Bruks Опубликовано 29 июня, 2020 Поделиться Опубликовано 29 июня, 2020 Добрый вечер, коллегиПодскажите пожалуйста, на каком срезе нужно анализировать суставную щель в сагиттальной плоскости? Примеры далее: Ссылка на комментарий
Bruks Опубликовано 29 июня, 2020 Автор Поделиться Опубликовано 29 июня, 2020 Уточню, если непонятно выразился: Если смотреть на фронтальную проекцию КТ (окно слева вверху), то срез может быть установлен в средней или боковой части мыщелка. Это влияет на размеры суставной щели в сагиттальной плоскости (окно справа вверху). Поэтому если установить срез неправильно, то оценка положения мыщелка и суставной щели окажется искажённой. Пытаюсь найти самый правильный вариант. Спасибо 1 Ссылка на комментарий
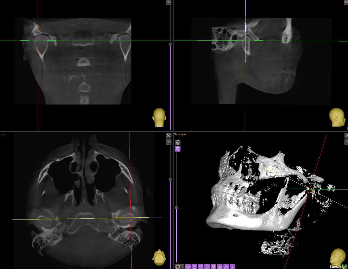
АнтонТЛТ Опубликовано 29 июня, 2020 Поделиться Опубликовано 29 июня, 2020 Срезы надо иначе выставлять, крутануть перекрестие. Примерно чтобы вот так получилось. Ссылка на комментарий
АнтонТЛТ Опубликовано 29 июня, 2020 Поделиться Опубликовано 29 июня, 2020 Вот так короче) 1 Ссылка на комментарий
Bruks Опубликовано 29 июня, 2020 Автор Поделиться Опубликовано 29 июня, 2020 Вот так короче) Понял, большое спасибо Ссылка на комментарий
Рекомендуемые сообщения
Для публикации сообщений создайте учётную запись или авторизуйтесь
Вы должны быть пользователем, чтобы оставить комментарий
Создать аккаунт
Зарегистрируйте новый аккаунт в нашем сообществе. Это очень просто!
Регистрация нового пользователяВойти
Уже есть аккаунт? Войти в систему.
Войти