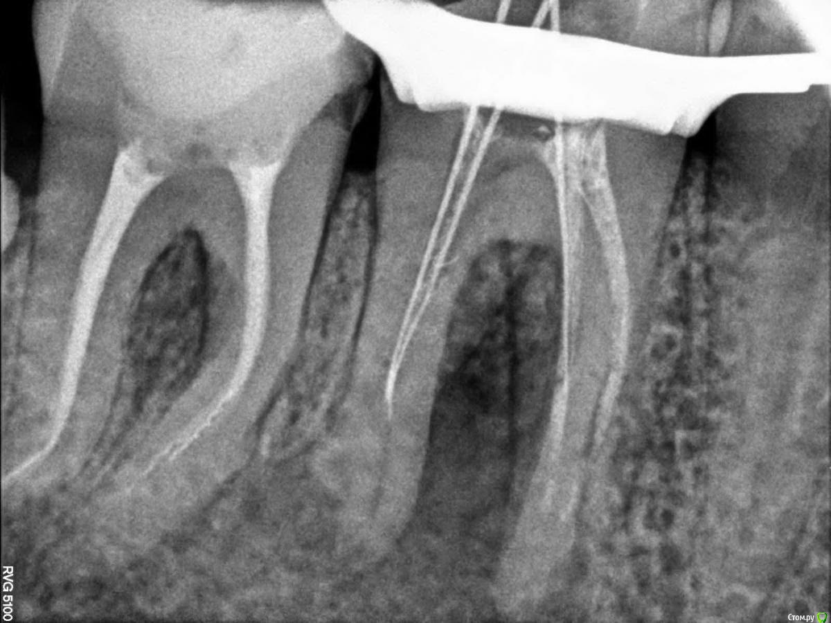
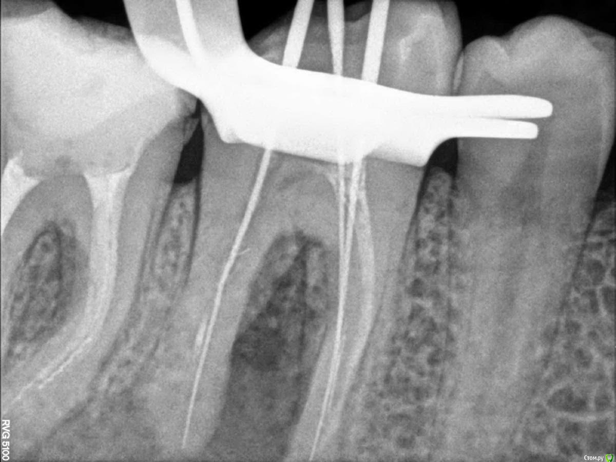
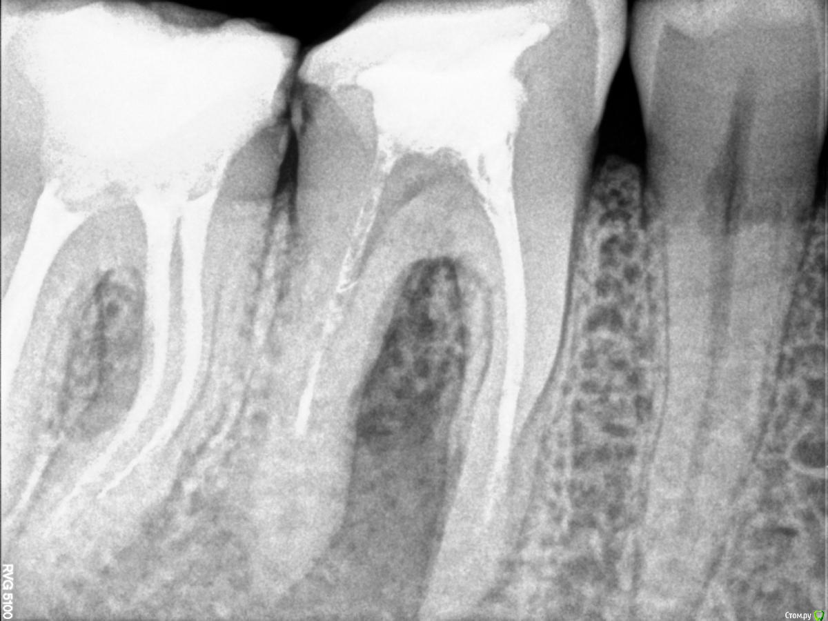
Bibika2020 Опубликовано 31 мая, 2020 Поделиться Опубликовано 31 мая, 2020 Всем добрый день. Предыстория:В 2018 году на зубе 46 откололся кусочек сзади и зуб начал сильно болеть. Зуб до этого был уже депульпирован лет 5-10 назад (уже не помню) и стоял со световой пломбой. В 2018 г. провели восстановление коронковой части зуба пломбой, в каналы не лазили.В 2019 году в районе этого зуба появился свищ, но зуб никак не беспокоил. Текущая ситуация:Весной 2020 года зуб начал реагировать на холодное и горячее и надкусывание средней степенью боли.Первое посещение врачаОбратился к врачу в марте (снимок 1 и 2). Доктор сказал, что можно попробовать перелечить каналы и сохранить зуб. Из трёх каналов один был не запломбирован, в двух других была гуттаперча. Доктор провела механическую и медикаментозную обработку двух каналов: незапломбированного и одного с гуттаперчей и заложила кальцийсодержащую пасту, поставила временную пломбу, выписала антибиотик 5 дней.Облегчение почувствовалось сразу. Через неделю свищ прошёл. Ещё через неделю опять появился. Второе посещение врачаКак раз подходило время очередного приёма, но доктор уже был другой в том же месте.Снимки 3 и 4. Доктор провела механическую и медикаментозную обработку двух каналов и заложила кальцийсодержащую пасту. Сказала, что временная пломба была сильно не герметична поэтому микробы попадали в зуб. Положила фум ленту и сделала световую пломбу 10 апреля. Свищ опять на какое-то время пропал и снова появился через пару недель. Третье посещение врачаНа следующем приёме доктор сделал снимок с гуттаперчей вставленной внутрь свища, на снимке гуттаперча дошла до низа левого канала, как раз того, который изначально не было запломбирован N лет назад (снимка, к сожалению, нет). Дальше подключился хирург и сказал, что такой зуб нужно удалять, т.к. гранулирующий периодонтит (если я правильно запомнил). Сейчас прошло почти 2 месяца есть неприятные ощущения от зуба и свищ то появляется, то пропадает. ВопросЗуб жалко удалять, на мой взгляд, он нормальный.Хотелось бы услышать мнение врачей, есть шанс сохранить зуб и что делать? Ссылка на комментарий
dok1 Опубликовано 31 мая, 2020 Поделиться Опубликовано 31 мая, 2020 Я бы удалил. Ссылка на комментарий
Kolchanov Опубликовано 31 мая, 2020 Поделиться Опубликовано 31 мая, 2020 Я бы лечил. Ссылка на комментарий
Bibika2020 Опубликовано 1 июня, 2020 Автор Поделиться Опубликовано 1 июня, 2020 Уважаемые врачи, ситуация неоднозначная получается? Можете чуть подробнее ответить?Слышал от врача мнение, что перелечивать (а в моём случае долечивать) за другим врачом может только камикадзе. Ссылка на комментарий
Kolchanov Опубликовано 1 июня, 2020 Поделиться Опубликовано 1 июня, 2020 Периодонтит. Причем еще соседний зуб может поддерживать процесс. Да и тот, которым сейчас занимаются.... Перелечивать надо всё, все каналы. Еще ощущение есть, глядя га снимок, что полость зуба так и не была раскрыта. Но это, конечно, надо "вживую" смотреть.По снимку зуб выглядит вполне достойным того, чтобы пробовать. А, если удалять, то еще и 7ку сразу, а то мало ли... Ссылка на комментарий
