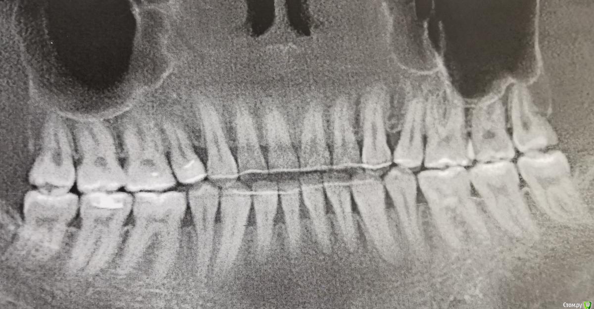
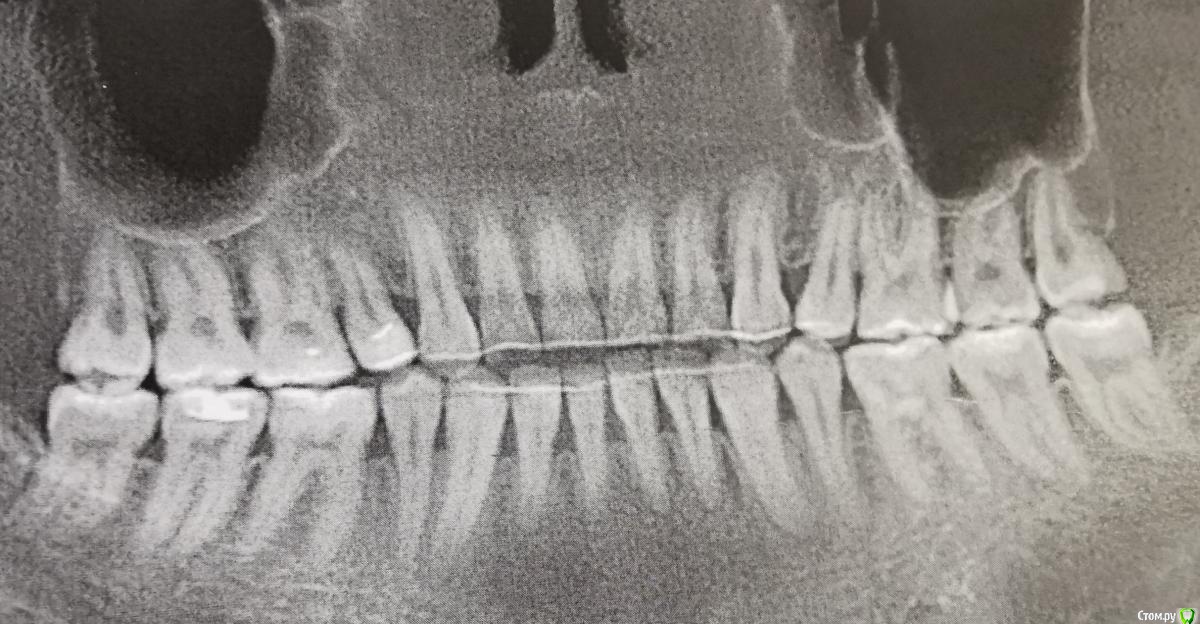
Даша45_ Опубликовано 15 июня, 2020 Поделиться Опубликовано 15 июня, 2020 Здравствуйте. Мне 29лет.Не помню когда точно начались проблемы, но в 2012 когда мне было 21 год Десна уже начала убывать. Тогда жила в маленьком городе. Ставили просто уколы и витамины. Десна уходила снизу, ничего не шаталось. Не было воспаление, крови при чистки, боли. Ничего. В 2016 году в начале года когда мне было 24 года я одела брекеты по настоянию врачей. Говорили при неправильном прикусе и скученности зубов Десна будет больше уходить. Сняла брекеты через 1.5 года. Все хорошо поставили. Сейчас ровно 3 года как сняла брекеты. Снизу Десна на передних зубах ушла больше. Иногда бывают неприятные чувства. Но ничего не воспалена и крови нет. Делала в этом году томографию и врачи сравнили с 2018 годом говорят изменений по кости нет. Все стабильно. Прикрепляю последнюю томографию. Что меня ждёт в будущем? Все очень плохо? Смогут ли поставить имплант или коронки с такой костью? Сьемную челюсть конечно в таком возрасте бы не хотелось Ссылка на комментарий
Irouil Опубликовано 15 июня, 2020 Поделиться Опубликовано 15 июня, 2020 Пока никакого повода ожидать худшего нет. Найдите просто грамотного пародонтолога и наблюдайтесь, возможно потребуется где-то закрытие рецессий, но после ортодонтии это дело обычное Ссылка на комментарий
Даша45_ Опубликовано 15 июня, 2020 Автор Поделиться Опубликовано 15 июня, 2020 Пока никакого повода ожидать худшего нет.Найдите просто грамотного пародонтолога и наблюдайтесь, возможно потребуется где-то закрытие рецессий, но после ортодонтии это дело обычноеА можно ли рожать? Зубы могут выпасть? Ссылка на комментарий
Irouil Опубликовано 15 июня, 2020 Поделиться Опубликовано 15 июня, 2020 А можно ли рожать? Зубы могут выпасть?Рожать можно, зубы не выпадут, но сходить к пародонтолгу до беременности все равно стоит, чтобы профилактировать дальнейшие возможные проблемы Ссылка на комментарий
Даша45_ Опубликовано 15 июня, 2020 Автор Поделиться Опубликовано 15 июня, 2020 Рожать можно, зубы не выпадут, но сходить к пародонтолгу до беременности все равно стоит, чтобы профилактировать дальнейшие возможные проблемы уе сходила сделали чистку, вектор терапию. Сказали каждые 3 мес ходить. Вот в феврале немного нижние 2зуба шатались сейчас вроде бы нормально. От переживаний так сердце болит уже Ссылка на комментарий
Марья Моревна Опубликовано 15 июня, 2020 Поделиться Опубликовано 15 июня, 2020 ПРФ - терапия иногда помогает.В перспективе возможно шинирование боковых зубов по жевательным поверхностям.С эндокринологией все в порядке? Ссылка на комментарий
