Перейти к содержанию
Стоматология для всех

Помогите расшифровать панорамный снимок


glebz

Рекомендуемые сообщения

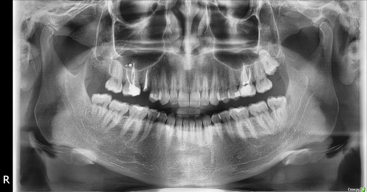
Уважаемые специалисты, что вы можете сказать по поводу верхних 4-5-6 зубов?

Есть ли проблемы в гайморовой пазухе справа и с 5 зубом (вернее его корнем)?

Что за проблема с левой стороне в 6ом зубе. Что может означать трещина в пломбе?

Возможно видны еще какие-то проблемы.

Спасибо заранее.

post-60197-0-93288700-1591464264_thumb.jpg

Ссылка на комментарий

Уважаемые специалисты, что вы можете сказать по поводу верхних 4-5-6 зубов?

 

Есть ли проблемы в гайморовой пазухе справа и с 5 зубом (вернее его корнем)?

 

Что за проблема с левой стороне в 6ом зубе. Что может означать трещина в пломбе?

 

Возможно видны еще какие-то проблемы.

 

Спасибо заранее.

 

attachicon.gifпанорамазубов.jpg

По снимку гайморова пазуха справа чистая.Есть выведение материала но если у вас с той стороны постоянной заложенности носа нет то это  ничего страшного.С корнем все нормально ,но это сугубо по снимку.А так надо во рту визуально оценивать на что он сгодится.Есть карман за 6 зубом.Надо делать коронки и вкладки если корень 5 в хорошем состояние.Слева тоже все нормально но тоже пломбу надо менять на коронку.А "трещина" в пломбе это скорее всего пора или не рентгеноконтрастная прокладка между пломбировкой корневых каналов и постоянной пломбой.Делайте коронки

Ссылка на комментарий

По снимку гайморова пазуха справа чистая.Есть выведение материала но если у вас с той стороны постоянной заложенности носа нет то это  ничего страшного.С корнем все нормально ,но это сугубо по снимку.А так надо во рту визуально оценивать на что он сгодится.Есть карман за 6 зубом.Надо делать коронки и вкладки если корень 5 в хорошем состояние.Слева тоже все нормально но тоже пломбу надо менять на коронку.А "трещина" в пломбе это скорее всего пора или не рентгеноконтрастная прокладка между пломбировкой корневых каналов и постоянной пломбой.Делайте коронки

Спасибо огромное за консультацию!

 

  • Поддерживаю 1
Ссылка на комментарий

Для публикации сообщений создайте учётную запись или авторизуйтесь

Вы должны быть пользователем, чтобы оставить комментарий

Создать аккаунт

Зарегистрируйте новый аккаунт в нашем сообществе. Это очень просто!

Регистрация нового пользователя

Войти

Уже есть аккаунт? Войти в систему.

Войти
×
×
  • Создать...
Вверх