Оvzaika Опубликовано 30 июня, 2020 Поделиться Опубликовано 30 июня, 2020 Добрый день!Столкнулась со следующей проблемой - весна 2019 пошла лечит 5-ку право вверх - пульпит - промывали каналы, промывочная жидкость вышла из носа были неприятные ощущения около 2х суток, потом периодически при наклоне головы подкапывала желтая жидкость - стоматолог сказал всё нормально такое бывает, в августе 2019 начала болеть челюсть справа +при наклоне головы уже капала розовая жидкость, пошла к ЧХЛ с МРТ ВЧНС сказал киста надо удалять вместе с зубом, удалила кисту и зуб 6-ку справа верх, осенью того же года начала болеть голова затылок справа на МРТ головы обнаружили заполненную справа пазуху жидкостью, два месяца пытаюсь лечить дома по рекомендациям лора, в январе иду в стационар на прокол, два дня нахожусь в больнице с катетером промываю физ раствором, отпускают домой дают рекомендации + снимок через месяц!через месяц сделала снимок и всё тоже самое - стоит уровень жидкости.Сама на протяжении этого месяца понимаю что ситуация не поменялась так как научилась промывать пазуху Долфином и через каждые два-три дня выходит жидкость иногда прозрачного иногда светло -желтого цвета, без запаха, неплотна, скорее всего не гной.Опять иду в туже больницу (г. СПБ Желензнодорожная больница на Мечникова) показываю снимок, теперь уже новая версия что на 5-ке справа осталась толи киста толи инфекция которая дает воспаление в пазуху, советуют удалять 5-ку как причинный зуб. Но сначала сомневаются не дает ли воспаление маленький кусок пломбировочного материала в этой же пазухе, собирают консилиум с хирургом и приходят к мнению что нет, однозначно этот кусок не может давать такого воспаления.Хорошо опять ложусь в стационар на удаление 5-ки+прокол, всё сделали, отпускают с рекомендациями домой+ через два месяца на снимок. В течении этого времени опять вижу что картина не поменялась, после промывки Долфином отсмаркиваю непонятную жидкость+по задней стенке иногда чувствую как стекает жидкость.Также в течении этого времени была на консультации у хирурга-имплантолога стоматолога который также пришел к мнению что тот пломбировочный материал не дает этого воспаления, была в гнойной хирургии на Авангардной вскрывать пазуху через десну не хотят так как не видят острой необходимости, также была в больнице на Костюшко д.2 у врача который проводит эндоскопические операции - по его словам многие живут с таким воспалением и ничего, лезть эндоскопом тоже крайне не рекомендовал сказал еще больше навредить.Высказал предположение что воспаление дают ткани которые рубцуются после удаления зубов. В общем ситуация следующая никто не может точно объяснить что делать и как мне поставить обратно два зуба!Очень прошу помощи!Может кто посоветует хорошего хирурга или ЧЛХ по этой части в Санкт-Петербурге?Есть КТ свежее верхней челюсти справа 8,5*5,но сюда не могу подгрузить, могу скинуть на почту. Ссылка на комментарий
Irouil Опубликовано 30 июня, 2020 Поделиться Опубликовано 30 июня, 2020 В железнодорожке хорошая команда члх и лоров, оперирующие, опытные эндоскописты. Скинул почту в личку, но лучше попробовать кт выложить на файлообменник со срезами, есть инструкция в закреплённой теме Ссылка на комментарий
