Перейти к содержанию
Стоматология для всех

Проблемы с дёснами, белые пятнышки, болезненные


ijaija

Рекомендуемые сообщения

Добрый день, столкнулся с одной проблемой, решил написать на форум.

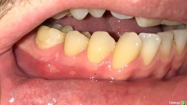
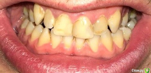
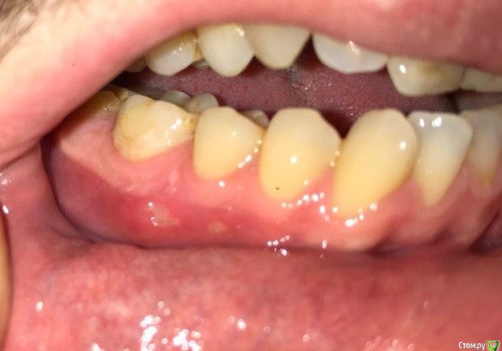
У меня месяц назад появилось белое небольшое пятно диам. 2-3 мм. на десне наверху справа, болезненное, регировало на солёную еду, вызывало боль... спустя недели 2 оно прошло само собой, я старался лишний раз зубы не чистить, т.к. боялся травмировать дёсны, чтобы это снова не повторилось.

Вот 5 дней назад чистил зубы и после этого на следующий день появились неприятные ощущения снизу справа.

сегодня обрабатывал полость рта при помощи ирригатора, думал что-то попало между дёснами, стал присматриваться в зеркало и обнаружил следующее: два белых пятна как в прошлый раз: одно чуть больше и по центру будто отверстие прямо в десну.

прилагаю фото. 

Подскажите пожалуйста, что это может быть? просто стоматиты? или повышенная чувствительность дёсен? гингивит? пародонтоз? рецессия десен?

я надеюсь не лейкоплакия, очень её боюсь, начитался про неё.. хоть и курить бросил уже год.

post-51444-0-11732700-1591901195_thumb.jpg

post-51444-0-19552900-1591901228_thumb.jpg

post-51444-0-92340900-1591901249_thumb.jpg

post-51444-0-01828500-1591901257_thumb.jpg

post-51444-0-65225600-1591901792_thumb.jpg

post-51444-0-12832700-1591901802_thumb.jpg

post-51444-0-10833500-1591901810_thumb.jpg

Изменено пользователем ijaija
  • Поддерживаю 1
Ссылка на комментарий

 

 

а как проводить профилактику?

убрать пальцы из за рта  :) , когда снимут ограничение посетить гигиениста, поддерживать полноценную индивидуальную гигиену. при необходимости санировать полость рта.

 

 

и чем лечить?

само пройдет 

  • Поддерживаю 2
Ссылка на комментарий

убрать пальцы из за рта  :) , когда снимут ограничение посетить гигиениста, поддерживать полноценную индивидуальную гигиену. при необходимости санировать полость рта.

 

 

само пройдет 

 

убрать пальцы из за рта  :) , когда снимут ограничение посетить гигиениста, поддерживать полноценную индивидуальную гигиену. при необходимости санировать полость рта.

 

 

само пройдет 

Спасибо, Огромное Доктор!)

Ссылка на комментарий

Для публикации сообщений создайте учётную запись или авторизуйтесь

Вы должны быть пользователем, чтобы оставить комментарий

Создать аккаунт

Зарегистрируйте новый аккаунт в нашем сообществе. Это очень просто!

Регистрация нового пользователя

Войти

Уже есть аккаунт? Войти в систему.

Войти
×
×
  • Создать...
Вверх