Даша45_ Опубликовано 15 июня, 2020 Автор Поделиться Опубликовано 15 июня, 2020 ПРФ - терапия иногда помогает.В перспективе возможно шинирование боковых зубов по жевательным поверхностям.С эндокринологией все в порядке?Да, гормоны сдавала, узи гортани, зова нет. Всё в порядке. У меня уже стоят ретейнеры они почти как шинирование. ПРФ пока не надо говорят если беременность планирую. А на этом снимке кость хорошо видна или надо было грузить файл с диска томография? Если зубы выпадут мне смогут поставить имплпниы или коронки с такой костью? Съемную челюсть не хочу Ссылка на комментарий
Марья Моревна Опубликовано 17 июня, 2020 Поделиться Опубликовано 17 июня, 2020 Если ситуация будет ухудшаться,то,возможно,понадобится шинирование боковых.Но это может быть очень нескоро.Когда зубов не будет,тогда и надо будет решать вопрос о возможности имплантации. А пока просто живите долго и счастливо со своими зубами и помните о полноценном питании и здоровом образе жизни. Ссылка на комментарий
Даша45_ Опубликовано 17 июня, 2020 Автор Поделиться Опубликовано 17 июня, 2020 Если ситуация будет ухудшаться,то,возможно,понадобится шинирование боковых.Но это может быть очень нескоро.Когда зубов не будет,тогда и надо будет решать вопрос о возможности имплантации. А пока просто живите долго и счастливо со своими зубами и помните о полноценном питании и здоровом образе жизни.Спасибо большоеНо иногда бывает некомфортно или будто Десна ноетЭто нормально? Ссылка на комментарий
Даша45_ Опубликовано 17 июня, 2020 Автор Поделиться Опубликовано 17 июня, 2020 Уже писала недавно. Проблемы с десной с 2011-2012гг.В период с 2015-2017 носила брекеты по настоянию врачей. Сняла ровно 3 года назад. Делала кт говорят страшно ушла кость и за ней и Десна. Сравнивали кт 2018 года и этого сказали изменений нет. Воспаление, гноя, кровоточивости нет. Ну спереди очень ушло за 3 года. Иногда неприятные ощущения. Что делать? Планирую беременностт. Насколько все плохо. Мне 29лет Ссылка на комментарий
Irouil Опубликовано 17 июня, 2020 Поделиться Опубликовано 17 июня, 2020 На мой взгляд (судя по Вашим фото из второй темы), Вам надо закрыть рецессии Ссылка на комментарий
Даша45_ Опубликовано 17 июня, 2020 Автор Поделиться Опубликовано 17 июня, 2020 На мой взгляд (судя по Вашим фото из второй темы), Вам надо закрыть рецессии а мне говорят кости нет? Не закрепиться ((( у меня очень страшная ситуация да? Смогу ли родить? Ссылка на комментарий
Irouil Опубликовано 17 июня, 2020 Поделиться Опубликовано 17 июня, 2020 а мне говорят кости нет? Не закрепиться ((( у меня очень страшная ситуация да? Смогу ли родить?Хватит паниковать, ничего страшного нет. Ссылка на комментарий
Рекомендуемые сообщения
Для публикации сообщений создайте учётную запись или авторизуйтесь
Вы должны быть пользователем, чтобы оставить комментарий
Создать аккаунт
Зарегистрируйте новый аккаунт в нашем сообществе. Это очень просто!
Регистрация нового пользователяВойти
Уже есть аккаунт? Войти в систему.
Войти