Перейти к содержанию
Стоматология для всех

Киста под нижними резцами - лечить или удалять?


olstrill

Рекомендуемые сообщения

Добрый день.


 


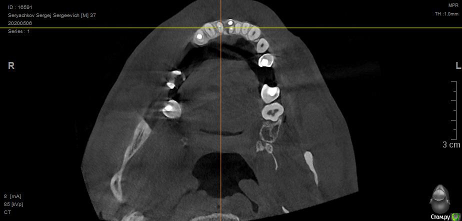
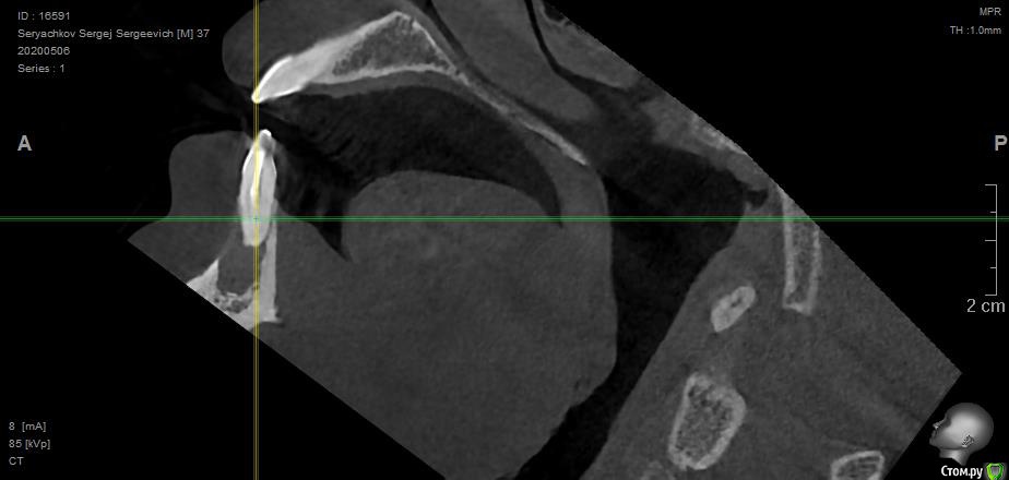
Под передними резцами обнаружилась обширная киста. В трёх клиниках предложили различное решение, но все основаны на удалении двух зубов, под которыми киста. Есть ли вариант сохранить и полечить зубы или удаление неизбежно?


post-60480-0-31338900-1590345555_thumb.jpg

post-60480-0-46541300-1590345562_thumb.jpg

post-60480-0-06200900-1590345569_thumb.jpg

Ссылка на комментарий

Для публикации сообщений создайте учётную запись или авторизуйтесь

Вы должны быть пользователем, чтобы оставить комментарий

Создать аккаунт

Зарегистрируйте новый аккаунт в нашем сообществе. Это очень просто!

Регистрация нового пользователя

Войти

Уже есть аккаунт? Войти в систему.

Войти
×
×
  • Создать...
Вверх