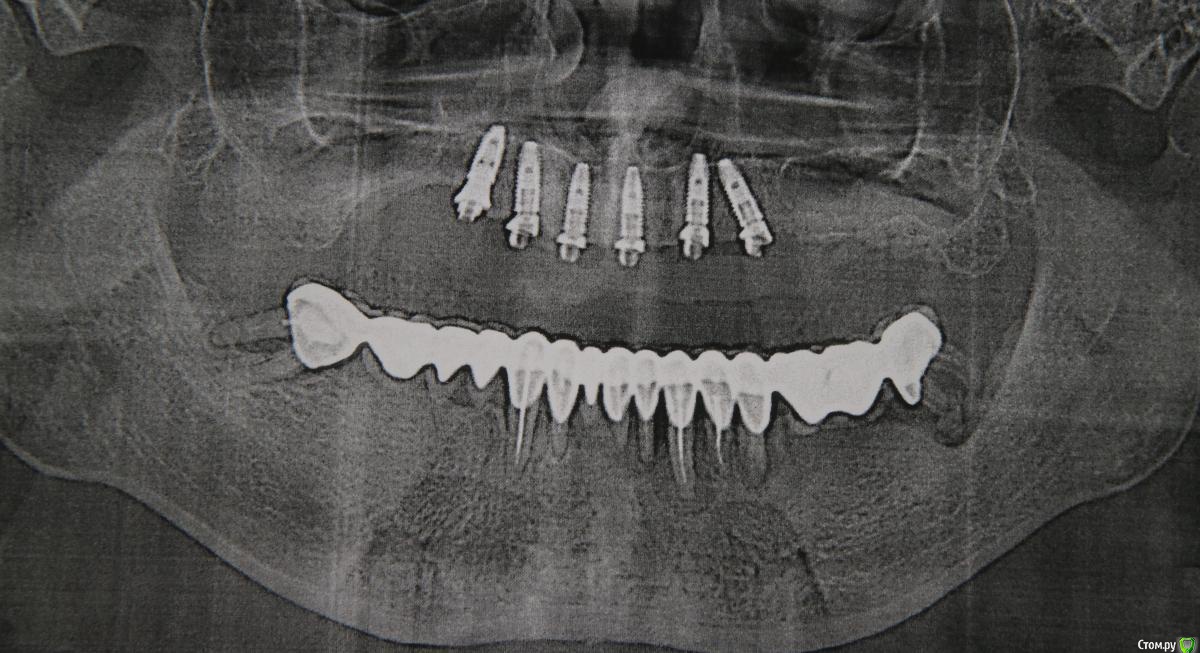
Александр07 Опубликовано 1 июля, 2020 Поделиться Опубликовано 1 июля, 2020 Коллеги доброго дня, пац 55-60 лет, хочет чтобы было красиво и крепко держалось, такая ситуация во рту, планируем операцию на вчКак видите примерно в обл 1.4-1.6 дефект по высоте, размышляю по поводу установки 1.1,1.3, 2.2,2.4 с расщеплением в обл 1.3, под протез на балке, Врем конструкция на импл , даже при условии что получится без большой подсадки, не рискнул бы- крупный мужчина, будет давать нагрузку, если ставить Мини импл то планировал бы позиции 2.1,2.5, 1 сегмент пока не ясно куда ставить ) По аугментации в обл 1.5-1.6, что посоветуете- делать /не делать, одновременно с фронтом или отдельно, или ограничиться тем планом по балке что написал выше , В обл 2.5-2.6 синус нужен trim.F286E467-8CC6-421B-ACE6-47434003E04E.MOV Ссылка на комментарий
колесников Опубликовано 1 июля, 2020 Поделиться Опубликовано 1 июля, 2020 (изменено) Я бы рассмотрел вариант классического олонфо(2),но меня смущает дефект в первом секторе,вероятно крайней имплант будет оголён ,как вариант прикрыть его шайбой из кортикалки.Или другой вариант с имплантами в бугор,но тут надо работать в третьем секторе Изменено 1 июля, 2020 пользователем колесников Ссылка на комментарий
Bier Опубликовано 1 июля, 2020 Поделиться Опубликовано 1 июля, 2020 мне не нравится вариант с расщеплением.тут нужно еще КТ покрутить 1 Ссылка на комментарий
Александр07 Опубликовано 1 июля, 2020 Автор Поделиться Опубликовано 1 июля, 2020 Я бы рассмотрел вариант классического олонфо(2),но меня смущает дефект в первом секторе,вероятно крайней имплант будет оголён ,как вариант прикрыть его шайбой из кортикалки.Или другой вариант с имплантами в бугор,но тут надо работать в третьем сектореА если 6 имплантов, VIIV протокол, 4 вперёд как при ол он 4, и 2 в бугор под углом Ссылка на комментарий
колесников Опубликовано 1 июля, 2020 Поделиться Опубликовано 1 июля, 2020 Это вариант 2,но придётся добавить 2 импланта а третьем секторе Ссылка на комментарий
Александр07 Опубликовано 1 июля, 2020 Автор Поделиться Опубликовано 1 июля, 2020 Я бы рассмотрел вариант классического олонфо(2),но меня смущает дефект в первом секторе,вероятно крайней имплант будет оголён ,как вариант прикрыть его шайбой из кортикалки.Или другой вариант с имплантами в бугор,но тут надо работать в третьем сектореЕсли не трудно поясните что значит «шайба из кортикалки») Ссылка на комментарий
колесников Опубликовано 2 июля, 2020 Поделиться Опубликовано 2 июля, 2020 Если не трудно поясните что значит «шайба из кортикалки») трепаном берёте из компактной кости Таблетку и одним винтом фиксируете закрывая шейку импланта Ссылка на комментарий
Марья Моревна Опубликовано 3 июля, 2020 Поделиться Опубликовано 3 июля, 2020 Как расположить такой винт, чтобы не соприкасался с имплантом? Таблетку под углом к импоанту? Ссылка на комментарий
