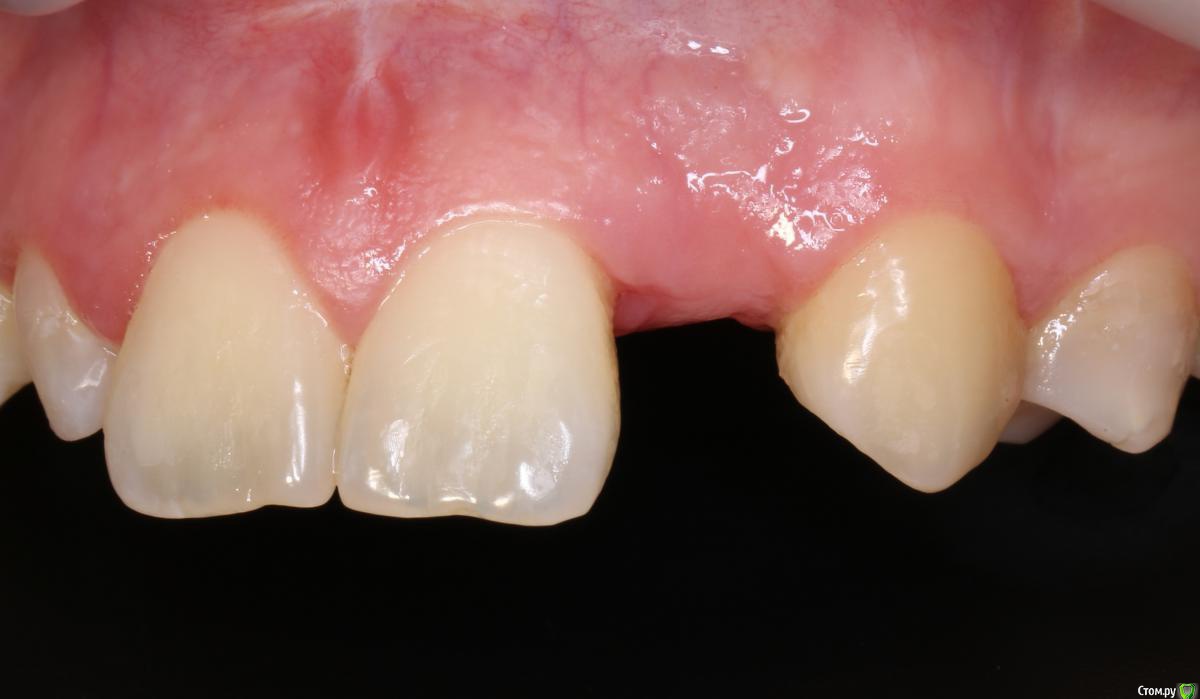
igorgergg Опубликовано 11 июня, 2020 Поделиться Опубликовано 11 июня, 2020 (изменено) Коллеги, всем хорошего дня. Пациентка пришла от ортодонта на имплантацию 12 зуба. По вершине гребя расстояние между зубами 4.5 - 5 мм, но возле корней оно уменьшается - 4 мм.Планирую поставить альфабио диаметром 3.2мм, который сужается к 2мм апексу. Стоит ли? Или все-таки места маловато и лучше ортодонту немного раздвинуть, что также вызывает вопрос - сможет ли ортодонт это сделать. С левой стороны двойку уже поставили в прошлый визит. Срезы кт прилагаю. https://a.radikal.ru/a19/2006/6e/463468adb9e8.jpg Изменено 11 июня, 2020 пользователем igorgergg Ссылка на комментарий
red_butler Опубликовано 11 июня, 2020 Поделиться Опубликовано 11 июня, 2020 Стоит ли? не стоит Или все-таки места маловато и лучше ортодонту немного раздвинуть да Ссылка на комментарий
igorgergg Опубликовано 11 июня, 2020 Автор Поделиться Опубликовано 11 июня, 2020 (изменено) не стоит даспасибо за ответ а то что имплант с другой стороны уже поставили в области 22, ортодонту не помещает в движении зубов? Изменено 11 июня, 2020 пользователем igorgergg Ссылка на комментарий
red_butler Опубликовано 11 июня, 2020 Поделиться Опубликовано 11 июня, 2020 спасибо за ответ а то что имплант с другой стороны уже поставили в области 22, ортодонту не помещает в движении зубов?Я не экстрасенс...кто занимался планированием лечения? Ссылка на комментарий
Дмитрий Л. Опубликовано 11 июня, 2020 Поделиться Опубликовано 11 июня, 2020 Может и прокатить, но если не получится - убьёте навсегда эстетику. Ссылка на комментарий
kramer Опубликовано 11 июня, 2020 Поделиться Опубликовано 11 июня, 2020 Интересный у вас подход, сначала имплантируете, потом думаете про ортодонтию 1 Ссылка на комментарий
kramer Опубликовано 11 июня, 2020 Поделиться Опубликовано 11 июня, 2020 От платформы до зубов должно быть хотя б 1,5 мм. 3,2+1,5+1,5=6,2 мм. Места нет. 2 Ссылка на комментарий
red_butler Опубликовано 11 июня, 2020 Поделиться Опубликовано 11 июня, 2020 Плюс альфабио на Имплантах 3,3 в крестальной части Имеют диаметр 3,7 1 Ссылка на комментарий
EEcho Опубликовано 11 июня, 2020 Поделиться Опубликовано 11 июня, 2020 Даже если взять имплант Штрауман 2.9мм, или Антожир 2.8мм, - места все равно не хватит.Только, Ортодонт в помощь!!! Как вариант- можно взять одноэтапники : 1.9мм, 2.1мм, .2.3мм, но это в ущерб эстетики! 1 Ссылка на комментарий
