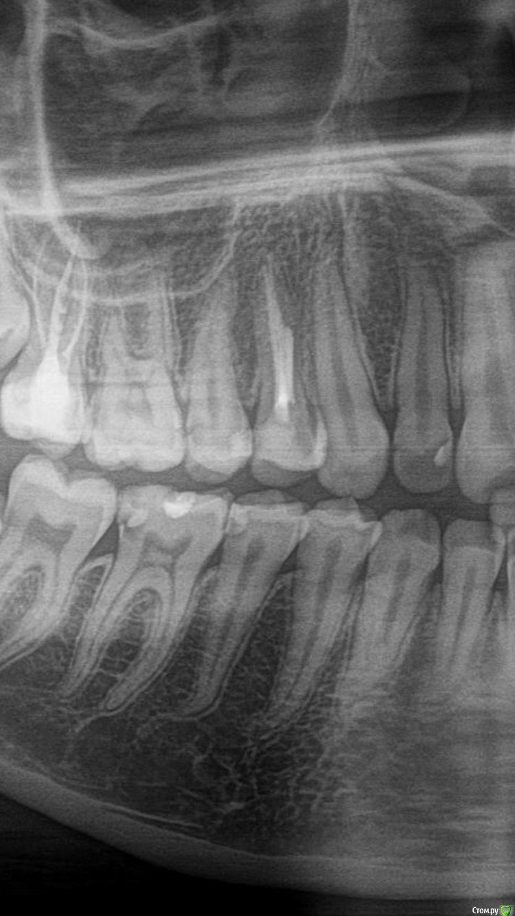
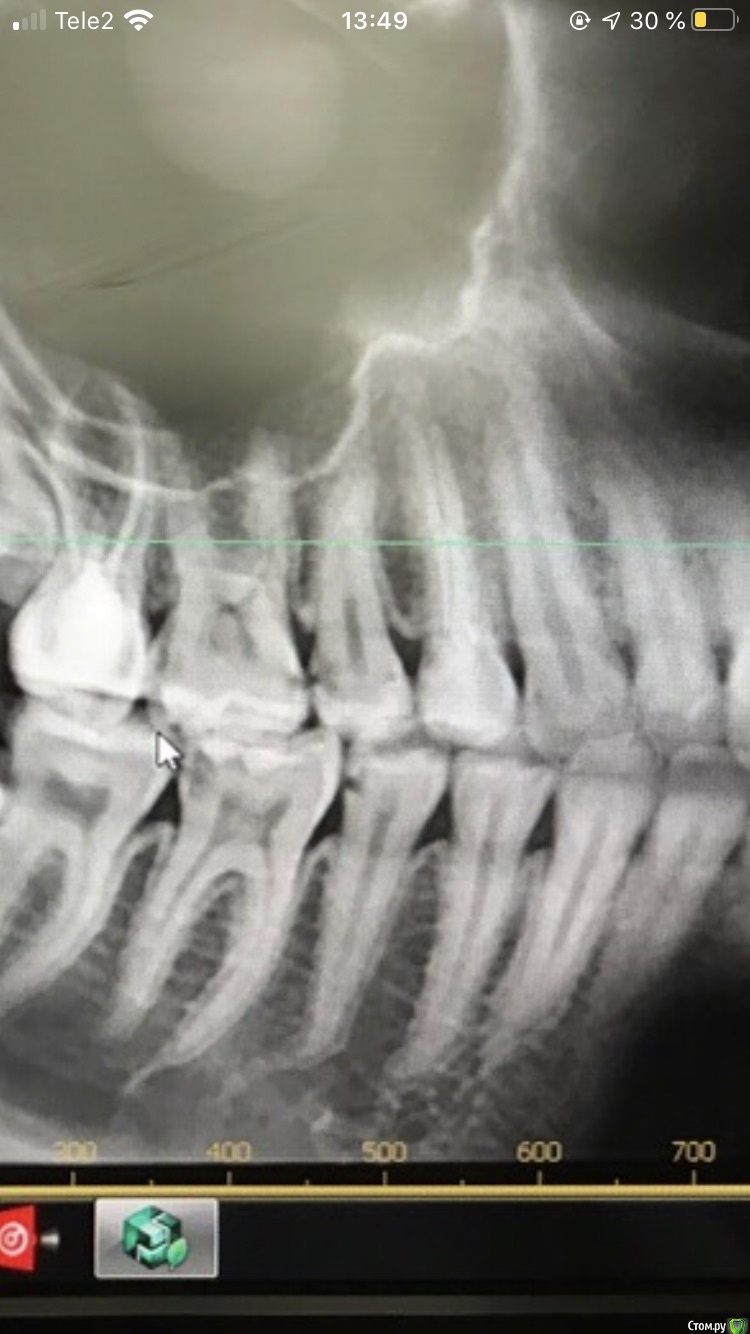
Marialalala Опубликовано 4 июня, 2020 Поделиться Опубликовано 4 июня, 2020 (изменено) Здравствуйте, лечу зубы, мой врач уходил в длительный отпуск, решила не терять время и сходила пролечила два зуба к врачу по отзывам в интернете. Принесла снимок этому врачу, он пролечил, зубы начали реагировать, я сходила сделала ещё снимок (в ближ.клинику), отправила этому врачу и описала жалобы, он сказал, что по снимку все хорошо, на мой вопрос о том, что за затемнение осталось в зубах, врач сказал, что это изолирующая прокладка, но я сразу скажу, что со слов врача и по акту оказания услуг мы лечили средний кариес, который разве предполагает изолирующую прокладку?. Врач сказал, что все хорошо, но если разболится, то приходите. Болеть вроде перестало, вышел с отпуска мой постоянный врач, мы начали лечить другие зубы, более насущные и как дошла очередь до этих зубов, он сразу по снимку сказал, что пролечено не до конца, необходимо переделать, при работе подтвердил, что мягкий дентин остался, в 6 зубе В одной точке вскрылась пульпа, но не кровила, врач решил пока не удалять нервы и поставил пломбу, с надёжной, что все будет хорошо. Я пишу тому врачу из интернета о том, что зубы он пролечил не качественно и хочу вернуть деньги, врач здоровается и пишет фио главрача и его данные. Главрач мне пишет о том, что почему вы не пришли на перелечивание, я говорю о том, что какое перелечивание, ваш врач сказал, что все пролечено хорошо! Главрач с меня просит новое ОПТГ (в той же проекции, разве у ОПТГ разные проекции?) и просит прислать чек и акт за работу во второе своей клинике, я сначала согласилась, а потом посоветовалась с подругой юристом, которая сказала, чтобы я писала досудебную претензию и без всякий новый снимков и чеков со второе клиники, ведь есть снимок после их врача по которому все и так понятно. Как