Женька Опубликовано 3 июля, 2020 Поделиться Опубликовано 3 июля, 2020 Как расположить такой винт, чтобы не соприкасался с имплантом? Таблетку под углом к импоанту?Вот я тоже не понял как это сделать( Ссылка на комментарий
Марья Моревна Опубликовано 3 июля, 2020 Поделиться Опубликовано 3 июля, 2020 Если,допустим,забить такую таблетку с трепана между краем лунки и имплантом,чтоб она была совершенно неподвижна,то получается хорошее обрастание. Я такую фишку подсмотрела у Карена Аванесова,покинувшего форум со своими фотками.Он забивал кусочки кости. Ссылка на комментарий
колесников Опубликовано 3 июля, 2020 Поделиться Опубликовано 3 июля, 2020 Тут судя по снимку нет края лунки,а есть край дефекта (первый сектор) куда будет зиять шейка импланта. Зафиксировать никаких проблем тк винт и имплант в разных плоскостях и проекциях Ссылка на комментарий
Марья Моревна Опубликовано 3 июля, 2020 Поделиться Опубликовано 3 июля, 2020 (изменено) в разных плоскостях и проекциях Понятно,спасибо. Изменено 3 июля, 2020 пользователем Марья Моревна Ссылка на комментарий
Nazim_NV86 Опубликовано 4 июля, 2020 Поделиться Опубликовано 4 июля, 2020 (изменено) Как расположить такой винт, чтобы не соприкасался с имплантом? Таблетку под углом к импоанту?1.Типа того2.У вас ФИО пациента видно. Желательно обрезать, то что выкладываете в сеть.3.Скачайте с оф сайта планмеки нормальную бесплатную версию. Там уже 6-я версия с мая этого года. И главное что ваш нарисованный план будет сохраняться. Изменено 4 июля, 2020 пользователем Nazim_NV86 2 Ссылка на комментарий
Марья Моревна Опубликовано 4 июля, 2020 Поделиться Опубликовано 4 июля, 2020 Типа того Между шайбой,имплантом и оральной стенкой небольшой подсыпайзинг? Или просто наглухо, и все? Ссылка на комментарий
Nazim_NV86 Опубликовано 4 июля, 2020 Поделиться Опубликовано 4 июля, 2020 (изменено) Между шайбой,имплантом и оральной стенкой небольшой подсыпайзинг? Или просто наглухо, и все? аутоЧерез 4мес до уровня винта может лизироваться. Должно хватить оставшегося. Если что ССТ нашампурю. формики на NC для этого удобны. Изменено 4 июля, 2020 пользователем Nazim_NV86 1 Ссылка на комментарий
Александр07 Опубликовано 8 июля, 2020 Автор Поделиться Опубликовано 8 июля, 2020 трепаном берёте из компактной кости Таблетку и одним винтом фиксируете закрывая шейку имплантаТрепан тогда широкий нужен 6-7 мм наверно ? По толщине мм 2 как понимаю, и щель ауто заполняем Ссылка на комментарий
Александр07 Опубликовано 8 июля, 2020 Автор Поделиться Опубликовано 8 июля, 2020 1.Типа того2.У вас ФИО пациента видно. Желательно обрезать, то что выкладываете в сеть.3.Скачайте с оф сайта планмеки нормальную бесплатную версию. Там уже 6-я версия с мая этого года. И главное что ваш нарисованный план будет сохраняться. Спасибо Здесь больше похоже на миниблок) Ссылка на комментарий
Nazim_NV86 Опубликовано 8 июля, 2020 Поделиться Опубликовано 8 июля, 2020 СпасибоЗдесь больше похоже на миниблок)Это бета-версия. Ссылка на комментарий
