Mikalaika Опубликовано 8 июня, 2020 Поделиться Опубликовано 8 июня, 2020 Проблема с моим 37 зубом. Не могу понять, что не так. Эндо делалось за 1 посещение (зуб был живым) в январе 2020. Переодонтита не было. Камера пульпы до эндо вскрыта не была. Каналы обтурировались гуттакор. Сначала каналы не дошли до апексов, вставили разогретые штифты, штифты достали, разогрели новые штифты, вставили, надавили сильнее. Также врач говорила, что канал сишейп и внутри его надо чем-то заполнить, заполнила еще одним гутакорштифтом.До эндо зуб никакой реакции на перкуссию не давал.После эндо сразу (на следующий день) появилась реакция на перкуссию, особенно на боковую. Эта реакция сохранилась до сих пор. Попадаю щеткой или языком в бок зуба и чувствую. Если взять его и еле-еле пошатать, то чувствуется. Остальные зубы, так себя не ведут. Сейчас дополнительно стал ощущать какое-то давление на корне и без нагрузки, типа боли, но другое... как бы распирание. Это в состоянии покоя, обычно перед сном. При этом смотрю на КЛКТ, все выглядит нормально. Единственное, что необычно, апексы не внизу, а сбоку, где и заканчивается абтурация.Если Вас не затруднит, посмотрите КЛКТ и скажите, нужно ли переделать эндо, если нужно, то что при переделке попытаться сделать.Ссылка на КЛКТ https://drive.google.com/drive/folders/1FZfjsKkzBZlVm9oEZJ3iU6O9KBGLQJzx?usp=sharing Ссылка на комментарий
red_butler Опубликовано 8 июня, 2020 Поделиться Опубликовано 8 июня, 2020 Если Вас не затруднит, посмотрите КЛКТ архив мало кто из докторов захочет или сможет скачать, выкладывайте срезы Кт Ссылка на комментарий
Mikalaika Опубликовано 8 июня, 2020 Автор Поделиться Опубликовано 8 июня, 2020 архив мало кто из докторов захочет или сможет скачать, выкладывайте срезы Кт Я в этом не разбираюсь Ссылка на комментарий
red_butler Опубликовано 8 июня, 2020 Поделиться Опубликовано 8 июня, 2020 Я в этом не разбираюсь« При этом смотрю на КЛКТ, все выглядит нормально. »Покажите что Вы смотрели Ссылка на комментарий
Mikalaika Опубликовано 8 июня, 2020 Автор Поделиться Опубликовано 8 июня, 2020 « При этом смотрю на КЛКТ, все выглядит нормально. »Покажите что Вы смотрелиВрач, которая лечила, позвала и показала. Сказала, что все ОК. Прошу не надо пустых ответов. Я не стоматолог, не разбираюсь в КЛКТ. А ты от меня какие-то срезы просишь. 3 Ссылка на комментарий
red_butler Опубликовано 8 июня, 2020 Поделиться Опубликовано 8 июня, 2020 Врач, которая лечила, позвала и показала. Сказала, что все ОК. Прошу не надо пустых ответов. Я не стоматолог, не разбираюсь в КЛКТ. А ты от меня какие-то срезы просишь. Так собственно такими темпами Вы никаких ответов не получите...P.s. А мы на Ты? Ссылка на комментарий
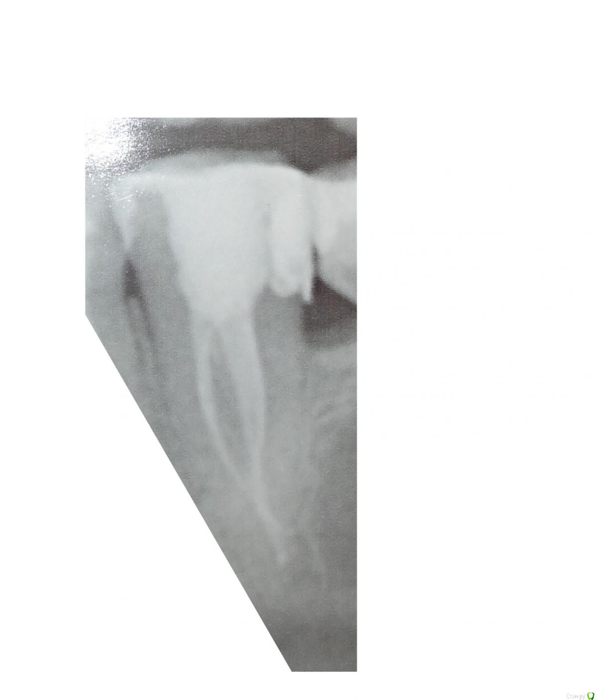
Mikalaika Опубликовано 8 июня, 2020 Автор Поделиться Опубликовано 8 июня, 2020 Это 2D снимок (фотографии сделаны с распечтки на фотобумаге) Ссылка на комментарий
Mikalaika Опубликовано 10 июня, 2020 Автор Поделиться Опубликовано 10 июня, 2020 Ни одного ответа. Хотя бы ответьте:1. Дошли ли во всех корнях до анатомического апекса?2. Если не дошли, может ли оставшийся обрубок корня в канале давать такую чувствительность?3. Может ли быть что-то нехорошее, если не пройти каналы до анатомического апекса? Ссылка на комментарий
St. Опубликовано 10 июня, 2020 Поделиться Опубликовано 10 июня, 2020 По 2д, насколько позволяет рассмотреть качество, все выглядит хорошо Ссылка на комментарий
Рекомендуемые сообщения
Для публикации сообщений создайте учётную запись или авторизуйтесь
Вы должны быть пользователем, чтобы оставить комментарий
Создать аккаунт
Зарегистрируйте новый аккаунт в нашем сообществе. Это очень просто!
Регистрация нового пользователяВойти
Уже есть аккаунт? Войти в систему.
Войти