Оvzaika Опубликовано 30 июня, 2020 Автор Поделиться Опубликовано 30 июня, 2020 Не спорю в ЖД хорошие врачи, но в моем случае пока все безрезультатно https://yadi.sk/d/3cYKgwCd8aFWzg КТ прикрепила на яндекс диск Ссылка на комментарий
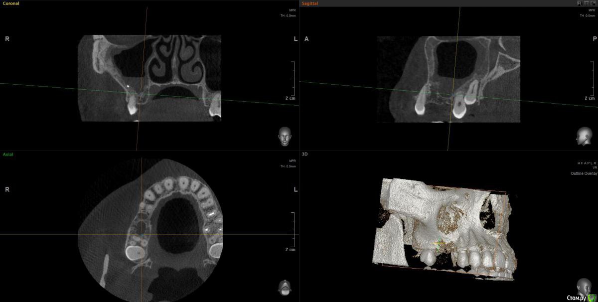
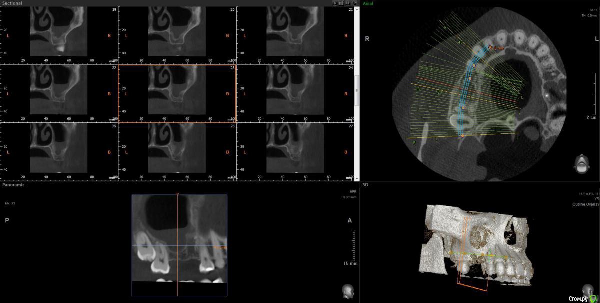
wladdX Опубликовано 30 июня, 2020 Поделиться Опубликовано 30 июня, 2020 Несколько скриншотов из КЛКТ 2 Ссылка на комментарий
колесников Опубликовано 30 июня, 2020 Поделиться Опубликовано 30 июня, 2020 Есть жидкость в пазухе на момент снимка. Можно только предполагать что является причиной воспаления,полной картины нет. Возможно это рельеф дна пазухи. В области 6ки углубление,где как в колодце застаивается слизь и прочее что попадает в полость и естественного дренажа не происходит. Я бы рекомендовал поставить 2 импланта 5,6. В области 6го провести закрытый синуслифтинг. Рельеф дна пазухи выровняется и вероятно обострений больше не будет. По крайней мере процессы происходящие в пазухе никак не повлияют на имплантацию,тогда как имплантация может купировать процессы в пазухе. Ссылка на комментарий
Оvzaika Опубликовано 1 июля, 2020 Автор Поделиться Опубликовано 1 июля, 2020 Несколько скриншотов из КЛКТ 25_1.jpg25_2.jpg26_1.jpg26_2.jpgH_M.jpgСпасибо! Ссылка на комментарий
Оvzaika Опубликовано 1 июля, 2020 Автор Поделиться Опубликовано 1 июля, 2020 Есть жидкость в пазухе на момент снимка. Можно только предполагать что является причиной воспаления,полной картины нет. Возможно это рельеф дна пазухи. В области 6ки углубление,где как в колодце застаивается слизь и прочее что попадает в полость и естественного дренажа не происходит. Я бы рекомендовал поставить 2 импланта 5,6. В области 6го провести закрытый синуслифтинг. Рельеф дна пазухи выровняется и вероятно обострений больше не будет. По крайней мере процессы происходящие в пазухе никак не повлияют на имплантацию,тогда как имплантация может купировать процессы в пазухе.добрый день! пока есть воспаление за имплантацию 6-ки никто не берется, вчера один врач предложил сделать синусотомию под местным наркозом убрать все что будет в пазухе подождать месяц заживления и потом делать синус-лифтинг. Ссылка на комментарий
колесников Опубликовано 1 июля, 2020 Поделиться Опубликовано 1 июля, 2020 добрый день! пока есть воспаление за имплантацию 6-ки никто не берется, вчера один врач предложил сделать синусотомию под местным наркозом убрать все что будет в пазухе подождать месяц заживления и потом делать синус-лифтинг. как ни абсурдно звучит,я бы предложил вначале провести имплантацию с синуслифтингом,а после понаблюдать и возможно санировать пазуху. Если сделать как Вам предлагали,есть вероятность что пауза будет не месяц а больше,а за это время в эту ямку снова соберётся жидкость с последующим инфицированием. Нет ямки-нет условий для застоя жидкости. Ссылка на комментарий
Рекомендуемые сообщения
Для публикации сообщений создайте учётную запись или авторизуйтесь
Вы должны быть пользователем, чтобы оставить комментарий
Создать аккаунт
Зарегистрируйте новый аккаунт в нашем сообществе. Это очень просто!
Регистрация нового пользователяВойти
Уже есть аккаунт? Войти в систему.
Войти