Илья Т. Опубликовано 24 июня, 2020 Поделиться Опубликовано 24 июня, 2020 (изменено) Добрый день! 3 месяца назад была проведена имплантация 21 зуба, до этого за еще за 3 месяца был удален этот зуб и в лунку заложен костный материал (т.к имплантолог изучив КТ сказал что кости не много и сверху находится пазуха, необходимо подсыпать костный материал туда). 1 июля идти с КТ на слепки, сделав вчера КТ решил посмотреть его сам и меня смутило, что в некоторых положениях справа от имплантата (где нёбо) как бы пустота? А когда подкрутив колесико на мышке как бы меняется резкость, то она пропадает? Можно ли по скринам определить нормально ли интегрировался имплантат и нормальный ли объем костной ткани? Изменено 24 июня, 2020 пользователем Илья Т. Ссылка на комментарий
Irouil Опубликовано 24 июня, 2020 Поделиться Опубликовано 24 июня, 2020 Пустота - скорее всего просто засветка от имплантата. Снимки выглядят нормально. Интеграция имплантов проверяется не по снимкам 3 Ссылка на комментарий
Илья Т. Опубликовано 24 июня, 2020 Автор Поделиться Опубликовано 24 июня, 2020 Пустота - скорее всего просто засветка от имплантата. Снимки выглядят нормально. Интеграция имплантов проверяется не по снимкамА как определяется, динамометрическим ключом? И для чего тогда врач сказал обязательно КТ сделать?) Ссылка на комментарий
Irouil Опубликовано 24 июня, 2020 Поделиться Опубликовано 24 июня, 2020 А как определяется, динамометрическим ключом?Грубо говоря - да 1 Ссылка на комментарий
Bier Опубликовано 26 июня, 2020 Поделиться Опубликовано 26 июня, 2020 А как определяется, динамометрическим ключом? И для чего тогда врач сказал обязательно КТ сделать?)чтобы убедиться, что нет проблем. Ссылка на комментарий
Илья Т. Опубликовано 2 июля, 2020 Автор Поделиться Опубликовано 2 июля, 2020 Снимки выглядят нормально.А подскажите ещё с фронтальной части достаточно объема кости? Просто где то прочитал, что чтобы имплантат долго стоял необходимо сколько то миллиметров кости вокруг него чтобы было обязательно... Ссылка на комментарий
red_butler Опубликовано 2 июля, 2020 Поделиться Опубликовано 2 июля, 2020 А подскажите ещё с фронтальной части достаточно объема кости? ДОСТАТОЧНО 1 Ссылка на комментарий
red_butler Опубликовано 7 июля, 2020 Поделиться Опубликовано 7 июля, 2020 тему можно закрывать? Ссылка на комментарий
Илья Т. Опубликовано 17 июля, 2020 Автор Поделиться Опубликовано 17 июля, 2020 (изменено) Доброе утро! А подскажите ещё, поставили временную коронку на имплант, но она немного светлее остальных зубов, доктор сказал, что со временем немного потемнеет и что ее типа с запасом сделали по цвету, она правда потемнеет (сейчас она выделяется)? Просто обычно же по цвету подбирают с помощью специальных образцов?И еще доктор сказал, что рассматривая КТ что то увидел на 7 зубе, он живой или мертвый? Изменено 17 июля, 2020 пользователем Илья Т. Ссылка на комментарий
Irouil Опубликовано 17 июля, 2020 Поделиться Опубликовано 17 июля, 2020 доктор сказал, что со временем немного потемнеетЧаще всего так и бываетИ еще доктор сказал, что рассматривая КТ что то увидел на 7 зубе, он живой или мертвый?Если речь о нижнем зубе, то надо посмотреть оригинал томограммы, возможно просто в этом месте верхушки корней находятся в краю челюсти 1 Ссылка на комментарий
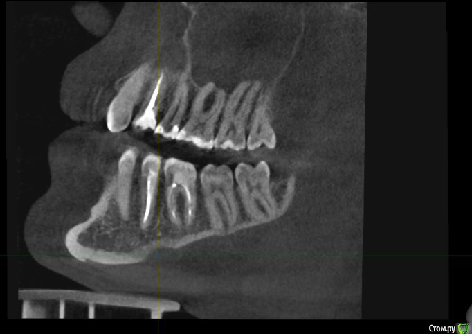
Илья Т. Опубликовано 17 июля, 2020 Автор Поделиться Опубликовано 17 июля, 2020 Чаще всего так и бываетЕсли речь о нижнем зубе, то надо посмотреть оригинал томограммы, возможно просто в этом месте верхушки корней находятся в краю челюстиДа нижняя 7-ка. Вот ссылка на оригинал КТ: https://yadi.sk/d/8OstTe5zOj4kLgБольшое спасибо за ответы) Ссылка на комментарий
Irouil Опубликовано 17 июля, 2020 Поделиться Опубликовано 17 июля, 2020 Мёртвый зуб, требуется эндодонтическое лечение, у верхушек корней воспалительный процесс 1 Ссылка на комментарий
Илья Т. Опубликовано 17 июля, 2020 Автор Поделиться Опубликовано 17 июля, 2020 Мёртвый зуб, требуется эндодонтическое лечение, у верхушек корней воспалительный процессА как так могло получиться? Он не беспокоит, внешне выглядит отлично (не потемнел). И давно вообще это могло с ним случиться? Ссылка на комментарий
Irouil Опубликовано 17 июля, 2020 Поделиться Опубликовано 17 июля, 2020 А как так могло получиться? Он не беспокоит, внешне выглядит отлично (не потемнел). И давно вообще это могло с ним случиться?Из-за глубокого кариеса в зубе развился бессимптомный хронический пульпит, потом кариес вылечили, наложили пломбу, но пульпит себя так и не проявил и плавно перешёл в хронический периодонтит - то, что происходит вокруг зуба сейчас 1 Ссылка на комментарий
Илья Т. Опубликовано 17 июля, 2020 Автор Поделиться Опубликовано 17 июля, 2020 Из-за глубокого кариеса в зубе развился бессимптомный хронический пульпит, потом кариес вылечили, наложили пломбу, но пульпит себя так и не проявил и плавно перешёл в хронический периодонтит - то, что происходит вокруг зуба сейчасА из за переохолождения могло быть? Просто мне пломбу на этот зуб поставили около 15 лет назад... Ссылка на комментарий
Irouil Опубликовано 17 июля, 2020 Поделиться Опубликовано 17 июля, 2020 А из за переохолождения могло быть?Из-за переохлаждения могло случиться только обострение, но не хронический процесс Ссылка на комментарий
Илья Т. Опубликовано 18 июля, 2020 Автор Поделиться Опубликовано 18 июля, 2020 Из-за переохлаждения могло случиться только обострение, но не хронический процессГде то 2 года назад я очень сильно переохолодился и у меня очень сильно болел зуб и я не мог понять какой 5,6(уже мертвый был) или 7. Врач долго проверяла на чувствительность зубы, делала снимки, пришли к выводу, что это пульпит 5 (она вообще была не лечена на тот момент и без признаков кариеса), после эндодонтического лечения боль ушла, но ещё долго немного ныло где то (возможно ныла 7 ка), т.к точно установить откуда боль не получалось... Ссылка на комментарий
Рекомендуемые сообщения
Для публикации сообщений создайте учётную запись или авторизуйтесь
Вы должны быть пользователем, чтобы оставить комментарий
Создать аккаунт
Зарегистрируйте новый аккаунт в нашем сообществе. Это очень просто!
Регистрация нового пользователяВойти
Уже есть аккаунт? Войти в систему.
Войти