Irouil Опубликовано 11 июня, 2020 Поделиться Опубликовано 11 июня, 2020 Как вариант- можно взять одноэтапники : 1.9мм, 2.1мм, .2.3мм, но это в ущерб эстетики!Ну, это уже почему? Ссылка на комментарий
EEcho Опубликовано 11 июня, 2020 Поделиться Опубликовано 11 июня, 2020 У большинства систем фиксация самого абатмента цементная, или десневая полированная часть импланта короткая ( не больше 3мм), при достаточно толстой десне , граница соединения будет глубоко под десной, что чревато. Ссылка на комментарий
Irouil Опубликовано 11 июня, 2020 Поделиться Опубликовано 11 июня, 2020 У большинства систем фиксация самого абатмента цементная, или десневая полированная часть импланта короткая ( не больше 3мм), при достаточно толстой десне , граница соединения будет глубоко под десной, что чревато.Что тут не решаемо? Перевести толщину слизистой в ширину нельзя правильной моделировкой поддесневой части? Или нет аккуратных протоколов цементирования? В общем, на мой взгляд этот вариант тоже возможен и никаких нерешаемых задач он не ставит перед врачом. Но логичнее создать условия для классической имплантации 1 Ссылка на комментарий
krokomot Опубликовано 11 июня, 2020 Поделиться Опубликовано 11 июня, 2020 Сбросте кт Ссылка на комментарий
Fin Опубликовано 12 июня, 2020 Поделиться Опубликовано 12 июня, 2020 Плюс альфабио на Имплантах 3,3 в крестальной части Имеют диаметр 3,7На старых моделях с шестигранником, сейчас есть конусы 3,2 и 3,5 Ссылка на комментарий
Bier Опубликовано 12 июня, 2020 Поделиться Опубликовано 12 июня, 2020 нужен штрауман 2.9 2 Ссылка на комментарий
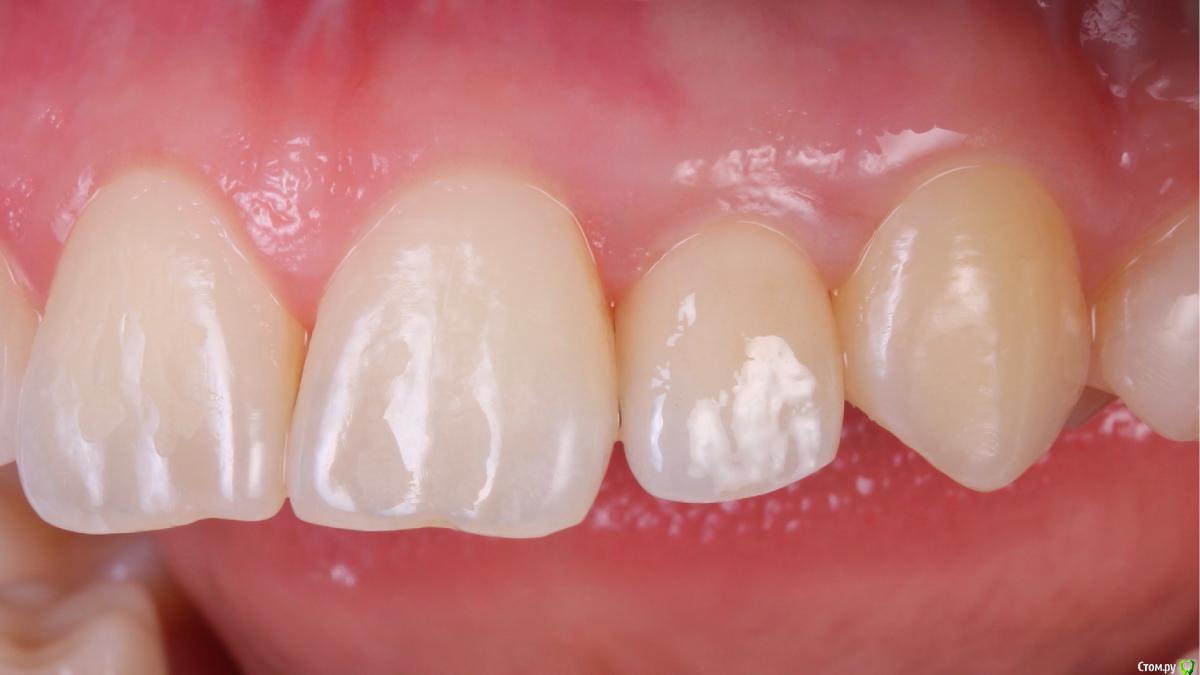
johniola Опубликовано 13 июня, 2020 Поделиться Опубликовано 13 июня, 2020 нужен штрауман 2.9IMG_0519.jpgIMG_8537.jpegАесли не штрауман 3.0? Ссылка на комментарий
red_butler Опубликовано 13 июня, 2020 Поделиться Опубликовано 13 июня, 2020 нужен штрауман 2.9IMG_0519.jpgIMG_8537.jpegЗдесь же больше 5 мм расстояние 2 Ссылка на комментарий
Irouil Опубликовано 14 июня, 2020 Поделиться Опубликовано 14 июня, 2020 Здесь же больше 5 мм расстояниеСогласен, выглядит именно так Ссылка на комментарий
Рекомендуемые сообщения
Для публикации сообщений создайте учётную запись или авторизуйтесь
Вы должны быть пользователем, чтобы оставить комментарий
Создать аккаунт
Зарегистрируйте новый аккаунт в нашем сообществе. Это очень просто!
Регистрация нового пользователяВойти
Уже есть аккаунт? Войти в систему.
Войти