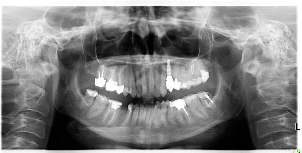
Cleo15 Опубликовано 26 мая, 2020 Поделиться Опубликовано 26 мая, 2020 Добрый день!После удаления нижней пятерки имплантолог на консультации сказал, что корень соседней четверки растет так, что у нас 2 варианта имплантации: либо ставить длинный под наклоном, либо рискнуть установить короткий (10 мм.) вертикально.При этом конструкция под наклоном не столь надежна, как вертикальная вследствие предстоящих проблем с абатментом, а при вертикальной установке существует риск повреждения корня четверки (который я должна взять на себя, следует заметить) плюс долговечность имплантата вследствие его малости также под вопросом.Подскажите, пожалуйста, какой метод предпочтительнее выбрать в такой ситуации? Ссылка на комментарий
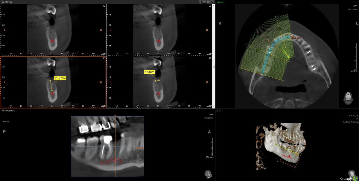
Irouil Опубликовано 26 мая, 2020 Поделиться Опубликовано 26 мая, 2020 (изменено) 10 мм - это не короткий имплантат, нужно смотреть КТ, но по этому снимку никаких явных проблем с установкой имплантата я не вижу Зуб давно удалён? Изменено 26 мая, 2020 пользователем Irouil 1 Ссылка на комментарий
Cleo15 Опубликовано 26 мая, 2020 Автор Поделиться Опубликовано 26 мая, 2020 Удален 5 месяцев назад.КТ https://my-files.su/2kio3d Ссылка на комментарий
krokomot Опубликовано 26 мая, 2020 Поделиться Опубликовано 26 мая, 2020 можно и 8мм поставить это не принципиально Ссылка на комментарий
wladdX Опубликовано 27 мая, 2020 Поделиться Опубликовано 27 мая, 2020 (изменено) Изменено 27 мая, 2020 пользователем wladdX Ссылка на комментарий
stommm Опубликовано 27 мая, 2020 Поделиться Опубликовано 27 мая, 2020 10мм имплант в правильной ортопедической позиции предпочтительнее 14 мм импланта в неправильной. И 10 это не короткий. И 8 мм нормальный размер. Короткий это 4 мм длина. Ссылка на комментарий
Bier Опубликовано 28 мая, 2020 Поделиться Опубликовано 28 мая, 2020 таки правильно тут ставить с небольшим наклоном. Длина не имеет значения. Ссылка на комментарий
Рекомендуемые сообщения
Для публикации сообщений создайте учётную запись или авторизуйтесь
Вы должны быть пользователем, чтобы оставить комментарий
Создать аккаунт
Зарегистрируйте новый аккаунт в нашем сообществе. Это очень просто!
Регистрация нового пользователяВойти
Уже есть аккаунт? Войти в систему.
Войти