Перейти к содержанию
Стоматология для всех

SOS! Скололись верхние зубы


Виктория1993

Рекомендуемые сообщения

Добрый вечер.  

 

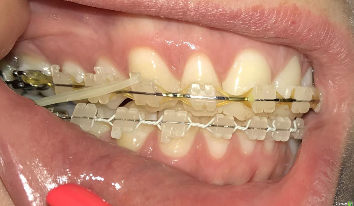
В ноябре 2017 года были установлены брекеты на верхнюю челюсть. Верхние зубы были целые, без сколов. 

 

Через 4 месяца были установлены брекеты на нижнюю челюсть, и тут начались проблемы. 2 передних верхних зуба стали на нижнее брекеты, а дальние зубы не соприкасались, надкусочные пломбы мне не поставили. И через месяц это привело к разрушению верхних зубов. Ортодонт полностью положил вину на меня, аргументируя это тем, что у меня бруксизм и мне надо перестать сжимать челюсть и попить успокоительные. я не отрицаю тот факт что у меня бруксизм, но по инерции челюсть хочет встать в привычное положение, а весь упор был на 2 передних зуба. 

 

 

 

После этого я обратилась в другую клинику, где мне нарастили сколотые участки, и 1 вопрос у стоматолога был "Почему врач не наклеил брекеты ниже" 

 

Когда я задала этот вопрос ортодонту, в ответ услышала очень иного умных ортодонтических терминов,  что я ничего не понимаю в лечении и установке. 

 

год назад врач переклеил почти все нижнее брекеты немного ниже. По собственной инициативе. Но зубы уже были испорчены. 

 

на данный момент сколото 5 верхних зубов. Верхние единицы стали короче, левая двойка сколотая. На клыках сколы. Не знаю что делать, лечение почти на финишной, состояние верхних зубов ужасное. Зубы испорчены. Врач никак не реагирует на эти ситуацию. Он не замечает этой проблемы. Подскажите что делать мне? кто виноват в этой ситуации? возможно ли  было наклеить брекеты ниже с самого начала? 

 

С ортодонтом спорить бесполезно. в любой ситуации виновата я. 

 

Помоги пожалуйста советом! 

post-60636-0-76878100-1592249537_thumb.jpg

post-60636-0-16963300-1592249570_thumb.jpg

post-60636-0-05655000-1592251871_thumb.jpg

post-60636-0-00556200-1592251933_thumb.jpg

post-60636-0-24367300-1592251943_thumb.jpg

post-60636-0-16244800-1592251955_thumb.jpg

post-60636-0-48583200-1592251962_thumb.jpg

Изменено пользователем Виктория1993
Ссылка на комментарий

 

 

Не знаю что делать, лечение почти на финишной, состояние верхних зубов ужасное....  Подскажите что делать мне? кто виноват в этой ситуации? возможно ли  было наклеить брекеты ниже с самого начала? 

Добрый день. Потерпите до окончания лечения, тем более  если уже финишная прямая. После снятия брекетов сколотые края можно будет отреставрировать.  По поводу положения брекетов не отвечу, т.к. не занимаюсь ортодонтией.

Ссылка на комментарий

Существуют разные школы ( методики) фиксации брекетов по высоте.

Вам стоит поступить так, как посоветовала доктор выше.

Ссылка на комментарий

Зубы конечно буду реставрировать.

В моём случае врач верно зафиксировал брекеты по высоте ?

Мне делали слепки перед лечением, я думаю понятно было, что будет такая ситуация. возможно надо было клеить металические брекеты, они намного меньше?

Или вина моя, в сложившейся ситуации ?

Могу выложить больше фото

Ссылка на комментарий

Я спрашиваю, не для того что бы с врача требовать компенсацию. Мне надо знать для себя. Лечится осталось не долго, врача уже менять не буду, надо было это делать сразу как начались проблемы. зубы выровнены правильно, вопросов к этому нет.

Ссылка на комментарий

К сожалению не все и не всегда можно спрогнозировать.. 

 

 

Лечится осталось не долго,... зубы выровнены правильно, вопросов к этому нет.
  а вот это правильно!)
Ссылка на комментарий

Для публикации сообщений создайте учётную запись или авторизуйтесь

Вы должны быть пользователем, чтобы оставить комментарий

Создать аккаунт

Зарегистрируйте новый аккаунт в нашем сообществе. Это очень просто!

Регистрация нового пользователя

Войти

Уже есть аккаунт? Войти в систему.

Войти
×
×
  • Создать...
Вверх