Bibika2020 Опубликовано 1 июня, 2020 Автор Поделиться Опубликовано 1 июня, 2020 (изменено) Вот ещё на снимке смущает (обвёл красным):1. на правых корнях 7го зуба волнистые линии это не остатки инструмента?2. непонятная загагулина на проблемном канале 6го зуба. что это может быть ? А что означает раскрытие полости зуба? Это его рассверливание, чтобы легче было к каналу доступ осуществить? Изменено 1 июня, 2020 пользователем Bibika2020 Ссылка на комментарий
dok1 Опубликовано 1 июня, 2020 Поделиться Опубликовано 1 июня, 2020 Щестёрка с булавоообразным утолщением корня. Пошла резорбция апекса. Плюс резорбция в просвете каналов. Я в шестой неверю . По этому бы рекомендовал удалить. Седьмой, если удастся извлечь инструмент, можно вылечить Ссылка на комментарий
red_butler Опубликовано 1 июня, 2020 Поделиться Опубликовано 1 июня, 2020 +1 к удалению Ссылка на комментарий
Kolchanov Опубликовано 1 июня, 2020 Поделиться Опубликовано 1 июня, 2020 Щестёрка с булавоообразным утолщением корня. Пошла резорбция апекса. Плюс резорбция в просвете каналов. Я в шестой неверю . По этому бы рекомендовал удалить. Седьмой, если удастся извлечь инструмент, можно вылечитьКлючевое слово - не верю. Все остальное ерунда. Ссылка на комментарий
Bibika2020 Опубликовано 1 июня, 2020 Автор Поделиться Опубликовано 1 июня, 2020 +1 к удалению Кто высказывается за удаление, можете пояснить, почему? У меня это первый зуб к удалению (возраст 35 лет) и как-то хочется быть точно уверенным, что не зря удалил. С имплантом тоже слышал, что может быть много нехорошестей. Если можно терапевтически с ним что-то сделать, то я лучше бы это сделал, не смотря на риск неуспеха. Процент успеха лечения тоже совсем не ясен. Сейчас у меня уверенность, что лечение в клиники делали для галочки и не завершили, т.к. им интереснее поставить имплант. Ссылка на комментарий
Kolchanov Опубликовано 1 июня, 2020 Поделиться Опубликовано 1 июня, 2020 В Москве людей профессионально занимающихся эндодонтией куча. Процент успеха достаточно высок, чтобы пробовать сохранить. Но более точный ответ можно дать только на очной консультации, иногда после выполнения диагностического лечения (удаления временных вложений, попытки распломбировка каналов и т.д.).Дерзайте. Я лечил много стоматологов. Ни один себе зубы легко удалить не даст 2 Ссылка на комментарий
dok1 Опубликовано 2 июня, 2020 Поделиться Опубликовано 2 июня, 2020 Ключевое слово - не верю. Все остальное ерунда.Ну может я и неправ Ссылка на комментарий
Рекомендуемые сообщения
Для публикации сообщений создайте учётную запись или авторизуйтесь
Вы должны быть пользователем, чтобы оставить комментарий
Создать аккаунт
Зарегистрируйте новый аккаунт в нашем сообществе. Это очень просто!
Регистрация нового пользователяВойти
Уже есть аккаунт? Войти в систему.
Войти