darkdiablo40 Опубликовано 8 августа, 2020 Поделиться Опубликовано 8 августа, 2020 (изменено) Здравствуйте! Поступил пациент на одномоментную имплантацию и удаление 2.1. Хотел бы обсудить с Вами случай. Что смущает: 1) Гранулема с резорбцией вестибулярной стенки в области верхушки. 2) Наличие выраженного широкого резцового канала, т.е. нельзя уйти небно. 3) Тонкая вестибулярная пластинка, нужно подумать, как лучше удалить, думается, что если удалять по классике, то рычагом вестибулярка уйдет.Сам склоняюсь к отсроченной имплантации.Предварительно мои мысли: 1) Выбрать ось имплантации соосно зубу, на несколько градусов более палатинально 2) Отслоиться достаточно хорошо, выполнить кюретаж гранулемы, осмотреть дефект 3) Установить имплантат, зазор заполнить графтом, образовавшееся окно закрыть резорбируемой мембраной.Что вы думаете об этом? Изменено 8 августа, 2020 пользователем darkdiablo40 Ссылка на комментарий
Irouil Опубликовано 8 августа, 2020 Поделиться Опубликовано 8 августа, 2020 (изменено) Нормальные условия для одномоментной имплантации. Даже без idr нормальные, но лучше с ней. А какие окна Вы собираетесь закрывать, если планируете отсроченно крутить? P.S. Лучше создайте свою тему Изменено 8 августа, 2020 пользователем Irouil Ссылка на комментарий
darkdiablo40 Опубликовано 8 августа, 2020 Поделиться Опубликовано 8 августа, 2020 (изменено) Собираюсь одномоментно, но смущают вышеперечисленные особенности, чтобы не привело к дефекту вестибулярной пластинки в области имплантата.Закрывать писал при одномоментной методике. Изменено 8 августа, 2020 пользователем darkdiablo40 Ссылка на комментарий
Irouil Опубликовано 8 августа, 2020 Поделиться Опубликовано 8 августа, 2020 Какой у Вас опыт одномоментных работ? Ссылка на комментарий
Александр07 Опубликовано 12 августа, 2020 Автор Поделиться Опубликовано 12 августа, 2020 Коллеги вот как сделали в итоге, отправляю фото 1 Ссылка на комментарий
Александр07 Опубликовано 14 августа, 2020 Автор Поделиться Опубликовано 14 августа, 2020 Коллеги планируется имплантация на вч-удаление 2.4,2.6, 2.7 под ? ( ферула нет после снятие мк, можно попробовать удлинить но ортопед не особо настроен ) , здесь сложность в том что пац не может ходить без зубов, чтобы окружающие не знали об этом, Первый вариант это удаление 2.4-2.6 и капа , второй вариант это убрать 2.4,26.2,7 и импл с нагрузкой 2.4,2.5, 2.7 Вот срезы, скажите что думаете , насколько вероятно нагрузить и стоит ли, в обл 2.5 по хорошему откр с лифт, можно попробовать закрытый, 2.7 придётся смещать к перегородке межзубной Ссылка на комментарий
Рекомендуемые сообщения
Для публикации сообщений создайте учётную запись или авторизуйтесь
Вы должны быть пользователем, чтобы оставить комментарий
Создать аккаунт
Зарегистрируйте новый аккаунт в нашем сообществе. Это очень просто!
Регистрация нового пользователяВойти
Уже есть аккаунт? Войти в систему.
Войти