мне быть? Есть ещё такой момент, что своего постоянно врача я не хочу в это втягивать, писать им координаты клиникИ и т д, ну вот не хочу, я же имею на это право? Что мне делать, как всё-таки вернуть с них деньги? Снимки до лечения и после лечения временного врача прилагаю (разница в снимках пару месяцев). 46 и 45 зубы! Изменено 4 июня, 2020 пользователем Marialalala Ссылка на комментарий
Marialalala Опубликовано 4 июня, 2020 Автор Поделиться Опубликовано 4 июня, 2020 (изменено) Спасибо заранее за ответ! Изменено 4 июня, 2020 пользователем Marialalala Ссылка на комментарий
red_butler Опубликовано 4 июня, 2020 Поделиться Опубликовано 4 июня, 2020 Спасибо заранее за ответ!Вы ошиблись форумом, мы отвечаем только на медицинские вопросы Ссылка на комментарий
Marialalala Опубликовано 4 июня, 2020 Автор Поделиться Опубликовано 4 июня, 2020 Вы ошиблись форумом, мы отвечаем только на медицинские вопросыМне будет достаточно ответа на вопрос «Качественно ли пролечили зубы?». Остальное написала, мало ли, может кто тоже поможет и в других вопросах Ссылка на комментарий
red_butler Опубликовано 4 июня, 2020 Поделиться Опубликовано 4 июня, 2020 Мне будет достаточно ответа на вопрос «Качественно ли пролечили зубы?». Остальное написала, мало ли, может кто тоже поможет и в других вопросахОтветить не получиться по ряду причин. Мы не являемся врачами экспертами, снимки являются только дополнительными методами исследования, всю информацию мы получили с Ваших слов...Для ответа нужно изучить медицинскую документацию, видеть фотографии во время первого и второго лечения. 2 Ссылка на комментарий
Рекомендуемые сообщения
Для публикации сообщений создайте учётную запись или авторизуйтесь
Вы должны быть пользователем, чтобы оставить комментарий
Создать аккаунт
Зарегистрируйте новый аккаунт в нашем сообществе. Это очень просто!
Регистрация нового пользователяВойти
Уже есть аккаунт? Войти в систему.
Войти